Balanitis xerótica obliterans
| Balanitis xerótica obliterans | ||
|---|---|---|
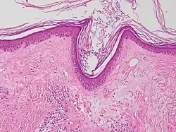
![]() Microfotografía de liquen escleroso que muestra la esclerosis subepitelial característica (derecha/abajo de la imagen). Tinción hematoxilina-eosina. | ||
| Especialidad | urología | |
| Sinónimos | ||
| Balanitis xerótica obliterante, liquen escleroso y atrófico,[1] liquen plano atrófico, liquen plano escleroso, Kartenblattförmige Sklerodermie, Weissflecken Dermatose. liquen albus, liquen plano escleroso y atrófico, dermatitis lichenoides chronica atrophicans, kraurosis vulvae[2] | ||

Balanitis xerótica obliterante (BXO) es una enfermedad crónica inflamatoria de la piel de causa desconocida, que aparece comúnmente como manchas blanquecinas en los genitales, que puede afectar a cualquier parte del cuerpo de cualquier persona pero que tiene una fuerte preferencia por los genitales (pene, vulva) y también se conoce como liquen escleroso (LS por sus siglas en inglés) cuando afecta al pene.[3] La BXO no es contagiosa. Hay un aumento bien documentado del riesgo de cáncer de piel en el LS, potencialmente mejorable con tratamiento. El LS en la edad adulta es normalmente incurable, pero mejorable con tratamiento, y a menudo empeora progresivamente.
Signos y síntomas
El LS puede ocurrir sin síntomas. Son síntomas comunes tanto en hombres como en mujeres zonas blancas en el área corporal del LS, picazón, dolor, dolor durante el sexo (en el LS genital), facilidad para hacerse moretones, grietas, desgarros y peladuras e hiperqueratosis. En las mujeres, la afección se produce con mayor frecuencia en la vulva y alrededor del ano con manchas de color blanco marfil que pueden ser planas y brillantes.
En los hombres, la enfermedad puede adoptar la forma de manchas blanquecinas en el prepucio y el estrechamiento de este (estenosis prepucial), formando un "anillo indurado", que puede dificultar o imposibilitar la retracción (fimosis). Además puede haber lesiones, manchas blancas o enrojecimiento en el glande. A diferencia de las mujeres, la afectación anal es menos frecuente. También puede producirse una estenosis de la vagina, que hace más difícil o incluso imposible orinar.
En la piel no genital, la enfermedad puede manifestarse como manchas blancas brillantes con pequeños tapones visibles dentro de los orificios de los folículos pilosos o las glándulas sudoríparas en la superficie. También puede producirse un adelgazamiento de la piel.
Efectos psicológicos
La angustia debida a la incomodidad y el dolor del liquen escleroso es normal, al igual que las preocupaciones por la autoestima y el sexo. Puede ayuda el asesoramiento.
Según la Asociación Nacional de Vulvodinia, que también apoya a las mujeres con liquen escleroso, las afecciones vulvo-vaginales pueden causar sentimientos de aislamiento, desesperanza y baja autoestima. Algunas mujeres no pueden seguir trabajando o tener relaciones sexuales y pueden verse limitadas en otras actividades físicas.[4] La depresión, la ansiedad e incluso la ira son respuestas normales al dolor continuo que sufren las pacientes con liquen escleroso.
