Cáncer tiroideo
| Cáncer tiroideo | ||
|---|---|---|
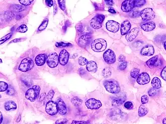
![]() Imagen microscópica de la apariencia celular de un carcinoma papilar tiroideo | ||
| Especialidad | oncología | |
El cáncer tiroideo (también conocido como cáncer de tiroides) agrupa a un pequeño número de tumores malignos de la glándula tiroides, que es la malignidad más común del sistema endocrino. Por lo general, los tumores malignos de la tiroides tienen su origen en el epitelio folicular de la glándula y son clasificados de acuerdo a sus características histológicas.
Los tumores diferenciados, como el carcinoma papilar o el carcinoma folicular, generalmente tienen buen pronóstico y son curables en casi todos los casos si son detectados en etapas tempranas.
Los tumores no diferenciados, como es el carcinoma anaplásico el cual tiende a cursar con un peor pronóstico, tiene muy poca respuesta al tratamiento y tiene un comportamiento muy agresivo.
Epidemiología
Algunos datos sospechosos de malignidad en un paciente con enfermedad nodular tiroidea incluyen:
- Historia familiar de carcinoma medular o neoplasia endocrina múltiple.
- Historia familiar de cáncer tiroideoxernial.
- Edad inferior a 20 años o superior a 65 años.
- Antecedentes de irradiación cervical en la infancia o adolescencia.
Alta Sospecha:
- Nódulo único o dominante o nódulo mayor de 4 cm de diámetro.
- Aparición reciente y crecimiento rápido.
- Consistencia pétrea.
- Presencia de adenopatías cervicales.
- Signos y síntomas de compresión.
- Invasión de otras estructuras cervicales.
- Metástasis a distancia.
- Nódulo frío por gammagrafía.
- Nódulo sólido o mixto por ecografía.
- Reaparición de un quiste tras punción-aspiración.
- Crecimiento a pesar del tratamiento con levotiroxina.
La incidencia del cáncer de tiroides es de aproximadamente 9/100.000 por año y se incrementa con la edad (aproximadamente a los 50 años). Es infrecuente antes de los 20 años de edad, comprendiendo sólo el 1% de todos los tumores malignos ocurridos antes de los 18 años de edad, presentando un excelente pronóstico.[1] Si aparece después de los 65 se asocian a un peor pronóstico.[2] El riesgo por sexo encuentra una mayor incidencia en mujeres que en hombres.[3] Otros factores de riesgo adicionales incluyen: radioterapia cervical en la niñez, tamaño nodular mayor o igual a 4 cm e invasión a los ganglios linfáticos y metástasis.
Etiología
Radiación
Recientes estudios apuntan a la radiación externa como una causa importante en la génesis del cáncer tiroideo. Esta radiación externa aplicada antes de los 15 o 20 años aumenta el riesgo de desarrollar carcinoma papilar.[3]
El período de latencia entre la irradiación y la aparición clínica de la neoplasia es de al menos 5 años, el riesgo es máximo a los 20-30 años para permanecer alto otros 20 y luego, finalmente, disminuir gradualmente. La incidencia del cáncer aumenta de forma lineal con la dosis de radiación recibida por la glándula, pero, cuando se superan los 150-200 cGy, la carcinogénesis disminuye seguramente por el efecto destructivo de las dosis altas de irradiación. El riesgo de carcinoma no aumenta en los pacientes que han recibido yodo 131 para el diagnóstico o el tratamiento de otras enfermedades tiroideas.
TSH y yodo
Las concentraciones elevadas de TSH influyen en el desarrollo de algunos carcinomas hallados en bocios dishormogénicos. Además, cuando la ingesta de yodo es baja, existe un aumento relativo del porcentaje de carcinomas foliculares y anaplásicos y una disminución del papilar en la mayoría de los casos.
Factores hereditarios, oncogenes y genes supresores tumorales
El 3% de los carcinomas papilares y algunos foliculares pueden tener un componente hereditario. En el síndrome de Gardner (poliposis adenomatosa familiar) existe un riesgo 160 veces mayor que en la población en general de desarrollar carcinomas tiroideos papilares especialmente en las mujeres menores de 35 años de edad. También existen con frecuencia tumores tiroideos (benignos y malignos) en la enfermedad de Cowden (harmatomas múltiples), en el síndrome de Peutz-Jeghers y en la ataxia-telangiectasia, y se han descrito familias con carcinomas papilares aislados.
Los pacientes con tiroiditis de Hashimoto presentan un riesgo 67 a 80 veces superior al de la población en general para el desarrollo de este tipo de neoplasia. Sin embargo, los factores que conducen a ella aún se desconocen.
