Apoplejía hipofisaria
| Apoplejía hipofisaria | ||
|---|---|---|
| Especialidad | Endocrinilogía | |
| Sinónimos | ||
| Apoplejía de tumor hipofisario | ||
La apoplejía hipofisaria es una hemorragia o una alteración del riego sanguíneo de la hipófisis. Suele producirse en presencia de un tumor de la hipófisis, aunque en el 80% de los casos no se ha diagnosticado previamente. El síntoma inicial más común es un dolor de cabeza repentino, a menudo asociado a un defecto del campo visual que empeora rápidamente o a visión doble causada por la compresión de los nervios que rodean la glándula. Esto suele ir seguido de síntomas agudos causados por la falta de secreción de hormonas esenciales, predominantemente insuficiencia suprarrenal aguda.[1]
El diagnóstico se realiza mediante resonancia magnética y análisis de sangre. El tratamiento consiste en la corrección oportuna de las deficiencias hormonales. En muchos casos es necesaria una descompresión quirúrgica. Muchas personas que han sufrido una apoplejía hipofisaria desarrollan deficiencias hormonales hipofisarias y requieren suplementos hormonales a largo plazo. El primer caso de la enfermedad se registró en 1898.[1]
Signos y síntomas
Síntomas agudos
Los síntomas iniciales de la apoplejía hipofisaria están relacionados con el aumento de la presión dentro y alrededor de la hipófisis. El síntoma más común, en más del 95% de los casos, es un dolor de cabeza de inicio repentino localizado detrás de los ojos o alrededor de las sienes. A menudo se asocia a náuseas y vómitos.[1][2][3] En ocasiones, la presencia de sangre provoca una irritación del revestimiento del cerebro, que puede causar rigidez en el cuello e intolerancia a la luz brillante, así como una disminución del nivel de conciencia.[1][2][3] Esto ocurre en el 24% de los casos.[4]

La presión en la parte del nervio óptico conocida como quiasma, que se encuentra por encima de la glándula, provoca la pérdida de visión en la parte externa del campo visual de ambos lados, ya que corresponde a zonas de las retinas abastecidas por estas partes del nervio óptico; se da en el 75% de los casos.[1] La agudeza visual se reduce a la mitad y más del 60% tiene un defecto del campo visual.[2][4] La pérdida visual depende de la parte del nervio que esté afectada. Si se comprime la parte del nervio situada entre el ojo y el quiasma, el resultado es la pérdida de visión en un ojo. Si está afectada la parte posterior al quiasma, se produce pérdida visual en un lado del campo visual.[2]
Junto a la hipófisis se encuentra una parte de la base del cráneo conocida como seno cavernoso. Contiene una serie de nervios que controlan los músculos oculares. El 70% de las personas con apoplejía hipofisaria experimentan visión doble debido a la compresión de uno de los nervios. En la mitad de los casos, se ve afectado el nervio oculomotor (el tercer nervio craneal), que controla varios músculos oculares. Esto provoca visión doble en diagonal y dilatación de la pupila. Los nervios craneales cuarto (troclear) y sexto (abducens) se encuentran en el mismo compartimento y pueden causar visión doble diagonal u horizontal, respectivamente.[1] El nervio oculomotor se ve afectado predominantemente, ya que se encuentra más cerca de la hipófisis.[2][5] El seno cavernoso también contiene la arteria carótida, que suministra sangre al cerebro; en ocasiones, la compresión de la arteria puede provocar debilidad unilateral y otros síntomas de ictus.[1][2][4]
Disfunción endocrina