Patofisiología
Aunque no está claro qué causa el LS, se han postulado varias teorías. El liquen escleroso no es contagioso; no puede ser contagiado por otra persona.[5]
Se han propuesto varios factores de riesgo, incluyendo enfermedades autoinmunes, infecciones y predisposición genética.[6][7] Hay pruebas de que el LS puede estar relacionado con la enfermedad de la tiroides.[8]
Genética
El liquen escleroso puede tener un componente genético. Se ha informado de tasas más altas de liquen escleroso entre los gemelos[9][10] y entre los miembros de la familia.[11]
Autoinmunidad
La autoinmunidad es un proceso en el que el cuerpo no se reconoce a sí mismo y, por lo tanto, ataca a sus propias células y tejidos. Se han encontrado anticuerpos específicos en el LS. Además, parece haber una mayor prevalencia de otras enfermedades autoinmunes como la diabetes mellitus tipo 1, el vitíligo, la alopecia areata y la enfermedad de la tiroides.[12][13]
Infección
Tanto los patógenos bacterianos como los virales han sido implicados en la etiología del LS. Una enfermedad similar al LS, la Acrodermitis crónica atrófica es causada por la espiroqueta Borrelia burgdorferi. También se sospecha de la participación viral del VPH[14] y la hepatitis C.[15]
Un vínculo con la enfermedad de Lyme se muestra por la presencia de Borrelia burgdorferi en el tejido de la biopsia de LSA.[16]
Hormonas
Dado que el LS en las mujeres se encuentra principalmente en mujeres con un estado de estrógeno bajo (mujeres prepúberes y postmenopáusicas), se postularon influencias hormonales. Hasta la fecha, sin embargo, se ha encontrado muy poca evidencia para apoyar esta teoría.
Cambios locales de la piel
Algunos hallazgos sugieren que el LS puede iniciarse a través de la cicatrización[17] o la radiación,[18][19] aunque estos hallazgos fueron esporádicos y muy poco comunes.
Diagnóstico

La enfermedad suele permanecer sin diagnosticar durante varios años, ya que a veces no se reconoce y se diagnostica erróneamente como muguet u otros problemas y no se diagnostica correctamente hasta que el paciente es remitido a un especialista cuando el problema no se resuelve.
Se puede hacer una biopsia de la piel afectada para confirmar el diagnóstico. Cuando se hace una biopsia, la hiperqueratosis, la epidermis atrófica, la esclerosis de la dermis y la actividad de los linfocitos en la dermis son hallazgos histológicos asociados con LS.[21] Las biopsias también se revisan para detectar signos de displasia.[22]
Se ha observado que el diagnóstico clínico de BXO puede ser "casi inconfundible", aunque hay otras condiciones dermatológicas como el liquen plano, la esclerodermia localizada, la leucoplasia, el vitíligo y la erupción cutánea de la enfermedad de Lyme pueden tener un aspecto similar.[23]
Tratamiento
Tratamiento principal
No hay una cura definitiva para el LS.[24] El cambio de comportamiento es parte del tratamiento. El paciente debe minimizar o preferiblemente dejar de rascarse la piel afectada por LS.[25] Cualquier rascado, estrés o daño a la piel puede empeorar la enfermedad. Se ha considerado que el rascado puede aumentar los riesgos de que evolucione hacia el cáncer.[26] Además, el paciente debe usar ropa cómoda y evitar la ropa apretada, ya que es un factor importante en la gravedad de los síntomas en algunos casos.[27]
Los corticoesteroides aplicados tópicamente a la piel afectada por el liquen escleroso son el tratamiento de primera línea para el liquen escleroso en las mujeres y los hombres, y hay pruebas sólidas que demuestran que son "seguros y eficaces" cuando se aplican apropiadamente, incluso en cursos de tratamiento prolongados, y rara vez causan efectos adversos graves.[28][29][30][31][32] El furoato de metilprednisolona se ha utilizado como corticoesteroide seguro y eficaz en casos leves y moderados.[33] En casos graves, se ha teorizado que el furoato de mometasona podría ser más seguro y eficaz que el clobetasol. Estudios recientes han demostrado que los inhibidores tópicos de la calcineurina como el tacrolimus pueden tener un efecto similar al de los corticosteroides, pero no se conocen de manera concluyente sus efectos sobre los riesgos de cáncer en el liquen escleroso lateral.[34][35] Basándose en pruebas limitadas, una revisión Cochrane de 2011 concluyó que el propionato de clobetasol, el furoato de mometasona y el pimecrolimus (inhibidor de la calcineurina) son terapias eficaces para el tratamiento del liquen escleroso genital.[36] Sin embargo, se necesitan ensayos controlados aleatorios para identificar aún más la potencia y el régimen óptimos de los corticosteroides tópicos y evaluar la duración de la remisión y/o la prevención de los brotes que los pacientes experimentan con estos tratamientos tópicos.