El 20-25% de los carcinomas medulares tiene un mecanismo de transmisión hereditaria de tipo autosómico dominante que puede originar la aparición de carcinoma medular familiar aislado o en el contexto de una neoplasia endocrina múltiple. En estos carcinomas familiares se hallan mutaciones que se localizan en diferentes exones del protooncogén RET del cromosoma 10 y que lo convierten en un gen con actividad oncogénica.[3] Estas mutaciones del protooncogén RET se han identificado en el 90-95% de los carcinomas medulares familiares y en 5-10% de los esporádicos.
Entre 3 y 33% de los carcinomas papilares sin antecedentes de irradiación y entre el 60 y 80% de los irradiados presentan reordenamientos en el oncogén RET/PTC y, con menor frecuencia en los NTRK, RAS y GSP. Mutaciones puntuales inactivadoras de al menos dos oncogenes supresores (p53 y gen del retinoblastoma, Rb) se han hallado con mucha frecuencia en los carcinomas anaplásicos y, en cambio, son raras en las células de los carcinomas diferenciados, incluso en los que coexisten con los indiferenciados en la misma glándula.
Diagnóstico

Las técnicas de diagnóstico, como la ecografía de alta resolución y la punción-aspiración con aguja fina (PAAF) permiten un diagnóstico precoz.[2] La ecografía evidencia mala delimitación del nódulo, por lo general de forma irregular por hipoecogeneidad, ausencia de halo de seguridad, calcificaciones, crecimiento comparado con exploraciones previas y vascularización intranodular. La PAAF es la prueba decisiva en el diagnóstico de cáncer tiroideo. La biopsia de tiroides muestra células de cáncer anaplásico, folicular, medular o papilar. Tanto la gammagrafía de tiroides que muestra un nódulo frío (es decir, que no se ilumina durante el examen) como la laringoscopia que muestra cuerdas vocales paralizadas suelen indicar cáncer de tiroides; otro tanto puede decirse de las concentraciones elevadas de calcitonina en suero (indicadoras de cáncer medular) o de tiroglobulina (que indican cáncer papilar o folicular, y también la presencia de cáncer residual).[2]
Cuadro clínico
El síntoma más común es la presencia de un nódulo en la tiroides, aunque cabe aclarar que sólo el 5% de tales nódulos es maligno. Algunas veces, el primer signo es un ganglio linfático crecido. Otros síntomas presentes son el dolor, los cambios en la voz y los síntomas de hipotensión o hipertensión.[4]
Clasificación
Las neoplasias tiroideas pueden presentarse en cualquier tipo de células que se encuentran en la glándula incluyendo las células foliculares, las células productoras de calcitonina (células C), linfocitos y elementos vasculares. Desde el punto de vista de sus características patológicas, las neoplasias primarias de la tiroides se clasifican en:[4]
- Carcinomas diferenciados:
- Carcinoma papilar
- Carcinoma folicular
- Carcinoma de células de Hurtle
- Carcinoma medular
- Carcinoma indiferenciado
- Linfoma
Los más comunes (papilar y folicular) crecen lentamente y pueden recurrir, pero estas formas raramente son fatales en pacientes menores de 45 años. La forma medular también cursa con buen pronóstico en los casos en que el carcinoma se halla restringido a la glándula tiroides; la forma anaplásica crece rápidamente y responde mal a la terapia.
Cáncer papilar de tiroides
Es el tipo más común de cáncer de tiroides (aproximadamente 80% de los casos) y ocurre frecuentemente en mujeres en edad reproductiva,[4] presentándose entre los 30 y 40 años, en su mayoría.[3] También es el tipo de cáncer predominante en niños, y pacientes que han sufrido de radiación a la cabeza y cuello previamente (en este grupo el cáncer tiende a ser multifocal con metástasis linfática temprana, con peor pronóstico). La tiroglobulina puede ser usada como marcador tumoral para cánceres papilares de tiroides bien diferenciados. Comúnmente metastatiza a ganglios linfáticos. El cáncer papilar lo caracteriza en un 50% de los casos con la aparición de cuerpos de psammoma en las revisiones microscópicas.[3]
Tratamiento
Cirugía: consiste en la extracción o "eliminación" del cáncer ubicado en la parte tiroidea. El médico tratante o cirujano puede operar de las siguientes formas:
- Con lobectomía, procedimiento en el que sólo se extrae uno de los lados de la glándula tiroidea, que es el sitio en el que se halla radicado el cáncer.
- Con tiroidectomía total, consistente en la extracción de toda la glándula tiroides.
En ambas cirugías se pueden extraer ganglios linfáticos (disección de ganglios linfáticos) para cerciorarse y determinar si ha habido metástasis en ellos (si también contienen cáncer).
