Célula gigante de Langhans
| Célula gigante de Langhans | ||
|---|---|---|
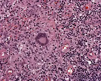
![]() Tejido de granulación con un granuloma mal formado a la izquierda del centro. Dentro de esta área se encuentra una célula gigante multinucleada de tipo Langhans. El paciente tenía una infección por micobacterias (M. ulcerans concretamente) en la piel. | ||
| Información anatómica | ||
| Sistema | Fagocítico mononuclear | |
|
| ||
Las células gigantes de Langhans son de gran tamaño, formadas por la fusión de células epitelioides (macrófagos activados)[1] que contienen varios núcleos dispuestos en la periferia con una forma de herradura. Se los encuentra en los granulomas. Aunque anteriormente se las relacionaba directamente con la tuberculosis,[2] en la actualidad se sabe que está presente en cualquier enfermedad granulomatosa, independientemente de su etiología.[3][4]
Estas células deben su nombre al patólogo alemán Theodor Langhans (1839-1915).[5]
Referencias
- ↑ «Multinucleated giant cells : Current Opinion in Hematology». LWW (en inglés estadounidense). Consultado el 18 de julio de 2024.
- ↑ Lay, G; Poquet, Y; Salek-Peyron, P; Puissegur, M-P; Botanch, C; Bon, H; Levillain, F; Duteyrat, J-L et al. (2007-01). «Langhans giant cells fromM. tuberculosis-induced human granulomas cannot mediate mycobacterial uptake». The Journal of Pathology (en inglés) 211 (1): 76-85. ISSN 0022-3417. doi:10.1002/path.2092. Consultado el 20 de noviembre de 2018.
- ↑ Walton, E. W. (2 de agosto de 1958). «Giant-cell Granuloma of the Respiratory Tract (Wegener's Granulomatosis)». British Medical Journal 2 (5091): 265-270. ISSN 0007-1447. PMC 2026251. PMID 13560836. Consultado el 20 de noviembre de 2018.
- ↑
- ↑ Pritchard, Jon; Foley, Peter; Wong, Hilary (2003-09). «Langerhans and Langhans: what's misleading in a name?». The Lancet (en inglés) 362 (9387): 922. ISSN 0140-6736. doi:10.1016/S0140-6736(03)14323-1. Consultado el 20 de noviembre de 2018.