Se requiere el uso continuo de dosis apropiadas de corticoesteroides tópicos para asegurar que los síntomas se mantengan aliviados durante la vida del paciente. En varios estudios se ha sugerido que si se usan continuamente, los corticoesteroides minimizan el riesgo de cáncer. En un estudio con 507 mujeres a lo largo de 6 años, el cáncer se presentó en 4,7% de los pacientes que solo cumplían parcialmente con el tratamiento con corticosteroides, mientras que se presentó en 0% de los casos en los que cumplían totalmente con el tratamiento.[37] En un segundo estudio, con 129 pacientes, el cáncer se presentó en 11% de los pacientes, ninguno de los cuales cumplía totalmente con el tratamiento con corticosteroides.[38] Sin embargo, ambos estudios también dijeron que no es necesario un corticosteroide tan potente como el clobetasol en la mayoría de los casos. En un estudio prospectivo de 83 pacientes, a lo largo de 20 años, 8 pacientes desarrollaron cáncer. Seis ya tenían cáncer en el momento de su presentación y no habían recibido tratamiento, mientras que los otros dos no tomaban corticoesteroides con la frecuencia suficiente. En los tres estudios, todos los casos de cáncer observados se produjeron en pacientes que no tomaban corticoesteroides con la frecuencia recomendada por el estudio.
Se recomienda el uso continuo y abundante de emolientes aplicados tópicamente a la piel afectada por el LS para mejorar los síntomas. Pueden complementar pero no reemplazar la terapia con corticosteroides.[39] Se pueden usar con mucha más frecuencia que los corticosteroides debido a la extrema rareza de los efectos adversos graves. Se debe utilizar una lubricación apropiada cada vez antes y durante las relaciones sexuales en el LS genital para evitar el dolor y el empeoramiento de la enfermedad.[40] Algunos aceites como el aceite de oliva y el aceite de coco se pueden utilizar para lograr tanto la función emoliente como la de lubricación sexual.[41]
En los hombres, se ha informado que la circuncisión puede tener efectos positivos, pero no necesariamente previene contra futuros brotes de la enfermedad.[42] y no protege contra la posibilidad de cáncer.[43] La circuncisión no previene ni cura el LS; de hecho, Stühmer en 1928 informó por primera vez de que la "balanitis xerótica obliterante" en los hombres era una condición que afectaba a un conjunto de hombres circuncidados. La circuncisión también implica una serie de riesgos, incluyendo la reducción permanente de la sensación sexual.
Otros tratamientos
El tratamiento con láser de dióxido de carbono es seguro, eficaz y mejora los síntomas durante mucho tiempo,[44] pero no reduce los riesgos de cáncer.
En un estudio se informó que el plasma rico en plaquetas es efectivo, produciendo grandes mejoras en la calidad de vida de los pacientes.[45]
Pronóstico
La enfermedad puede durar un tiempo considerablemente largo. Ocasionalmente, puede producirse una "cura espontánea",[46] especialmente en las jóvenes.
El liquen escleroso se asocia con un mayor riesgo de cáncer.[47][48][49] La piel que ha quedado cicatrizada como consecuencia del liquen escleroso tiene más probabilidades de desarrollar cáncer de piel. Las mujeres con liquen escleroso pueden padecer de carcinoma vulvar.[50][51] El liquen escleroso se relaciona con 3-7% de todos los casos de carcinoma vulvar de células escamosas.[52] En las mujeres, se ha notificado que un riesgo 33,6 veces mayor de cáncer de vulva se relaciona con el LS.[53][54] Un estudio en hombres notificó que "La incidencia notificada de carcinoma de pene en pacientes con BXO es de 2,6-5,8%"[55]
Epidemiología
Hay una distribución bimodal por edades en la incidencia de LS en las mujeres. Ocurre en mujeres con una edad media de diagnóstico de 7,6 años en las niñas y 60 años en las mujeres. La edad promedio de diagnóstico en los niños es de 9-11 años de edad.[56]
En los hombres, la edad de incidencia más común es de 21 a 30 años.[57]
Historia
En 1875, Weir informó de lo que posiblemente era LS vulvar u oral como "ictiosis". En 1885, Breisky describió la kraurosis vulvar. En 1887, Hallopeau describe series de LS extragenitales. En 1892, Darier describe formalmente la histopatología clásica de LS. Desde 1900 hasta el presente, se empieza a formar el concepto de que la esclerodermia y el LS están estrechamente relacionadas. En 1901, se describió la LS pediátrica. Desde 1913 hasta el presente también comienza a formarse el concepto de que la esclerodermia no está estrechamente relacionada con LS. En 1920, Taussig establece la vulvectomía como tratamiento de elección para la kraurosis vulvar, una condición premaligna. En 1927, Kyrle define el LS ("enfermedad de las manchas blancas") como una entidad sui generis. En 1928, Stühmer describe la balanitis xerótica obliterante como un fenómeno posterior a la circuncisión. En 1936, los retinoides (vitamina A) son utilizados en el LS. En 1945, se comienza a utilizar la testosterona en el tratamiento del LS genital. En 1961, comenzó el uso de corticosteroides.
