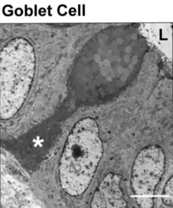
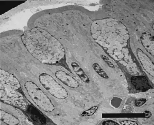
Célula caliciforme


Las células caliciformes, son células epiteliales especializadas o "glándulas unicelulares" secretoras de mucus, presentes en los revestimientos epiteliales de las mucosas de las vías respiratorias y el aparato digestivo.[1]
Las células caliciformes también secretan proteínas antimicrobianas, quimiocinas y citocinas que demuestran funciones en la inmunidad innata, más allá del mantenimiento de una barrera.[2]
Clínicamente las células caliciformes están asociadas con enfermedades respiratorias y con enfermedades inflamatorias del intestino.[3]
Estructura
Las células caliciformes son células exocrinas, secretoras de mucus altamente polarizadas, presentes dentro de las mucosas.[4] Las estructuras y funciones de los diferentes sectores polarizados se resumen en el término dominios. Existen por tanto: dominios morfológicos, bioquímicos y funcionales definidos.[5][6]
Microarquitectura
Muestran forma de cáliz, cilindro o huso con el extremo distal o el sector central ensanchado.
El dominio celular apical es el excretor, está ocupado completamente por glóbulos de mucina y se abre al exterior. En el dominio central se disponen las numerosas mitocondrias y un aparato de Golgi grande.
El dominio basal está en contacto con la membrana basal y es donde se localiza el núcleo celular.
Ultraestructura

La microscopía electrónica ha permitido el estudio exhaustivo de la citoarquitectura de la célula caliciforme.
- Se han determinado dominios celulares bien caracterizados
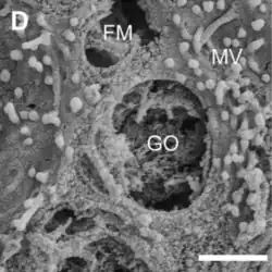
- El dominio celular apical muestra una membrana celular fenestrada por los glóbulos de mucina que secreta.
- Los microtúbulos y microfilamentos son una población dinámica, que están alineados a lo largo del eje largo de estas células, se observan asociados estrechamente con los gránulos de mucina y unas mitocondrias filamentosas.[7]
- Los microtúbulos son necesarios para mantener el transporte de gránulos de mucina en las células caliciformes.[8][4]
- El moco producido por una célula caliciforme, es secretado a la luz mediante exocitosis de los gránulos de mucina. Los orificios de las células caliciformes y la membrana plasmática fenestrada se extienden profundamente en la copa de esta célula.[10]
- El dominio celular medio es el dominio secretor y está formado por el aparato de Golgi con cisternas extensas, por vesículas nacientes a partir del trans-Golgi y por parte del retículo endoplásmico.
- Una capa de citoplasma llamado "theca" rica en filamentos, separa la masa de gránulos de mucina de la membrana celular lateral y también los separa de la región supranuclear ocupada por el Golgi.[11]
- Está formada por dos capas de filamentos intermedios (con diámetro de 10 nm): una interna con forma de red, cercana a la pared de las extensas cisternas del Golgi y una capa externa con forma de manojos de filamentos circunferenciales, dispuestos como aros.
- El dominio celular basal está ocupado por: el núcleo, retículo endoplásmico y mitocondrias, todos en cercanía estrecha con la membrana basal.
Función

La función primaria de las células caliciformes es sintetizar y secretar mucus.[3] El moco producido por una célula caliciforme es secretado a la luz en cuestión mediante exocitosis y diluido con agua con el fin de revestir el epitelio expuesto a acciones nocivas presentes en los tubos digestivos o respiratorios.[12]

Las células caliciformes son las secretoras primarias del epitelio de las grandes vías aéreas, secretan las glicoproteínas mucina, las cuales son el principal componente macromolecular del mucus.[3]
El componente principal del moco son las mucinas, que son glicoproteínas grandes poliméricas, unidas a numerosas cadenas laterales de oligosacáridos higroscópicos e hidrofílicos que contribuyen a la formación de una estructura tipo gel.[13]
Tiene una función importante de mantener húmeda y evitar la desecación del epitelio, en particular en las vías aéreas. Posee una vía secretora de base, que depende del citoesqueleto para el movimiento de los gránulos, y una vía secretora acelerada, que es independiente del citoesqueleto, pero requiere una señal extracelular para ocurrir.[4]
Recambio de células caliciformes
Las células caliciformes son renovadas continuamente cada 3-7 días, a partir de las células madre del epitelio.[3]


