Trichilemmoma
| Trichilemmoma | |
|---|---|
| Specialty | Oncology, dermatology |
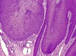
Trichilemmoma (also known as "tricholemmoma"[1]) is a benign cutaneous neoplasm that shows differentiation toward cells of the outer root sheath.[2]: 673 [3] The lesion is often seen in the face and neck region. Multifocal occurrence is associated with Cowden syndrome, in which hamartomatous intestinal polyposis is seen in conjunction with multiple tricholemmoma lesions.
Additional images

See also
- Cowden syndrome
- Trichilemmal carcinoma
- List of cutaneous conditions
- List of cutaneous neoplasms associated with systemic syndromes
References
- ^ Busam Klaus J., Dermatopathology s.386; 2010 Saunders ISBN 978-0-443-06654-2
- ^ James, William D.; Berger, Timothy G.; et al. (2006). Andrews' Diseases of the Skin: Clinical Dermatology. Saunders Elsevier. ISBN 0-7216-2921-0.
- ^ Rapini, Ronald P.; Bolognia, Jean L.; Jorizzo, Joseph L. (2007). Dermatology: 2-Volume Set. St. Louis: Mosby. pp. 1699–1700. ISBN 1-4160-2999-0.
External links