En 1971, la progesterona utilizada en LS, Wallace define los factores clínicos y la epidemiología del LS para todos los informes posteriores. En 1976, Friedrich define el LS como una condición distrófica, no atrófica y en el Sistema de clasificación de la Sociedad Internacional para el Estudio de la Enfermedad Vulvar ya no se utilizarán los términos "kraurosis" y "leucoplaquia". En 1980 se utilizan los esteroides fluorados y superpotentes para el tratamiento del LS. En 1981 destacan los estudios sobre los serotipos de HLA y del LS. En 1984, el etretinato y la acetina son utilizados en el LS. En 1987, el LS se relacionó con la infección de Borrelia.
El liquen escleroso y atrófico fue descrito por primera vez en 1887 por el Dr. Hallopeau.[58] Dado que no todos los casos de liquen escleroso muestran tejido atrófico, el liquen atrófico fue eliminado en 1976 por la Sociedad Internacional para el Estudio de la Enfermedad Vulvovaginal (ISSVD), proclamando oficialmente el nombre de liquen escleroso.[59]
Referencias
- ↑ James, William D.; Berger, Timothy G. (2006). Andrews' Diseases of the Skin: clinical Dermatology. Saunders Elsevier. pp. 227. ISBN 0-7216-2921-0.
- ↑ Meffert JJ, Davis BM, Grimwood RE. Lichen Sclerosus. J Am Acad Dermatol 1995;32(3): 393-416.
- ↑ Freeman C, Laymon CW (1941). «Balanitis xerotica obliterans» (Reprint:The CIRP Circumcision Reference Library). Arch Dermat Syph (en inglés) 44 (4): 547-59. Archivado desde el original el 25 de septiembre de 2006. Consultado el 1 de octubre de 2006.
- ↑ National Vulvodynia Association. «Vulvodynia Fact Sheet». Vulvodynia Media Corner. National Vulvodynia Association. Consultado el 16 de junio de 2012.
- ↑ National Institute of Health. «Fast Facts About Lichen Sclerosus». Lichen Sclerosus. National Institute of Arthritis and Musculoskeletal and Skin Diseases. Archivado desde el original el 15 de junio de 2012. Consultado el 16 de junio de 2012.
- ↑ Yesudian, PD; Sugunendran, H; Bates, CM; O'Mahony, C (2005). «Lichen sclerosus». Int J STD AIDS 16 (7): 465-473. PMID 16004624. doi:10.1258/0956462054308440.
- ↑ Regauer, S (2005). «Immune dysregulation in lichen sclerosus». Eur J Cell Biol 84 (2–3): 273-277. PMID 15819407. doi:10.1016/j.ejcb.2004.12.003.
- ↑ Birenbaum, DL; Young, RC (2007). «High prevalence of thyroid disease in patients with lichen sclerosus». J Reprod Med 52 (1): 28-30. PMID 17286064.
- ↑ Meyrick Thomas, RH; Kennedy, CT (Mar 1986). «The development of lichen sclerosus et atrophicus in monozygotic twin girls.». The British Journal of Dermatology 114 (3): 377-379. PMID 3954957. doi:10.1111/j.1365-2133.1986.tb02831.x.