La hipófisis consta de dos partes, la anterior (anterior) y la posterior (posterior). Ambas partes liberan hormonas que controlan otros numerosos órganos. En la apoplejía hipofisaria, el principal problema inicial es la falta de secreción de la hormona adrenocorticotrópica (ACTH, corticotropina), que estimula la secreción de cortisol por la glándula suprarrenal. Esto ocurre en el 70% de las personas con apoplejía hipofisaria. Una falta repentina de cortisol en el organismo provoca una constelación de síntomas denominada «crisis suprarrenal» o «crisis addisoniana» (por una complicación de la enfermedad de Addison, principal causa de disfunción suprarrenal y niveles bajos de cortisol).[1] Los principales problemas son la tensión arterial baja (sobre todo al ponerse de pie), la bajada de azúcar (que puede provocar un coma) y el dolor abdominal; la tensión arterial baja puede poner en peligro la vida y requiere atención médica inmediata.[6]
La hiponatremia, un nivel inusualmente bajo de sodio en la sangre que puede causar confusión y convulsiones, se da en el 40% de los casos. Esto puede deberse a niveles bajos de cortisol o a una liberación inadecuada de la hormona antidiurética (ADH) desde la hipófisis posterior.[1] En la fase subaguda pueden desarrollarse otras deficiencias hormonales. El 50% presenta una deficiencia de la hormona estimulante de la tiroides (TSH), que provoca una hiposecreción de hormona tiroidea por la glándula tiroides y síntomas característicos como fatiga, aumento de peso e intolerancia al frío. El 75% desarrolla una deficiencia de gonadotropinas (LH y FSH), que controlan las glándulas hormonales reproductoras. Esto conduce a una alteración del ciclo menstrual, infertilidad y disminución de la libido.[1]
Causas
Casi todos los casos de apoplejía hipofisaria tienen su origen en un adenoma hipofisario, un tumor benigno de la glándula pituitaria. En el 80% de los casos, el paciente no lo sabía (aunque algunos informan retrospectivamente de síntomas asociados).[1] Anteriormente se pensaba que determinados tipos de tumores hipofisarios eran más propensos a la apoplejía que otros, pero esto no se ha confirmado.[2] En términos absolutos, sólo una proporción muy pequeña de tumores hipofisarios acaba sufriendo una apoplejía. En un análisis de tumores hipofisarios hallados incidentalmente, la apoplejía se producía en un 0,2% anual, pero el riesgo era mayor en tumores mayores de 10 mm («macroadenomas») y tumores que crecían más rápidamente; en un metaanálisis, no todas estas asociaciones alcanzaron significación estadística.[7]
La mayoría de los casos (60-80%) no se precipitan por una causa concreta.[2] Una cuarta parte tiene antecedentes de hipertensión arterial,[1] pero se trata de un problema común en la población general y no está claro si aumenta significativamente el riesgo de apoplejía.[8] Se han notificado varios casos asociados a afecciones y situaciones concretas; no se sabe con certeza si fueron causantes.[8] Entre las asociaciones notificadas se encuentran la cirugía (especialmente el injerto de derivación de la arteria coronaria, en el que se producen fluctuaciones significativas de la tensión arterial), las alteraciones de la coagulación sanguínea o la medicación que inhibe la coagulación, la radioterapia en la hipófisis, las lesiones cerebrales traumáticas, el embarazo (durante el cual la hipófisis aumenta de tamaño) y el tratamiento con estrógenos. Se ha informado de que las pruebas de estimulación hormonal de la hipófisis provocan episodios. Se ha descrito que el tratamiento de los prolactinomas (adenomas hipofisarios que segregan prolactina) con fármacos agonistas de la dopamina, así como la suspensión de dicho tratamiento, precipitan la apoplejía.[1][2][4]
La hemorragia de un quiste hendido de Rathke, un remanente de la bolsa de Rathke que normalmente retrocede después del desarrollo embriológico, puede causar síntomas que son indistinguibles de la apoplejía hipofisaria.[4] Algunos consideran que la apoplejía hipofisaria es distinta del síndrome de Sheehan, en el que la hipófisis sufre un infarto como resultado de una presión arterial muy baja prolongada, en particular cuando es causada por una hemorragia después del parto. Otros consideran que el síndrome de Sheehan es una forma de apoplejía hipofisaria.[3][9]
