Adenoma hepático
| Adenoma hepático | ||
|---|---|---|
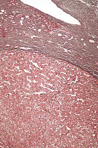
![]() Micrografía de un adenoma hepático (base de la imagen). Tinción hematoxilina-eosina | ||
| Especialidad |
gastroenterología oncología | |
| Sinónimos | ||
| Mal de Addison | ||
El adenoma hepático o hepatocelular es un tumor epitelial hepático de naturaleza benigna que aparece fundamentalmente en mujeres en edad fértil y que se asocia especialmente a la toma de anticonceptivos orales.[1] Es raro en varones, aunque también se observan en pacientes tratados con esteroides anabólicos para la mejora atlética, anemia de Fanconi o anemia aplásica. Aunque benignos, se asocian con riesgos de hemorragia y transformación maligna. Se recomienda la resección electiva en todos los hombres con adenomas y en mujeres con adenomas mayores de 5 cm.[2] Generalmente, se trata de una lesión única que fácilmente alcanza los 5 cm de tamaño. En caso de ser múltiples lesiones de pequeño tamaño, se deberá descartar una glucogenosis (E. de Von Gierke)[3]
Su diagnóstico suele ser casual, al realizar una ecografía abdominal o un TAC por motivos diversos.[4]
Los de gran tamaño presentan un riesgo de rotura espontánea causando una hemorragia grave, con fatales consecuencias, superior al 30 %, por lo que, a pesar de tratarse de una lesión benigna, su diagnóstico comporta generalmente una indicación de resección quirúrgica.[5]
Signos y síntomas
Un 25-50% de los adenomas hepáticos causan dolor en el hipocondrio derecho (cuadrante superior derecho) o en la región epigástrica del abdomen. Ya que los tumores hepáticos pueden llegar a ser voluminosos (8-15 cm), los pacientes pueden llegar a notar una masa palpable. En cambio, los adenomas hepáticos son usualmente asintomáticos, y posiblemente sean descubiertos incidentalmente durante estudios de bioimágenes ordenados por alguna razón no relacionada. En caso de no ser tratado, hay un 30% de riesgo hemorrágico. La hemorragia puede llevar a un cuadro de shock con hipotensión, taquicardia y diaforesis (sudoración).
Epidemiología
La incidencia anual de adenomas hepáticos en usuarias de anticonceptivos orales oscila entre 30 y 40 casos por millón en comparación con 1 a 1,3 casos por millón entre las no usuarias, aumentando el riesgo con más de 5 años de uso.[2][6] El riesgo relativo de adenomas hepáticos para las mujeres que usaron píldoras anticonceptivas orales durante más de 109 meses se calculó como 25 veces mayor que el de las mujeres que las usaron durante menos de 12 meses.[2] La interrupción de las píldoras puede conducir a la regresión espontánea de estos tumores, lo que fortalece el caso de la asociación con las hormonas sexuales. La proporción de mujeres a hombres que desarrollan estos tumores es de 4:1. Otras enfermedades que presentan esta afección incluyen aquellas con enfermedad por almacenamiento de glucógeno tipos I y III, sobrecarga de hierro asociada con beta-talasemia y hemocromatosis.[2]
Diagnóstico
Es importante distinguir el adenoma hepático de otros tumores hepáticos benignos, tales como hemangiomas e hiperplasia nodular focal, pues los adenomas hepáticos tienen un pequeño pero significativo riesgo de progresar hasta convertirse en un cáncer de hígado. La resonancia magnética nuclear es la más útil de las investigaciones diagnósticas. Una tomografía computada polifásica es otro estudio útil para diagnosticar adenoma hepático.
La resonancia magnética dinámica con un agente de contraste específico para hepatocitos, como el gadobenato de dimeglumina, es la mejor modalidad para diagnosticar adenomas hepáticos.[2]
Diagnóstico diferencial radiológico
b) Cambio graso focal
c) Hiperplasia nodular focal
e) Enfermedad hepática infiltrativa
f) Pseudotumor inflamatorio
h) Linfoma
i) Hiperplasia regenerativa nodular
Diagnóstico patológico

Los adenomas hepáticos son, típicamente, nódulos bien circumscriptos que constan de hojas hepatocitarias con un citoplasma vacuolado de aspecto burbujeante. Los hepatocitos se disponen en un armazón de reticulina regular y más o menos igual a tres células de espesor.
El diagnóstico histológico de los adenomas hepáticos puede ser facilitado por la impregnación argéntica (tinción con sales de plata). En los adenomas hepáticos, el armazón de reticulina y los hepatocitos no forman capas de cuatro o más hepatocitos, como se ve en el carcinoma hepatocelular.
Las células parecen hepatocitos normales y son recorridos por vasos sanguíneos pero carecen de espacios porta y venas centrales.
Causas
Noventa y nueve por ciento de los adenomas hepáticos se dan en mujeres de 20-40 años, la mayoría de las cuales usan anticonceptivos orales.
Dolencias relacionadas
Los adenomas hepáticos están relacionados con la enfermedad de almacenamiento glucogénico tipo 1, así como con el uso de esteroides anabólicos.
Tratamiento
Algunos autores consideran que todo los adenomas hepatocelulares deberían ser resecados debido el riesgo de rotura y porque los mismos pueden llegar a contener focos malignos. Las recomendaciones actuales son que todos los adenomas hepáticos deberían ser resecados, siempre y cuando los mismos sean quirúrgicamente accesibles y el paciente sea un candidato operatorio razonable. Las pacientes con adenomas deberían evitar los anticonceptivos orales o las terapias de reemplazo hormonal.
El embarazo podría causar que el adenoma crezca más rápido, así que las pacientes con adenomas hepáticos deberían evitar el embarazo.
Galería
-

Micrografía de adenoma hepático. Tinción hematoxilina-eosina. -

Micrografía de adenoma hepático. Impregnación argéntica.
Referencias
- ↑ Rooks J, Ory H, Ishak K, Strauss L, Greenspan J, Hill A, Tyler C (1979). «Epidemiology of hepatocellular adenoma. The role of oral contraceptive use.». JAMA 242 (7): 644-8. PMID 221698. doi:10.1001/jama.242.7.644.
- ↑ a b c d e Shreenath, Aparna P.; Kahloon, Arslan (2022). Hepatic Adenoma. StatPearls Publishing. Consultado el 15 de noviembre de 2022.
- ↑ «Hepatocellular Adenoma: eMedicine Gastroenterology».
- ↑ Hussain S, van den Bos I, Dwarkasing R, Kuiper J, den Hollander J (2006). «Hepatocellular adenoma: findings at state-of-the-art magnetic resonance imaging, ultrasound, computed tomography and pathologic analysis.». Eur Radiol 16 (9): 1873-86. PMID 16708218. doi:10.1007/s00330-006-0292-4.
- ↑ Toso C, Majno P, Andres A, Rubbia-Brandt L, Berney T, Buhler L, Morel P, Mentha G (2005). «Management of hepatocellular adenoma: solitary-uncomplicated, multiple and ruptured tumors.». World J Gastroenterol 11 (36): 5691-5. PMID 16237767.
- Texto Archivado el 11 de marzo de 2007 en Wayback Machine..
- ↑ Grazioli, Luigi; Ambrosini, Roberta; Frittoli, Barbara; Grazioli, Marco; Morone, Mario (2017-10). «Primary benign liver lesions». European Journal of Radiology 95: 378-398. ISSN 1872-7727. PMID 28987695. doi:10.1016/j.ejrad.2017.08.028. Consultado el 15 de noviembre de 2022.
Enlaces externos