Cáncer folicular de tiroides
Ocurre comúnmente en mujeres mayores de 50 años y es frecuente en sociedades donde la ingesta de yodo es escasa.[3] La tiroglobulina puede usarse como marcador tumoral en cánceres foliculares bien diferenciados. No es posible distinguir entre el adenoma folicular o el carcinoma mediante citología. Si los exámenes sugieren adenoma folicular, se debe practicar la lobectomía. El carcinoma folicular tiende a metastatizar en pulmón y tejido óseo por vía sanguínea.
Cáncer medular de la tiroides

Esta forma de cáncer se origina en las células parafoliculares (células C), las cuales producen calcitonina y comprenden entre el 3-6% de todos los cánceres tiroideos. La calcitonina es una hormona que puede producir hipocalcemia. La calcitonina es un marcador útil para detectar este tipo de cáncer y monitorizar la respuesta a los tratamientos. El antígeno carcinoembriogénico (CEA) también es útil como marcador tumoral en esta situación. Hasta el 25% de estos tumores pueden ser familiares.[5] Por ello en estos casos se recomienda el estudio de mutaciones germinales del gen RET.[5] En concreto, se deben evaluar mutaciones en los exones 10, 11, 13-16,[3] y si son negativas se piden también las mutaciones del exón 8. Aproximadamente 6 a 8% de los pacientes con cáncer medular de tiroides aparentemente esporádico tienen mutaciones del proto-oncogén RET en la línea germinal. No obstante, los estudios han encontrado mutaciones entre el 1.5% y el 25%. Por el contrario, las mutaciones somáticas (sólo presentes en el tumor, pero no en el ADN leucocitario) están presentes en el 50% de los casos. El tratamiento de los portadores asintomáticos de mutaciones en la línea germinal (familiares del paciente) tiene un gran impacto pronóstico, con tasas de curación del 95%. La penetrancia de la mutación es del 100%. El pronóstico de este tipo de tumor es malo cuando se presenta en fase avanzada. Puede producir metástasis en diversos órganos como hígado, hueso, pulmón y ganglios linfáticos.
Contrario a los cánceres diferenciados del tiroides, el carcinoma Medular no tiene relación con la exposición a la radiación.
El carcinoma medular del tiroides puede ser de tipo esporádico, y representa entre el 60 % al 70 % de todos los casos de cáncer medular: Típicamente se manifiesta como una tumoración aislada y unilateral. Para el momento del diagnóstico, la diseminación linfática está presente.
Otra de las formas es la hereditaria. Se transmiten de manera autosómica dominante y se manifiesta como un tumor multifocal y bilateral. Las formas hereditarias pueden formar parte de un síndrome de neoplasia endocrina múltiple (NEM). En el NEM 2A, el carcinoma Medular se acompaña de feocromocitoma e hiperplasias paratiroideas. Mientras que en el NEM 2B se acompaña, de feocromocitoma, neuromas múltiples de la mucosa, ganglioneuromas intestinales y megacolon. Estos pacientes muestran hábitos marfanoides, mandíbulas prominentes y labios gruesos. Esta última forma el cáncer medular muestra un comportamiento más agresivo. Existe una tercera forma hereditaria del carcinoma medular del tiroides descrita en 1986, correspondiente al tipo familiar la cual se transmite de forma autosómica dominante y no se relaciona con los síndromes de NEM; es de carácter indolente y aparece en edades avanzadas de la vida .[6]
A diferencia de los otros carcinomas bien diferenciados, el carcinoma medular no responde al tratamiento con yodo radiactivo. La cirugía es el tratamiento más eficaz cuando el tumor se presenta en fase inicial. En cambio, tras la recaída o cuando hay metástasis al diagnóstico, el enfoque es diferente. En este sentido, los inhibidores de tirosin-kinasa de la vía de RET (por ejemplo, vandetanib o sorafenib) probablemente constituyan opciones de tratamiento muy útiles en el futuro, aunque en el momento actual se encuentran en fase de estudio y todavía no pueden ser administrados en humanos. La quimioterapia tiene una eficacia limitada,[5] aunque los protocolos con dacarbacina y 5-FU pueden producir algunas estabilizaciones duraderas. El otro fármaco quimioterámico más usado es la doxorrubicina, aunque con tasas de respuesta entre 15-35%.[3]
Cáncer anaplásico de tiroides
El carcinoma anaplásico de tiroides crece muy rápidamente y es un tipo invasivo de cáncer de tiroides que ataca más frecuentemente a personas mayores de 60 años. La causa se desconoce. Las pruebas de la función tiroidea suelen ser normales. El carcinoma anaplásico representa sólo el 1% de todos los cánceres tiroideos y es una enfermedad muy poco frecuente. Tumor de rápido crecimiento, voluminoso y asimétrico, rápidamente invasor, comprometiendo estructuras vecinas. Metástasis ganglionares precoces y a distancia. Puede presentar dolor. La sobrevida no alcanza al año.