Mecanismo
La hipófisis está situada en una cavidad de la base del cráneo denominada silla turca («sella turcica», por su forma). Está unida al hipotálamo, una parte del cerebro, por un tallo que también contiene los vasos sanguíneos que irrigan la glándula. No está claro por qué los tumores hipofisarios tienen cinco veces más probabilidades de sangrar que otros tumores cerebrales. Se han propuesto varios mecanismos por los que un tumor puede aumentar el riesgo de infarto (riego sanguíneo insuficiente que conduce a la disfunción del tejido) o de hemorragia.[2] La glándula pituitaria recibe normalmente su riego sanguíneo de los vasos que pasan por el hipotálamo, pero los tumores desarrollan un riego sanguíneo de la cercana arteria hipofisaria inferior que genera una mayor presión sanguínea, lo que posiblemente explique el riesgo de hemorragia. Los tumores también pueden ser más sensibles a las fluctuaciones de la presión arterial, y los vasos sanguíneos pueden presentar anomalías estructurales que los hagan vulnerables a los daños. Se ha sugerido que el infarto por sí solo provoca síntomas más leves que la hemorragia o el infarto hemorrágico (infarto seguido de hemorragia en el tejido dañado).[4] Los tumores más grandes son más propensos a la hemorragia, y las lesiones de crecimiento más rápido (como demuestra la detección de niveles elevados de la proteína PCNA) también pueden tener un mayor riesgo de apoplejía.[2]
Tras una apoplejía, aumenta la presión dentro de la silla turca y se comprimen las estructuras circundantes, como el nervio óptico y el contenido del seno cavernoso. El aumento de la presión dificulta aún más el riego sanguíneo al tejido productor de hormonas hipofisarias, lo que provoca la muerte del tejido debido a un riego sanguíneo insuficiente.[2]
Diagnóstico

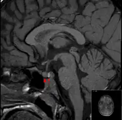
Se recomienda realizar una resonancia magnética (RM) de la hipófisis si se sospecha el diagnóstico; tiene una sensibilidad de más del 90% para detectar la apoplejía hipofisaria; puede demostrar infarto (daño tisular debido a una disminución del riego sanguíneo) o hemorragia.[1] Se pueden utilizar diferentes secuencias de RM para establecer cuándo se produjo la apoplejía y la forma predominante del daño (hemorragia o infarto).[2] Si la RM no es adecuada (por ejemplo, debido a claustrofobia o a la presencia de implantes metálicos), una tomografía computarizada (TC) puede demostrar anomalías en la hipófisis, aunque es menos fiable.[1] Muchos tumores hipofisarios (25%) presentan zonas de infarto hemorrágico en las RM, pero no se considera que exista apoplejía a menos que vaya acompañada de síntomas.[1][4]
En algunos casos, puede ser necesaria una punción lumbar si se sospecha que los síntomas pueden deberse a otros problemas (meningitis o hemorragia subaracnoidea). Se trata del examen del líquido cefalorraquídeo que envuelve el cerebro y la médula espinal; la muestra se obtiene con una aguja que se introduce en la columna vertebral bajo anestesia local. En la apoplejía hipofisaria, los resultados suelen ser normales, aunque pueden detectarse anomalías si la sangre de la hipófisis ha penetrado en el espacio subaracnoideo.[2][4] Si quedan dudas sobre la posibilidad de una hemorragia subaracnoidea (HSA), puede ser necesario realizar una angiografía por resonancia magnética (IRM con un agente de contraste) para identificar aneurismas de los vasos sanguíneos cerebrales, la causa más frecuente de HSA.[10]
