Sjögren–Larsson syndrome

Sjögren–Larsson syndrome
Other namesSLS
Two brothers (21 and 25 years old) with generalized dryness of skin with fine scales mainly around the umbilicus and in the flexural folds, one of Sjögren–Larsson syndrome's characteristics
SpecialtyMedical genetics Edit this on Wikidata

Sjögren–Larsson syndrome is a rare autosomal recessive form of ichthyosis with neurological symptoms.[1]: 485 [2]: 564 [3] It can be identified by a triad of medical disorders. The first is ichthyosis, which is a buildup of skin to form a scale-like covering that causes dry skin and other problems. The second identifier is paraplegia which is characterized by leg spasms. The final identifier is intellectual delay.

SLS is caused by a mutation in the fatty aldehyde dehydrogenase gene found on chromosome 17.[4] In order for a child to receive SLS both parents must be carriers of the SLS gene. If they are carriers their child has a 1/4 chance of getting the disease. In 1957 Sjögren and Larsson proposed that the Swedes with the disease all descended from a common ancestor 600 years ago. Today only 30–40 persons in Sweden have this disease.[5]

Signs and symptoms

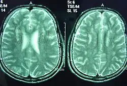
T2-weighted MRI images of a 25-year-old male with Sjögren–Larsson syndrome revealing dysmyelination in the deep periventricular white matter and reduced brain volume in the frontal lobe
  • Dry and scaly skin similar to all other ichtyosiforms (types of ichthyosis).
  • Neurological problems – this can often cause mild paralysis in the legs
  • Mild to moderate intellectual disability.
  • Often associated ocular features, which include pigmentary changes in the retina.

The usual presentation of crystalline maculopathy is from the age of 1–2 years onwards.

Causes

It is associated with a deficiency of the enzyme fatty aldehyde dehydrogenase (ALDH3A2) which is encoded on the short arm of chromosome 17 (17p11.2). At least 11 distinct mutations have been identified.[6]

Without a functioning fatty aldehyde dehydrogenase enzyme, the body is unable to break down medium- and long-chain fatty aldehydes which then build up in the membranes of the skin and brain.[4]

This condition is inherited in an autosomal recessive pattern.[7]

Diagnosis

Diagnosis is made with a blood test which sees if the activity of the fatty aldehyde dehydrogenase enzyme is normal.[4] Gene sequencing can also be used, which can additionally be used by would-be parents to see if they are carriers.[4]

Treatment

The ichthyosis is usually treated with topical ointment.[4] Anti-convulsants are used to treat seizures[4] and the spasms may be improved with surgery.[4]

Eponym

It was characterized by Torsten Sjögren and Tage Konrad Leopold Larsson (1905–1998), a Swedish medical statistician.[8][9] It should not be confused with Sjögren's syndrome, which is a distinct condition named after a different person, Henrik Sjögren.

See also

References

  1. ^ Freedberg, et al. (2003). Fitzpatrick's Dermatology in General Medicine (6th ed.). McGraw-Hill. ISBN 0-07-138076-0.
  2. ^ James, William; Berger, Timothy; Elston, Dirk (2005). Andrews' Diseases of the Skin: Clinical Dermatology (10th ed.). Saunders. ISBN 0-7216-2921-0.
  3. ^ Rapini, Ronald P.; Bolognia, Jean L.; Jorizzo, Joseph L. (2007). Dermatology: 2-Volume Set. St. Louis, MO: Mosby. ISBN 978-1-4160-2999-1.
  4. ^ a b c d e f g "Sjogren-Larsson syndrome". Genetic and Rare Diseases Information Center (GARD). Archived from the original on 2021-03-18. Retrieved 2020-10-31.
  5. ^ "Sjögren-Larssons syndrom". Archived from the original on 2018-01-23. Retrieved 2015-09-11.
  6. ^ Sillén A, Anton-Lamprecht I, Braun-Quentin C, et al. (1998). "Spectrum of mutations and sequence variants in the FALDH gene in patients with Sjögren–Larsson syndrome". Hum. Mutat. 12 (6): 377–84. doi:10.1002/(SICI)1098-1004(1998)12:6<377::AID-HUMU3>3.0.CO;2-I. PMID 9829906. S2CID 37451614.
  7. ^ Orphanet: Portal de enfermedades raras y medicamentos huérfanos
  8. ^ synd/1678 at Whonamedit?
  9. ^ SJOGREN T, LARSSON T (1957). "Oligophrenia in combination with congenital ichthyosis and spastic disorders; a clinical and genetic study". Acta Psychiatr Neurol Scand Suppl. 113: 1–112. PMID 13457946.

Further reading