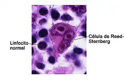
Célula de Reed-Sternberg

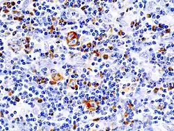
Células de Reed-Sternberg de una biopsia de ganglio linfático, tinción inmunohistoquímica (CD30). En el centro superior de la imagen observamos una célula gigante bilobulada con los núcleos en forma de ojos de búho.

Las células de Reed-Sternberg son células gigantes malignas encontradas en biopsias de ganglios linfáticos de personas con un tipo de linfoma conocido como la enfermedad de Hodgkin. Se originan de linfocitos B. Reciben el epónimo por Dorothy Reed Mendenhall (1874-1964) y Carl Sternberg (1872-1935), quienes describieron las características microscópicas definitivas de esta enfermedad.[1][2]

Características

Célula de Reed-Sternberg; la fotografía muestra los linfocitos normales comparados con una célula de Reed-Sternberg. Las células de Reed-Sternberg son linfocitos grandes y anormales que pueden contener más de un núcleo. Estas células se encuentran en el linfoma de Hodgkin.

Las células de Reed-Sternberg son células muy grandes que, por lo general, son multinucleadas o tienen un núcleo celular bilobulado, dando la apariencia de los ojos de búho, con nucléolos prominentes en forma de inclusiones.[3]​ Las células de Reed-Sternberg tienden a ser CD30 y CD15 positivas y usualmente CD20 y CD45 negativas. La presencia de este tipo de células es característico en el diagnóstico del linfoma de Hodgkin. pero también se pueden encontrar en una linfadenopatía reactiva como la mononucleosis infecciosa o asociada a carbamazepina y, muy raramente, en linfomas no-Hodgkin.

Las células de Reed-Sternberg tienen tres variedades histológicas:

  • Variedad mononuclear, tienen un solo núcleo celular y un nucléolo prominente;
  • Células lacunares, con núcleos multilobulares o con pliegues delicados y rodeados por abundante citoplasma pálido;
  • Variedad linfocítica e histiocítica, tienen núcleos polipoides y nucleolos poco evidentes con moderada cantidad de citoplasma.

Referencias

  1. Reed D. On the pathological changes in Hodgkin's disease, with special reference to its relation to tuberculosis. Johns Hopkins Hosp Rep 1902;10:133-96.
  2. Sternberg C. Uber eine eigenartige unter dem Bilde der Pseudoleukamie verlaufende Tuberculose des lymphatischen Apparates. Ztschr Heilk 1898;19:21-90.
  3. Harrison Principios de Medicina Interna 16a edición (2006). «Enfermedad de Hodgkin clásico». Harrison online en español. McGraw-Hill. Consultado el 11 de junio de 2008. 

Enlaces externos