Las directrices profesionales recomiendan que, si se sospecha o se confirma una apoplejía hipofisaria, los análisis de sangre mínimos que se realicen incluyan un hemograma completo, urea (una medida de la función renal, que suele realizarse junto con la creatinina), electrolitos (sodio y potasio), pruebas de la función hepática, pruebas rutinarias de coagulación y un panel hormonal que incluya IGF-1, hormona del crecimiento, prolactina, hormona luteinizante, hormona foliculoestimulante, hormona estimulante de la tiroides, hormona tiroidea y testosterona en los hombres o estradiol en las mujeres.[1]
Las pruebas de campo visual se recomiendan lo antes posible tras el diagnóstico,[1][4] ya que cuantifican la gravedad de cualquier afectación del nervio óptico y pueden ser necesarias para decidir el tratamiento quirúrgico.[1]
Tratamiento
La primera prioridad en caso de sospecha o confirmación de apoplejía hipofisaria es la estabilización del sistema circulatorio. La deficiencia de cortisol puede causar hipotensión arterial grave.[1][6] Dependiendo de la gravedad de la enfermedad, puede ser necesario el ingreso en una unidad de alta dependencia (UDA).[1]
El tratamiento de la insuficiencia suprarrenal aguda requiere la administración de solución salina o dextrosa por vía intravenosa; en un adulto pueden ser necesarios volúmenes de más de dos litros,[6] a lo que sigue la administración de hidrocortisona, que es cortisol de calidad farmacéutica, por vía intravenosa o intramuscular.[4][6] El fármaco dexametasona tiene propiedades similares,[6] pero no se recomienda su uso a menos que sea necesario para reducir la inflamación del cerebro alrededor de la zona de la hemorragia.[1] Algunas personas se encuentran lo suficientemente bien como para no necesitar un reemplazo inmediato de cortisol; en este caso, los niveles de cortisol en sangre se determinan a las 9:00 AM (ya que los niveles de cortisol varían a lo largo del día). Un nivel inferior a 550 nmol/L indica la necesidad de reposición.[1]
La decisión de descomprimir quirúrgicamente la hipófisis es compleja y depende principalmente de la gravedad de la pérdida visual y de los defectos del campo visual. Si la agudeza visual está gravemente reducida, existen defectos del campo visual grandes o que empeoran, o el nivel de consciencia desciende de forma constante, las directrices profesionales recomiendan que se realice una intervención quirúrgica.[1] Lo más habitual es que las operaciones de la hipófisis se realicen mediante cirugía transesfenoidal. En este procedimiento, se introducen instrumentos quirúrgicos a través de la nariz hacia el hueso esfenoides, que se abre para dar acceso a la cavidad que contiene la hipófisis.[1][4] Es más probable que la cirugía mejore la visión si quedaba algo de visión antes de la intervención[4] y si ésta se realiza en la semana siguiente a la aparición de los síntomas.[4][11]
Aquellos con una pérdida del campo visual relativamente leve o sólo visión doble pueden tratarse de forma conservadora, con una estrecha observación del nivel de consciencia, los campos visuales y los resultados de los análisis de sangre rutinarios. Si hay algún deterioro, o no se produce la mejoría espontánea esperada, puede estar indicada la intervención quirúrgica.[1][4] Si la apoplejía se produjo en un tumor secretor de prolactina, éste puede responder al tratamiento con agonistas dopaminérgicos.[4][11]
Tras la recuperación, las personas que han sufrido una apoplejía hipofisaria requieren el seguimiento de un endocrinólogo para controlar las consecuencias a largo plazo. Las resonancias magnéticas se realizan entre 3 y 6 meses después del episodio inicial y, posteriormente, una vez al año.[1] Si tras la cirugía queda algo de tejido tumoral, éste puede responder a la medicación, a una nueva cirugía o a la radioterapia con un «bisturí de rayos gamma».[4]