- ↑ Cox, NH; Mitchell, JN; Morley, WN (Dec 1986). «Lichen sclerosus et atrophicus in non-identical female twins.». The British Journal of Dermatology 115 (6): 743-746. PMID 3801314. doi:10.1111/j.1365-2133.1986.tb06659.x.
- ↑ Sherman, V; McPherson, T; Baldo, M; Salim, A; Gao, XH; Wojnarowska, F (Sep 2010). «The high rate of familial lichen sclerosus suggests a genetic contribution: an observational cohort study.». Journal of the European Academy of Dermatology and Venereology : JEADV 24 (9): 1031-1034. PMID 20202060. doi:10.1111/j.1468-3083.2010.03572.x.
- ↑ Meyrick Thomas, RH; Ridley, CM; McGibbon, DH; Black, MM (1988). «Lichen sclerosus et atrophicus and autoimmunity—a study of 350 women». Br J Dermatol 118 (1): 41-46. PMID 3342175. doi:10.1111/j.1365-2133.1988.tb01748.x.
- ↑ Fruchter, R.; Melnick, L.; Pomeranz, M.K. (27 de marzo de 2017). «Lichenoid vulvar disease: A review». International Journal of Women's Dermatology 3 (1): 58-64. ISSN 2352-6475. PMC 5419035. PMID 28492056. doi:10.1016/j.ijwd.2017.02.017.
- ↑ Drut, RM; Gomez, MA; Drut, R; Lojo, MM (1998). «Human papillomavirus is present in some cases of childhood penile lichen sclerosus: an in situ hybridization and SP-PCR study». Pediatr Dermatol 15 (2): 85-90. PMID 9572688. doi:10.1046/j.1525-1470.1998.1998015085.x.
- ↑ Yashar, S; Han, KF; Haley, JC (2004). «Lichen sclerosus-lichen planus overlap in a patient with hepatitis C virus infection». Br J Dermatol 150 (1): 168-169. PMID 14746647. doi:10.1111/j.1365-2133.2004.05707.x.
- ↑ Eisendle, K; Grabner, TG; Kutzner, H (2008). «Possible Role of Borrelia burgdorferi Sensu Lato Infection in Lichen Sclerosus». Br J Dermatol 144 (5): 591-598. PMID 18490585. doi:10.1001/archderm.144.5.591.
- ↑ Pass, CJ (1984). «An unusual variant of lichen sclerosus et atrophicus: delayed appearance in a surgical scar». Cutis 33 (4): 405. PMID 6723373.
- ↑ Milligan, A; Graham-Brown, RA; Burns, DA (1988). «Lichen sclerosus et atrophicus following sunburn». Clin Exp Dermatol 13 (1): 36-37. PMID 3208439.
- ↑ Yates, VM; King, CM; Dave, VK (1985). «Lichen sclerosus et atrophicus following radiation therapy». Arch Dermatol 121 (8): 1044-1047. PMID 4026344. doi:10.1001/archderm.121.8.1044.
- ↑ Jędrowiak, Anna; Kobusiewicz, Aleksandra; Trznadel-Grodzka, Ewa; Kaszuba, Andrzej (2018). «Dermoscopic findings in extragenital lichen sclerosus». Our Dermatology Online 9 (2): 197-199. ISSN 2081-9390. doi:10.7241/ourd.20182.24.- "Figures - available via license: CC BY 4.0"
- ↑ Lichen Sclerosus et Atrophicus en eMedicine
- ↑ Shelley, W. B.; Shelley, E. D.; Amurao, C. V. (2006). «Treatment of lichen sclerosus with antibiotics». International Journal of Dermatology 45 (9): 1104-1106. PMID 16961523. doi:10.1111/j.1365-4632.2006.02978.x.
- ↑ Depasquale, I.; Park, A.J.; Bracka, A. (2000). «The treatment of balanitis xerotica obliterans». BJU International 86 (4): 459-465. ISSN 1464-4096. PMID 10971272. doi:10.1046/j.1464-410X.2000.00772.x.
