Bulla pulmonar
Una bulla pulmonar (del latín bulla, burbuja) consiste en una bolsa de aire (neumatosis) con paredes fina (hasta 1 mm) s que contiene aire dentro de un pulmón, resultado de la destrucción, dilatación y confluencia de espacios aéreos distales a los bronquiolos terminales. Puede ocasionar falta de aire (disnea), neumotórax espontáneo y abscesos.
Hay que distinguir las bullas pulmonares de otras lesiones con apariencia semejante en la radiografía de tórax, como son las cavidades o cavitaciones pulmonares, estas tiene una pared más gruesa (mayor de 4 mm) y los quistes pulmonares con paredes de ente 1 y 4 mm.[1]
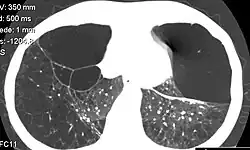
Las bullas en el paciente con enfisema pulmonar se caracteriza por la existencia de amplias áreas de pulmón hiperclaro surcadas por tractos lineales curvilíneos que no corresponden a ninguna estructura anatómica reconocible y que correspondan a las propias paredes de las bullas[2]
Causas
La causa más frecuente es enfisema pulmonar. Las bulas de enfisema son una distensión de los espacios aéreos pulmonares de más de 1 cm de diámetro. Se encuentran preferentemente en los vértices pulmonares y corresponden a un alargamiento de los espacios centrolobulillares. Por lo general tienden a aumentar de volumen y complicarse. A veces desaparecen tras un proceso infeccioso del parénquima circundante.[3]
Otras condiciones asociadas con las bulas pulmonares son:[4]
- Deficiencia de alfa 1-antitripsina (DA1AT)
- Síndrome de Marfan
- Síndrome de Ehlers-Danlos
- Fumar cocaína
- Sarcoidosis
- SIDA
- Abuso de sustancias intravenosas
Diagnósticos diferenciales
Las bullas que sufren un proceso infeccioso deben diferenciarse en su diagnóstico de otras lesiones pulmonares parecidas, como el absceso, la tuberculosis y los procesos neoplásicos cavilados pulmonares.
Referencias
- ↑ Neumomadrid. «Enfermedad bullosa». Consultado el 29 de agosto de 2021.
- ↑ GAYETE CARA, ÀNGEL. «Enfermedad Pulmonar Obstructiva Crónica (EPOC). Aspectos radiológicos generales». Monografías en Neumología.
- ↑ Guimard, Y; Lemmens, B; Carré, P; Asquier, E; Lavandier, M (1995). «Disparition de bulles d'emphiséme aprés épisodes infectieux». Rev Pneumol Clin 51: 253-6.
- ↑ Neerja Gulati (2019-03-11). "Bullectomy". Medscape. Updated: Feb 21, 2019