Pronóstico
En series de casos más amplias, la mortalidad global fue del 1,6%. En el grupo de pacientes que se encontraban lo suficientemente mal como para requerir cirugía, la mortalidad fue del 1,9%, sin que se produjeran muertes en aquellos que pudieron ser tratados de forma conservadora.[8]
Tras un episodio de apoplejía hipofisaria, el 80% de las personas desarrollan hipopituitarismo y necesitan algún tipo de terapia hormonal sustitutiva.[1][2] El problema más común es la deficiencia de la hormona del crecimiento, que a menudo no se trata[1][4] pero que puede causar disminución de la masa y la fuerza muscular, obesidad y fatiga.[12] Entre el 60 y el 80% necesitan sustitución de hidrocortisona (de forma permanente o cuando no se encuentran bien), entre el 50 y el 60% necesitan sustitución de la hormona tiroidea y entre el 60 y el 80% de los hombres necesitan suplementos de testosterona. Por último, el 10-25% desarrolla diabetes insípida, la incapacidad de retener líquidos en los riñones debido a la falta de la hormona antidiurética hipofisaria. Esto puede tratarse con el fármaco desmopresina,[1] que puede aplicarse como spray nasal o tomarse por vía oral.[13]
Epidemiología
La apoplejía hipofisaria es poco frecuente.[1][2] Incluso en personas con un tumor hipofisario conocido, sólo el 0,6-10% sufre apoplejía; el riesgo es mayor en los tumores de mayor tamaño.[2] Basándose en extrapolaciones de los datos existentes, cabría esperar 18 casos de apoplejía hipofisaria por cada millón de personas al año; la cifra real es probablemente inferior.[14]
La edad media de aparición es de 50 años; se han descrito casos en personas de entre 15 y 90 años.[14] Los hombres se ven afectados con más frecuencia que las mujeres,[2] con una proporción hombre-mujer de 1,6.[4] La mayoría de los tumores subyacentes son tumores de «células nulas» o no secretoras, que no producen cantidades excesivas de hormonas; esto podría explicar por qué el tumor ha pasado a menudo desapercibido antes de un episodio de apoplejía.[4]
Historia
La primera descripción de un caso de apoplejía hipofisaria se atribuye al neurólogo estadounidense Pearce Bailey en 1898,[15][16] seguida en 1905 por otro informe del médico alemán Bleibtreu.[4][17] La cirugía de la apoplejía hipofisaria se describió en 1925.[16][18] Antes de la introducción de los esteroides sustitutivos, la mortalidad por apoplejía hipofisaria se aproximaba al 50%.[4]
El nombre de la afección fue acuñado en 1950 en una serie de casos por médicos del Boston City Hospital y de la Harvard Medical School.[1][19] Se aplicó el término «apoplejía» por referirse tanto a la necrosis como a la hemorragia de los tumores hipofisarios.[19]
Referencias
- ↑ a b c d e f g h i j k l m n ñ o p q r s t u v w x y z aa ab ac ad ae Rajasekaran, Senthil; Vanderpump, Mark; Baldeweg, Stephanie; Drake, Will; Reddy, Narendra; Lanyon, Marian; Markey, Andrew; Plant, Gordon et al. (2011-01). «UK guidelines for the management of pituitary apoplexy». Clinical Endocrinology (en inglés) 74 (1): 9-20. ISSN 0300-0664. doi:10.1111/j.1365-2265.2010.03913.x. Consultado el 11 de octubre de 2024.
- ↑ a b c d e f g h i j k l m n ñ o p q Murad-Kejbou S, Eggenberger E (2009). «"Pituitary apoplexy: evaluation, management, and prognosis"». Current Opinion in Ophthalmology. PMID 19809320. doi:10.1097/ICU.0b013e3283319061.
- ↑ a b c Melmed S, Jameson JL (2005). «"Disorders of the anterior pituitary and hypothalamus"». Harrison's Principles of Internal Medicine (16th ed.). New York, NY: McGraw-Hill. ISBN 978-0-07-139140-5.
- ↑ a b c d e f g h i j k l m n ñ o p q r s t Nawar RN, AbdelMannan D, Selman WR, Arafah BM (2008). «"Pituitary tumor apoplexy: a review"». Intens. Care Med. PMID 18372348. doi:10.1177/0885066607312992.
