Cáncer infantil
| Cáncer infantil | ||
|---|---|---|
|
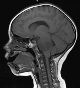
Resonancia magnética sagital en la que se observa un glioma en el tronco cerebral de un paciente de 4 años de edad. | ||
| Especialidad | pediatría | |
El cáncer infantil es cualquiera de varias formas de cáncer que afecta a los pacientes en edad pediátrica. Es un proceso de crecimiento y diseminación incontrolados de células. Puede aparecer en cualquier parte del cuerpo. Muchos tipos de cáncer en adultos se podrían prevenir evitando la exposición a factores de riesgo; sin embargo, en los niños aún no se conocen las causas.[1] En países desarrollados como los Estados Unidos y España, cerca de 14 de cada 100 mil niños tienen una forma de cáncer. A la fecha, la tasa de supervivencia de niños afectados de cáncer en España es del 70 por ciento, según los datos del Registro Nacional de Tumores Infantiles. Esta cifra supone un incremento del 15 por ciento en la tasa, en relación con la de los años ochenta.[2] En países en vías de desarrollo, como Venezuela,[3] la incidencia de cáncer infantil es más alta,[4] lo que representa una de las causas más frecuentes de muerte infantil.[cita requerida]
El 15 de febrero se celebra en todo el mundo el Día Internacional del Cáncer Infantil, instituida en Luxemburgo en el 2001. La jornada busca sensibilizar y concienciar a la comunidad respecto de la importancia de esta problemática y de la necesidad de un acceso rápido al diagnóstico y tratamiento oportunos.[5]
Epidemiología
Considerando todos los grupos de edad, los tipos más frecuentes de cáncer en la infancia son:[2]
- la leucemia (aproximadamente 25%);
- tumores del sistema nervioso central (aproximadamente 20%);
- el linfoma no Hodgkin (aproximadamente 6%);
- la enfermedad de Hodgkin (aproximadamente 5%);
- el tumor de Wilms en el riñón (aproximadamente 5%);
- el sarcoma de Ewing;
- el cáncer de tiroides, cuya incidencia comienza a aumentar en algunas regiones;
A partir de los diez años, también hay una mayor incidencia del osteosarcoma o cáncer de huesos.[6]
Síntomas
Algunos de los síntomas de alerta son:[cita requerida]
- cansancio
- ojeras
- epistaxis (sangrado nasal)
- aumento de volumen en alguna parte del cuerpo (brazos, piernas, tobillos, abdomen)
- petequias (puntos rojos en la piel)
- leucocoria (aparición de una mancha blanca en el ojo)
Por supuesto, es de suma importancia una detección temprana, para que se tenga un tratamiento oportuno. El cáncer puede provocar reacciones psicológicas negativas tanto en los propios niños como en sus familiares. No obstante, la lucha al abordar los problemas oncológicos también puede dar lugar a cambios psicológicos positivos que demuestran la fortaleza del ser humano, siendo una de ellas el crecimiento postraumático[7]
En España
La Federación Española de Padres de Niños con Cáncer (FEPNC) lanzó la iniciativa “Ayúdales. Son sólo niños”, que pretende sensibilizar a la sociedad sobre la enfermedad en la infancia.[cita requerida]
Véase también
- Asociación Pablo Ugarte
- Federación Española de Padres de Niños con Cáncer
- hemangioma
- neuroblastoma
- quiste tirogloso
- síndrome de von Hippel-Lindau
- tumores infantiles
Referencias
- ↑ Tratamiento del cáncer infantil. Revista El Mundo (en español). Último acceso 11 de noviembre de 2008.
- ↑ a b Discapnet, El portal de la discapacidad. Fundación ONCE - Fondo Europeo de Desarrollo Regional.Cáncer infantil Archivado el 13 de febrero de 2009 en Wayback Machine.(en español). Último acceso 11 de noviembre de 2008.
- ↑ Claudia Sánchez. Instituto Oncológico “Dr. Luis Razetti” (septiembre 2006). Cáncer Infantil en Venezuela: Reflexiones Archivado el 16 de octubre de 2007 en Wayback Machine. (en español) Último acceso 11 de noviembre de 2008.
- ↑ GeoSalud, Cáncer infantil
- ↑ 15 de febrero, día internacional del cáncer infantil
- ↑ KidsHealth.com - The Nemours Foundation. Cáncer infantil (en español). Último acceso 11 de noviembre de 2008.
- ↑ «Posttraumatic growth in parents of children and adolescents with cancer». Anales del Sistema Sanitario de Navarra 42 (3). 2019-12. ISSN 1137-6627. doi:10.23938/ASSN.0717. Consultado el 26 de enero de 2020.
Enlaces externos
- Federación Española de Padres de Niños con Cáncer
- Rizos de Amor y Alegría, A.C., organización para la donación de cabello a niñxs con cáncer
www.fundacionflexer.org Fundación Natalí Dafne Flexer - de ayuda a niños y jóvenes con cáncer -