Las células caliciformes intestinales migran y maduran desde la base de la cripta hasta la superficie del epitelio, en ese proceso presentan cambios de forma y de volumen.
Después de la diferenciación, las células caliciformes alcanzan una forma piramidal amplia, en el tercio basal de la cripta. Las células se alargan y disminuyen de volumen a medida que se mueven hacia la superficie; la disminución es desproporcionadamente grande en el retículo endoplasmático rugoso (RER). Esta pérdida de gránulos y orgánulos, se produce como consecuencia de la síntesis y secreción continua de gránulos de mucina.[14]
Cultivo y organoides
Se han optimizado las condiciones de cultivo in vitro tridimensional (3D) de los organoides
Galería
-
Células caliciformes productoras del moco en el íleon de ratón. -
Sección del intestino de un ratón con las células caliciformes teñidas de azul.
Véase también
Referencias
- ↑ Megías M., Molist P., Pombal M.A. (2019). «Glándulas Unicelulares Intraepiteliales». Atlas de histología vegetal y animal. Tejidos animales. Consultado el 6 de mayo de 2020.
- ↑ Knoop K.A., Newberry R.D. (2018). «Goblet cells: multifaceted players in immunity at mucosal surfaces». Mucosal Immunology (Review) 11: 1551-1557. Consultado el 8 de mayo de 2020.
- ↑ a b c d Dao D.PD, Le P.H. (2020). Histology, Goblet Cells. StatPearls Publishing LLC. Consultado el 8 de mayo de 2020.
- ↑ a b c Specian R.D., Oliver M.G. (1991). «Functional Biology of Intestinal Goblet Cells». Am J Physiol (Revisión). 260 (2 Pt 1): C183-193. doi:10.1152/ajpcell.1991.260.2.C183. Consultado el 8 de mayo de 2020..
- ↑ Welsch U., Sobotta J. (2008). «3:Tejido epitelial». Histología. Médica Panamericana. p. 86. Consultado el 11 de mayo de 2020.
- ↑ «Polaridad y especializaciones de la superficie celular». Universidad Autónoma de Zacatecas. Archivado desde el original el 14 de abril de 2021. Consultado el 11 de mayo de 2020.
- ↑ Adler K.B., Hardwick D.H., Craighead J.E. (1982). «Porcine Tracheal Goblet Cell Ultrastructure: A Three-Dimensional Reconstrucción». Journal Experimental Lung Research 3 (1). Consultado el 10 de mayo de 2020.
- ↑ Picone R., Ren X., Ivanovitch K.D., Clarke J.D.W., McKendry R.A., Baum B. (2010). «A Polarised Population of Dynamic Microtubules Mediates Homeostatic Length Control in Animal Cells.». PLoS Biol 8 (11): e1000542. doi:10.1371/journal.pbio.1000572. Consultado el 10 de mayo de 2020.
- ↑ Oliver M.G., Specian R.D. (1990). «Cytoskeleton of intestinal goblet cells: role of actin filaments in baseline secretion». Am J Physiol. 259(6 Pt 1): G991-997. Consultado el 8 de mayo de 2020.
- ↑ Ambrosini YM, Park Y, Jergens AE, Shin W, Min S, Atherly T, et al. (2020). «Recapitulation of the accessible interface of biopsy-derived canine intestinal organoids to study epithelial-luminal interactions». PLoS ONE 15 (4): e0231423.
- ↑ Deyrup-Olsen I., Luchtel D.L. (1998). «2:Secretion of mucous granules and other membrane bound structures: A look beyond exocytosis». En Jeon K.W., ed. International Review of Cytology 183. Academic Press. pp. 103-104. Consultado el 10 de mayo de 2020.
- ↑ Chihiro Sasakawa (29 de octubre de 2009). Molecular Mechanisms of Bacterial Infection Via the Gut. Springer. p. 11. ISBN 978-3-642-01845-9. Consultado el 13 de mayo de 2012.
- ↑ Kim Y. S., Ho S.B. (2010). «Intestinal Goblet Cells and Mucins in Health and Disease: Recent Insights and Progress». Current Gastroenterology Reports 12: 319-330. Consultado el 8 de mayo de 2020.
- ↑ Radwan K.A., Oliver M.G., Specian R.D. (1990). «Cytoarchitectural Reorganization of Rabbit Colonic Goblet Cells During Baseline Secretion». Am J Anat 189 (4): 365-376. PMID 2285043. doi:10.1002/aja.1001890408.