- ↑ Chi, CC; Kirtschig, G; Baldo, M; Lewis, F; Wang, SH; Wojnarowska, F (Aug 2012). «Systematic review and meta-analysis of randomized controlled trials on topical interventions for genital lichen sclerosus.». Journal of the American Academy of Dermatology 67 (2): 305-12. PMID 22483994. doi:10.1016/j.jaad.2012.02.044.
- ↑ «ACOG Practice Bulletin No. 93: diagnosis and management of vulvar skin disorders.». Obstet Gynecol 111 (5): 1243-53. May 2008. PMID 18448767. doi:10.1097/AOG.0b013e31817578ba.
- ↑ "Does lichen sclerosus play a central role in the pathogenesis of human papillomavirus negative vulvar squamous cell carcinoma? The itch-scratch-lichen sclerosus hypothesis." Scurry J, Int J Gynecol Cancer. 1999 Mar;9(2):89-97.
- ↑ Todd, P.; Halpern, S.; Kirby, J.; Pembroke, A. (1994). «Lichen sclerosus and the Kobner phenomenon». Clinical and Experimental Dermatology 19 (3): 262-263. ISSN 0307-6938. PMID 8033394. doi:10.1111/j.1365-2230.1994.tb01183.x.
- ↑ Dalziel, K.L.; Millard, P.R.; Wojnarowska, F. (1991). «The treatment of vulval lichen sclerosus with a very potent topical steroid (clobetasol Propionate 0.05%) cream». British Journal of Dermatology 124 (5): 461-464. ISSN 0007-0963. PMID 2039723. doi:10.1111/j.1365-2133.1991.tb00626.x.
- ↑ Garzon, Maria C.; Paller, Amy S. (1999). «Ultrapotent Topical Corticosteroid Treatment of Childhood Genital Lichen Sclerosus». Archives of Dermatology 135 (5): 525-8. ISSN 0003-987X. PMID 10328191. doi:10.1001/archderm.135.5.525.
- ↑ Dahlman-Ghozlan, Kristina; Hedblad, Mari-Anne; von Krogh, Geo (1999). «Penile lichen sclerosus et atrophicus treated with clobetasol dipropionate 0.05% cream: A retrospective clinical and histopathologic study». Journal of the American Academy of Dermatology 40 (3): 451-457. ISSN 0190-9622. PMID 10071317. doi:10.1016/S0190-9622(99)70496-2.
- ↑ Neill, S.M.; Lewis, F.M.; Tatnall, F.M.; Cox, N.H. (2010). «British Association of Dermatologists' guidelines for the management of lichen sclerosus 2010». British Journal of Dermatology 163 (4): 672-682. ISSN 0007-0963. PMID 20854400. doi:10.1111/j.1365-2133.2010.09997.x.
- ↑ Neill, S.M.; Tatnall, F.M.; Cox, N.H. (2002). «Guidelines for the management of lichen sclerosus». British Journal of Dermatology 147 (4): 640-649. ISSN 0007-0963. PMID 12366407. doi:10.1046/j.1365-2133.2002.05012.x.
- ↑ Renaud-Vilmer, Catherine; Cavelier-Balloy, Bénédicte; Porcher, Raphaël; Dubertret, Louis (2004). «Vulvar Lichen Sclerosus». Archives of Dermatology 140 (6). ISSN 0003-987X. PMID 15210462. doi:10.1001/archderm.140.6.709.
- ↑ Li, Y; Xiao, Y; Wang, H; Li, H; Luo, X (Aug 2013). «Low-concentration topical tacrolimus for the treatment of anogenital lichen sclerosus in childhood: maintenance treatment to reduce recurrence.». Journal of Pediatric and Adolescent Gynecology 26 (4): 239-42. PMID 24049806. doi:10.1016/j.jpag.2012.11.010.
- ↑ Maassen, MS; van Doorn, HC (2012). «[Topical treatment of vulvar lichen sclerosus with calcineurin inhibitors].». Nederlands Tijdschrift voor Geneeskunde 156 (36): A3908. PMID 22951124.
