Exostosis
| Exostosis | |
|---|---|
| Other names | osteochondroma |
![]() | |
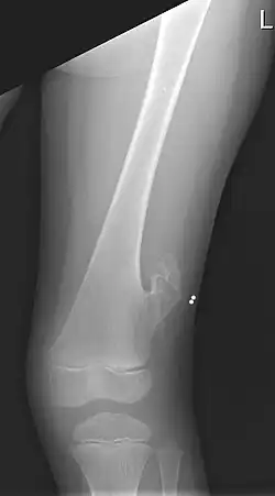
| X-ray of the left femur of a 5-year-old boy with an exostosis at the lateral side, just above the knee. | |
| Specialty | Rheumatology |
An exostosis, also known as a osteochondroma, is a benign chondrogenic lesion derived from aberrant cartilage from the perichondral ring.[1] Exostoses can cause chronic pain ranging from mild to moderate, but rarely severe, depending on the shape, size, and location of the lesion, though most are asymptomatic and are found serendipitously on plain x-ray taken for other reasons. It is most commonly found in pre-teens through early 20s adjacent to the physes of the distal femur and proximal tibia but can be found adjacent to other physes, most notably the distal phalanx of the finger, where it presents as a subungual mass. larger growths can occur on places like the ankles, knees, shoulders, elbows and hips. Very rarely are they on the skull. Though rare, malignant transformation can occur into a chondrosarcoma.
They normally form growing stalks angling away from the physis toward the mid shaft of a long bone.
When used in the phrases "cartilaginous exostosis" or "osteocartilaginous exostosis", the term is considered synonymous with osteochondroma. Some sources consider the two terms to mean the same thing even without qualifiers, but this interpretation is not universal.
Osteophytes
Osteophytes are bone spurs that develop on the margins of joints secondary to external stimuli such as osteoarthritis.[2] These are in no way related to exostoses.[3]
Fossil record
Evidence for exostosis found in the fossil record is studied by paleopathologists, specialists in ancient disease and injury. Exostosis has been reported in dinosaur fossils from several species, including Acrocanthosaurus atokensis, Albertosaurus sarcophagus, Allosaurus fragilis, Gorgosaurus libratus, and Poekilopleuron bucklandii.[4]
Hereditary multiple exostoses
Hereditary multiple exostoses (HME), also called hereditary multiple osteochondromas (HMO), is a condition that is estimated to affect 1 in 50,000 individuals. Multiple benign or noncancerous bone tumors develop in the affected individuals. The number and location vary among affected patients. Most people seem unaffected at birth; however, by the age of 12 years, they develop multiple exostoses. Affected individuals commonly complain of palpable and recognizable lumps (exostoses) at about the knees and in the forearms. The condition characteristically occurs bilaterally. It may lead to mild degrees of growth retardation and limb asymmetry. Genu valgum (commonly known as "knock-knees"), ankle valgus, and bowing and shortening of one or both of the forearm bones are common manifestations.[5]
Types
- Buccal exostosis
- Footballer's ankle (exostosis of the ankle bone)
- Hereditary multiple exostoses (HME)
- Subungual exostosis
- Surfer's ear (exostosis of the ear canal)
- Torus mandibularis
- Torus palatinus
- Calcaneal spur (heel spur)
See also
- Ganglion cyst
- List of radiographic findings associated with cutaneous conditions
- Osteoma
- Osteosclerosis
- Pachyosteosclerosis
- Pachyostosis
References
- ^ "Exostosis" at Dorland's Medical Dictionary
- ^ Dyson SJ (2010). "Radiography and Radiology". In Dyson SJ, Ross MW (eds.). Diagnosis and Management of Lameness in the Horse - E-Book. Elsevier Health Sciences. p. 171. ISBN 9781437711769.
- ^ "On Healthy and Diseased Bone, According to the Investigations of Frerichs, Marchand, Nasse, Ragsky, and Simon". The Medico-Chirurgical Review. 40 (79): 87–98. January 1844. PMC 5100073. PMID 29918999.
- ^ Molnar RE (2001). "Theropod paleopathology: a literature survey". In Tanke DH, Carpenter K (eds.). Mesozoic Vertebrate Life. Indiana University Press. pp. 337–363.
- ^ El-Sobky TA, Samir S, Atiyya AN, Mahmoud S, Aly AS, Soliman R (21 March 2018). "Current paediatric orthopaedic practice in hereditary multiple osteochondromas of the forearm: a systematic review". SICOT-J. 4: 10. doi:10.1051/sicotj/2018002. PMC 5863686. PMID 29565244.
