Supracondylar process of the humerus
| Supracondylar process | |
|---|---|
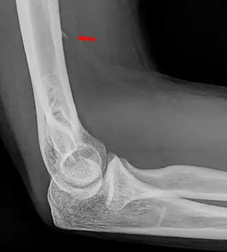
![]() Small supracondylar process seen on a lateral radiograph of the elbow | |
![]() Larger supracondylar process seen on a lateral radiograph of the elbow | |
| Identifiers | |
| TA98 | A02.4.04.017 |
| TA2 | 1200 |
| FMA | 75815 |
| Anatomical terminology | |
The supracondylar process of the humerus (also known as an avian spur) is a variant bony projection on the anteromedial aspect of the upper arm bone (humerus), about 5–6 cm above the medial epicondyle.[1] It is directed downward, forward and medially pointing to the medial epicondyle. A fibrous band, Struthers ligament, may connect this process to the medial epicondyle.[2] This variation has a prevalence of 0.68% and is significantly more common in women than in men.[3]
Clinical significance
Supracondylar processes are usually asymptomatic, but may be palpable as a mass on the upper arm. They are most commonly found as an incidental finding on radiographs made for other reasons, but occasionally isolated fractures of the process itself may lead to its discovery. Rarely, presence of the process and a connecting ligament may lead to compression of the brachial artery and the median nerve,[4] leading to pain, paresthesia,[2] and/or ischemia.
Other animals
The supracondylar process is a vestigial remnant of the supracondylar foramen or epitrochlear foramen found in other vertebrates including cats, climbing mammals and lower primates.
References
- ^ Natsis, Konstantinos (2008). "Supracondylar process of the humerus: Study on 375 Caucasian subjects in Cologne, Germany". Clinical Anatomy. 21 (2): 138–141. doi:10.1002/ca.20601. ISSN 1098-2353. PMID 18266286. S2CID 1749361.
- ^ a b Pikula, John R (December 1994). "Supracondyloid process of the humerus: a case report". The Journal of the Canadian Chiropractic Association. 38 (4): 211–215. ISSN 0008-3194. PMC 2485005.
- ^ Martin-Schütz, Guilherm Otto; Arcoverde, Mauricio; Barros, Gustavo dos Reis; Babinski, Marcio Antonio; Manaia, Jorge Henrique Martins; Silva, Celso Ricardo Corrêa de Mello; Chagas, Carlos Alberto Araujo; Pires, Lucas Alves Sarmento; Martin-Schütz, Guilherm Otto; Arcoverde, Mauricio; Barros, Gustavo dos Reis (2019). "A Meta-Analysis of the Supracondylar Process of the Humerus with Clinical and Surgical Applications to Orthopedics". International Journal of Morphology. 37 (1): 43–47. doi:10.4067/S0717-95022019000100043. ISSN 0717-9502.
- ^ Opanova, Maria I.; Atkinson, Robert E. (June 2014). "Supracondylar Process Syndrome: Case Report and Literature Review". The Journal of Hand Surgery. 39 (6): 1130–1135. doi:10.1016/j.jhsa.2014.03.035. ISSN 0363-5023. PMID 24862112.
Bibliography
- Subasi M, Kesemenli C, Necmioglu S, Kapukaya A, Demirtas M (2002). "Supracondylar process of the humerus" (PDF). Acta Orthop Belg. 68 (1): 72–5. PMID 11915463.