- ↑ Chi, Ching-Chi; Kirtschig, Gudula; Baldo, Maha; Brackenbury, Fabia; Lewis, Fiona; Wojnarowska, Fenella (7 de diciembre de 2011). «Topical interventions for genital lichen sclerosus». The Cochrane Database of Systematic Reviews (12): CD008240. ISSN 1469-493X. PMC 7025763. PMID 22161424. doi:10.1002/14651858.CD008240.pub2.
- ↑ Lee, Andrew; Bradford, Jennifer; Fischer, Gayle (2015). «Long-term Management of Adult Vulvar Lichen Sclerosus». JAMA Dermatology 151 (10): 1061-7. ISSN 2168-6068. PMID 26070005. doi:10.1001/jamadermatol.2015.0643.
- ↑ Bradford, J.; Fischer, G. (2010). «Long-term management of vulval lichen sclerosus in adult women». Australian and New Zealand Journal of Obstetrics and Gynaecology 50 (2): 148-152. ISSN 0004-8666. PMID 20522071. doi:10.1111/j.1479-828X.2010.01142.x.
- ↑ Fistarol, Susanna K.; Itin, Peter H. (2012). «Diagnosis and Treatment of Lichen Sclerosus». American Journal of Clinical Dermatology 14 (1): 27-47. ISSN 1175-0561. PMC 3691475. PMID 23329078. doi:10.1007/s40257-012-0006-4.
- ↑ Fistarol, Susanna K.; Itin, Peter H. (2012). «Diagnosis and Treatment of Lichen Sclerosus». American Journal of Clinical Dermatology 14 (1): 27-47. ISSN 1175-0561. PMC 3691475. PMID 23329078. doi:10.1007/s40257-012-0006-4.
- ↑ Smith, Yolanda R; Haefner, Hope K (2004). «Vulvar Lichen Sclerosus». American Journal of Clinical Dermatology 5 (2): 105-125. ISSN 1175-0561. PMID 15109275. doi:10.2165/00128071-200405020-00005.
- ↑ Neill SM, Tatnall FM, Cox NH. Guidelines for the management of lichen sclerosus. Br J Dermatol 2002;147:640-9.
- ↑ Powell, J.; Robson, A.; Cranston, D.; Wojnarowska, F.; Turner, R. (2001). «High incidence of lichen sclerosus in patients with squamous cell carcinoma of the penis». British Journal of Dermatology 145 (1): 85-89. ISSN 0007-0963. PMID 11453912. doi:10.1046/j.1365-2133.2001.04287.x.
- ↑ Windahl, T. (2009). «Is carbon dioxide laser treatment of lichen sclerosus effective in the long run?». Scandinavian Journal of Urology and Nephrology 40 (3): 208-211. ISSN 0036-5599. PMID 16809261. doi:10.1080/00365590600589666.
- ↑ Casabona, Francesco; Gambelli, Ilaria; Casabona, Federica; Santi, Pierluigi; Santori, Gregorio; Baldelli, Ilaria (2017). «Autologous platelet-rich plasma (PRP) in chronic penile lichen sclerosus: the impact on tissue repair and patient quality of life». International Urology and Nephrology 49 (4): 573-580. ISSN 0301-1623. PMID 28161837. doi:10.1007/s11255-017-1523-0.
- ↑ Smith SD, Fischer G (2009). «Childhood onset vulvar lichen sclerosus does not resolve at puberty: a prospective case series». Pediatr Dermatol 26 (6): 725-9. PMID 20199450. doi:10.1111/j.1525-1470.2009.01022.x.
- ↑ Nasca, MR; Innocenzi, D; Micali, G (1999). «Penile cancer among patients with genital lichen sclerosus». J Am Acad Dermatol 41 (6): 911-914. PMID 10570372. doi:10.1016/S0190-9622(99)70245-8.
- ↑ Poulsen, H; Junge, J; Vyberg, M; Horn, T; Lundvall, F (2003). «Small vulvar squamous cell carcinomas and adjacent tissues. A morphologic study». APMIS 111 (9): 835-842. PMID 14510640. doi:10.1034/j.1600-0463.2003.1110901.x.