- ↑ Bruce BB, Biousse V, Newman NJ (2007). «"Third nerve palsies"». Semin Neurol. PMID 17577867. doi:10.1055/s-2007-979681.
- ↑ a b c d e de Herder WW, van der Lely AJ (2003). «"Addisonian crisis and relative adrenal failure".». Rev Endocr Metab Disord. PMID 12766542. doi:10.1023/A:1022938019091.
- ↑ Fernández-Balsells, M. Mercè; Murad, Mohammad Hassan; Barwise, Amelia; Gallegos-Orozco, Juan F.; Paul, Anu; Lane, Melanie A.; Lampropulos, Julianna F.; Natividad, Inés et al. (2011-04). «Natural History of Nonfunctioning Pituitary Adenomas and Incidentalomas: A Systematic Review and Metaanalysis». The Journal of Clinical Endocrinology & Metabolism 96 (4): 905-912. ISSN 0021-972X. doi:10.1210/jc.2010-1054. Consultado el 11 de octubre de 2024.
- ↑ a b c Swearingen, Brooke; Biller, Beverly M. K. (14 de marzo de 2008). Diagnosis and Management of Pituitary Disorders (en inglés). Springer Science & Business Media. ISBN 978-1-59745-264-9. Consultado el 11 de octubre de 2024.
- ↑ Thorner MO, Vance ML, Horvath E, Kovacs K (1992). «"The anterior pituitary"». Williams Textbook of Endocrinology, 8th edition. Philadelphia: W.B. Saunders. ISBN 978-0-7216-9514-3.
- ↑ Loftus, Christopher M. (2008). Neurosurgical Emergencies (en inglés). Thieme. ISBN 978-3-13-135052-7. Consultado el 11 de octubre de 2024.
- ↑ a b Adams CB (2003). «"The surgery of pituitary tumours"». Wass JA, Shalet SM (eds.). Oxford Textbook of Endocrinology and Diabetes. Oxford: Oxford University Press. ISBN 978-0-19-263045-2.
- ↑ van Aken MO, Lamberts SW (2005). «"Diagnosis and treatment of hypopituitarism: an update"». Pituitary. PMID 16508719. doi:10.1007/s11102-006-6039-z.
- ↑ Jane JA Jr, Vance ML, Laws ER (2006). «"Neurogenic diabetes insipidus"». Pituitary. PMID 17080264. doi:10.1007/s11102-006-0414-7.
- ↑ a b Swearingen, Brooke; Biller, Beverly M. K. (14 de marzo de 2008). Diagnosis and Management of Pituitary Disorders (en inglés). Springer Science & Business Media. ISBN 978-1-59745-264-9. Consultado el 13 de octubre de 2024.
- ↑ Bailey P (1898). «"Pathological report of a case of akromegaly, with special reference to the lesions in the hypophysis cerebri and in the thyroid gland; and a case of haemorrhage into the pituitary"». Phila Med J.
- ↑ a b Swearingen, Brooke; Biller, Beverly M. K. (14 de marzo de 2008). Diagnosis and Management of Pituitary Disorders (en inglés). Springer Science & Business Media. ISBN 978-1-59745-264-9. Consultado el 13 de octubre de 2024.
- ↑ Bleibtreu L (1905). «"Ein Fall von Akromegalia (Zerstorung der Hypophysis durch Blutung)".». Munch Med Wochenschr.
- ↑ Dott NM, Bailey P, Cushing H (1925). «"A consideration of the hypophyseal adenomata"». Br J Surg. doi:10.1002/bjs.1800135009.
- ↑ a b Brougham M, Heusner AP, Adams RD (1950). «"Acute degenerative changes in adenomas of the pituitary body--with special reference to pituitary apoplexy".». J Neurosurg. PMID 14774761. doi:10.3171/jns.1950.7.5.0421.