Tratamiento
Este tipo de cáncer requiere tratamiento quirúrgico para extirpar el tumor, o una terapia por radiación o ambos. La cirugía puede requerir la colocación de un tubo en la garganta para ayudar a la respiración (traqueostomía). Este tumor no responde al yodo radiactivo que se utiliza para tratar otros tipos de cáncer de tiroides y tampoco responde a la quimioterapia.
La hemitiroidectomia es poco común, debido a la agresividad de este cáncer. La tiroidectomía total es realizada con el diagnóstico en la mayoría de casos.
Metástasis y cambios genómicos
Se ha observado en estudios de comparación genómica pan-cáncer entre tumores primarios y metastásicos que hay una mayor inestabilidad genómica en tumores metastásicos de cáncer de tiroides en comparación con los tumores primarios.[7] Esta diferencia en la estabilidad genómica podría estar vinculada con la agresividad de los tumores metastásicos. Se detectó una transformación extensa del paisaje genómico en el cáncer metastásico, con cambios considerables en la carga de mutaciones, incluyendo genes conductores como RET y TP53 que se mutaron exclusivamente en tumores metastásicos (es decir, no se encontraron en los equivalentes de tumores primarios). Además, hubo un aumento significativo en las pérdidas de brazos cromosómicos en los tumores metastásicos, indicando una reorganización genómica sustancial en estadios avanzados. Por otro lado, existe evidencia de que los tratamientos pueden influir en el genoma tumoral del cáncer de tiroides, seleccionando genes resistentes a la terapia en algunos pacientes, lo que destaca la importancia de comprender la evolución genómica inducida por tratamientos en la progresión del cáncer.
Véase también
Referencias
- ↑ PEREZ P, JUAN ANTONIO et al. Cáncer de tiroides pediátrico: Serie de casos (en español). Rev Chil Cir [online]. 2009, vol.61, n.1 [citado 2010-01-06], pp. 21-26. ISSN 0718-4026. doi: 10.4067/S0718-40262009000100004.
- ↑ a b c GONZALEZ, Carolina C. et al. Cáncer de Tiroides: Estudio descriptivo retrospectivo (en español). Medicina (B. Aires) [online]. 2006, vol.66, n.6 [citado 2010-01-06], pp. 526-532. ISSN 0025-7680.
- ↑ a b c d e f g h Pramod K Sharma, Michael M Johns III (abril de 2007). Thyroid Cancer (en inglés). eMedicine.com: Head and Neck Oncology. Último acceso 28 de marzo de 2008.
- ↑ a b c por MedlinePlus (febrero de 2009). «Cáncer tiroideo». Enciclopedia médica en español. Consultado el 8 de enero de 2010.
- ↑ a b c Instituto Nacional del Cáncer (National Cancer Institute). «Cáncer medular tiroideo». Cáncer de la tiroides: tratamiento (PDQ®). Consultado el 13 de marzo de 2008.
- ↑ Aure B, Alejandro; Cruz C., Yanuacelis. «Carcinoma Medular Del Tiroides: Hospital Militar Dr. Carlos Arvelo. 1983-2000». Revista Venezolana de Oncología 17 (2): 107-111. ISSN 0798-0582. Consultado el 19 de mayo de 2016.
- ↑ Martínez-Jiménez, Francisco; Movasati, Ali; Brunner, Sascha Remy; Nguyen, Luan; Priestley, Peter; Cuppen, Edwin; Van Hoeck, Arne (2023-06). «Pan-cancer whole-genome comparison of primary and metastatic solid tumours». Nature (en inglés) 618 (7964): 333-341. ISSN 1476-4687. PMC 10247378. PMID 37165194. doi:10.1038/s41586-023-06054-z. Consultado el 5 de enero de 2024.
Enlaces externos
- [1] (American Thyroid Association, artículo sobre el nódulo tiroideo, que puede desembocar en cáncer de tiroides)
- Cirugía videoasistida en el tratamiento de cáncer de tiroides Archivado el 28 de septiembre de 2017 en Wayback Machine. Sociedad Española de Otorrinolaringología y Cirugía de Cabeza y Cuello (SEORL-CCC)
- CÁNCER DE TIROIDES: diagnóstico, tratamiento, síntomas y causas Sociedad Española de Otorrinolaringología y Cirugía de Cabeza y Cuello (SEORL-CCC)
- Síntomas, causas y tratamiento Archivado el 17 de septiembre de 2016 en Wayback Machine.(en español)
.jpg)