- ↑ Barbagli, G; Palminteri, E; Mirri, F; Guazzoni, G; Turini, D; Lazzeri, M (2006). «Penile carcinoma in patients with genital lichen sclerosus: a multicenter survey». J Urol 175 (4): 1359-1363. PMID 16515998. doi:10.1016/S0022-5347(05)00735-4.
- ↑ Rotondo JC, Borghi A, Selvatici R, Mazzoni E, Bononi I, Corazza M, Kussini J, Montinari E, Gafà R, Tognon M, Martini F (2018). «Association of Retinoic Acid Receptor β Gene With Onset and Progression of Lichen Sclerosus-Associated Vulvar Squamous Cell Carcinoma». JAMA Dermatology 154 (7): 819-823. PMC 6128494. PMID 29898214. doi:10.1001/jamadermatol.2018.1373.
- ↑ van de Nieuwenhof, HP; van der Avoort, IA; de Hullu, JA (2008). «Review of squamous premalignant vulvar lesions». Crit Rev Oncol Hematol 68 (2): 131-156. PMID 18406622. doi:10.1016/j.critrevonc.2008.02.012.
- ↑ Henquet, CJ (Aug 2011). «Anogenital malignancies and pre-malignancies.». Journal of the European Academy of Dermatology and Venereology : JEADV 25 (8): 885-95. PMID 21272092. doi:10.1111/j.1468-3083.2010.03969.x.
- ↑ Rotondo JC, Borghi A, Selvatici R, Magri E, Bianchini E, Montinari E, Corazza M, Virgili A, Tognon M, Martini F (2016). «Hypermethylation-Induced Inactivation of the IRF6 Gene as a Possible Early Event in Progression of Vulvar Squamous Cell Carcinoma Associated With Lichen Sclerosus». JAMA Dermatology 152 (8): 928-33. PMID 27223861. doi:10.1001/jamadermatol.2016.1336.
- ↑ Halonen, Pia; Jakobsson, Maija; Heikinheimo, Oskari; Riska, Annika; Gissler, Mika; Pukkala, Eero (2017). «Lichen sclerosus and risk of cancer». International Journal of Cancer 140 (9): 1998-2002. ISSN 0020-7136. PMID 28124469. doi:10.1002/ijc.30621.
- ↑ Pietrzak, Peter; Hadway, Paul; Corbishley, Cathy M.; Watkin, Nicholas A. (2006). «Is the association between balanitis xerotica obliterans and penile carcinoma underestimated?». BJU International 98 (1): 74-76. ISSN 1464-4096. PMID 16831147. doi:10.1111/j.1464-410X.2006.06213.x.
- ↑ Fistarol, Susanna K (2013). «Diagnosis and treatment of lichen sclerosus: an update.». Journal of the American Academy of Dermatology 14 (1): 27-47. PMC 3691475. PMID 23329078. doi:10.1007/s40257-012-0006-4.
- ↑ Kizer WS, Prairie T, Morey AF. Balanitis xerotica obliterans: epidemiologic distribution in an equal access health care system. South Med J 2003;96(1):9-11
- ↑ Hallopeau, H (1887). «Du lichen plan et particulièrement de sa forme atrophique: lichen plan scléreux». Ann Dermatol Syphiligr (Paris) (8): 790-791.
- ↑ Friedrich Jr., EG (1976). «Lichen sclerosus». J Reprod Med 17 (3): 147-154. PMID 135083.
Enlaces externos
- Esta obra contiene una traducción derivada de «Lichen sclerosus» de Wikipedia en inglés, concretamente de esta versión, publicada por sus editores bajo la Licencia de documentación libre de GNU y la Licencia Creative Commons Atribución-CompartirIgual 4.0 Internacional.
- NIAMS - Preguntas y respuestas sobre el liquen escleroso
- NIAMS - Fast Facts About Lichen Sclerosus
- dermnetnz.org
- mejor medicina
- Autor de referencia de Medscape: Jeffrey Meffert, MD; Editor Jefe: Dirk M Elston, MD
- Apoyo a las mujeres
- Apoyo a los hombres
Fotos médicas
