Absceso periamigdalino
| Absceso periamigdalino | ||
|---|---|---|
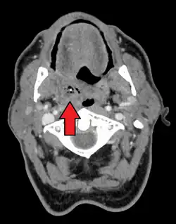
![]() Absceso periamigdalar del lado derecho | ||
| Especialidad | otorrinolaringología | |
| Síntomas | Fiebre , dolor de garganta, dificultad para abrir la boca, cambio en la voz. | |
| Complicaciones | Bloqueo de las vías respiratorias, neumonitis por aspiración. En raras ocasiones, neumonía o absceso pulmonar después de la aspiración de un absceso roto.[1] | |
| Factores de riesgo | Faringitis estreptocócica | |
| Diagnóstico diferencial |
Infecciones dentales, Epiglotitis, Mononucleosis infecciosa por VEB, Faringitis Absceso retrofaríngeo[1] | |
| Tratamiento | Eliminar pus, antibióticos, líquidos, analgésicos, esteroides.[1] | |
| Sinónimos | ||
| ||
El absceso periamigdalino es una acumulación de material infectado alrededor de las amígdalas palatinas.[2][1] El absceso periamigdalino generalmente se debe a una infección por varios tipos de bacterias. A menudo sigue a una faringitis estreptocócica. Por lo general, no ocurren en personas que se han sometido a una amigdalectomía. El diagnóstico generalmente se basa en los síntomas. Se pueden realizar imágenes médicas para descartar complicaciones.
El tratamiento consiste en eliminar el pus, antibióticos , suficientes líquidos y analgésicos. Los esteroides también pueden ser útiles. Generalmente no es necesario el ingreso en el hospital. Los adultos jóvenes son los más comúnmente afectados.[3]
Epidemiología
El absceso de las amígdalas es una enfermedad que ocurre sobre todo en niños mayores, adolescentes y adultos jóvenes. Actualmente es muy poco común, desde la introducción del uso de antibióticos para tratar la amigdalitis.[4]
Causas
Es el resultado de una complicación de la amigdalitis y está causada por un tipo de bacterias llamadas estreptococos beta-hemolíticos del grupo A.[5]
Cuadro clínico
Los síntomas y signos clínicos más frecuentes son odinofagia (dolor al tragar), disfagia (dificultad para comer), fiebre, ganglios de la mandíbula y garganta sensibles, hinchazón cervical o facial, cefalea (dolor de cabeza), o capacidad limitada y dolor al abrir la boca, entre otros.[6]
- Complicaciones[7]
La infección se puede diseminar al paladar, al cuello y al tórax, incluyendo los pulmones. Los tejidos inflamados pueden obstruir las vías respiratorias, lo cual constituye una emergencia médica potencialmente mortal.
Las complicaciones son raras, pero incluyen:
- Celulitis de la mandíbula, el cuello o el tórax
- Obstrucción de las vías respiratorias
- Neumonía
- Derrame pleural
- Endocarditis
- Pericarditis
- Sepsis
Diagnóstico

Se suele descubrir al inspeccionar la orofaringe (garganta) presentando hinchazón en un lado y en el paladar. La úvula puede estar desplazada.[8]
Para confirmar el diagnóstico se pueden realizar pruebas complementarias:
- Aspiración del absceso usando una aguja
- Tomografía computarizada
Tratamiento
Si la infección es bacteriana, se pueden suministrar antibióticos y analgésicos. También se debe drenar el absceso mediante cirugía. Además, se puede considerar la posibilidad de extirpar las amígdalas mediante cirugía (amigdalectomía).[9]
Véase también
Referencias
- ↑ a b c d Gupta, Gunjan; McDowell, Rachel H. (2024). Peritonsillar Abscess. StatPearls Publishing. Consultado el 21 de marzo de 2024.
- ↑ Absceso periamigdalino. MedlinePlus. 25/11/2014.
- ↑ Galioto, Nicholas J. (15 de abril de 2017). «Peritonsillar Abscess». American Family Physician (en inglés estadounidense) 95 (8): 501-506. Consultado el 21 de marzo de 2024.
- ↑ Duelo Marcos MM, Arroba Basanta ML, Escribano Ceruelo E. Absceso periamigdalino. Guía ABE. 17/09/2015.
- ↑ «Leibowitz MR. Absceso periamigdalino. P.L.A. Export Editores. Consultado el 7/8/2016.». Archivado desde el original el 28 de agosto de 2016. Consultado el 7 de agosto de 2016.
- ↑ Abscesos periamigdalinos. The Nemours Foundation. Consultado el 7/8/2016.
- ↑ Klug, Tejs Ehlers; Greve, Thomas; Hentze, Malene (30 de julio de 2020). «Complications of peritonsillar abscess». Annals of Clinical Microbiology and Antimicrobials 19: 32. ISSN 1476-0711. PMC 7391705. PMID 32731900. doi:10.1186/s12941-020-00375-x. Consultado el 9 de noviembre de 2021.
- ↑ «Sociedad Española de Otorrinolaringología. Absceso periamigdalino. SOS ORL Guía de Práctica Clínica en Otorrinolaringología. Universidad de Oviedo. Consultado el 7/8/2016.». Archivado desde el original el 19 de marzo de 2017. Consultado el 7 de agosto de 2016.
- ↑ Gómez C, Pruzzo E, Reyes E, Contreras MA, Contreras JM, Vergara V. Absceso y flegmón periamigdalino ¿Lo estamos haciendo bien? Rev Otorrinolaringol Cir Cabeza Cuello. 2006; 66:185-90.
