Célula gonadotropa
| Célula gonadotropa | ||
|---|---|---|
![]() Gonadotropa de FSH | ||
| Nombre y clasificación | ||
| Sinónimos |
Gonadotrofo | |
| Latín | Endocrinocytus gonadotropicus | |
| TH | H3.08.02.2.00004 | |
| TH | H3.08.02.2.00004 | |
| Información anatómica | ||
| Región | Adenohipófisis | |
| Sistema |
Endócrino | |
| Parte de | Eje hipotalámico-pituitario-gonadal | |
| Arteria | Sistema porta hipotálamo-hipófisis | |
| Información fisiológica | ||
| Función |
Secreción hormonal LH y FSH | |
|
| ||
Las células gonadótropas o gonadotrofos[1] son células endócrinas de la hipófisis anterior que producen las hormonas gonadotropinas.
Las gonadotropas son una población minoritaria de células que representan entre el 5-15% de todas las células de la hipófisis anterior.
Estas células secretan las dos gonadotropinas: hormona foliculoestimulante (FSH) y hormona luteinizante (LH), dentro del sistema circulatorio general mediante el cual llegan a las gónadas.
Embriología

En ratones la órganogénesis de la hipófisis comienza el día embrionario 7.5. El día embrionario 10,5 se separan la bolsa de Rathke del ectodermo oral que formará la boca. Las células ubicadas alrededor del lumen de la bolsa de Rathke son indiferenciadas y proliferan activamente. Estas células migran ventralmente para formar el lóbulo anterior de la hipófisis. Es aquí donde aparecen los tipos de células diferenciadas entre ellas las gonadotrofas.[2]
Estructura
Las células gonadotropas son una población minoritaria que representan 5-15% de todas las células de la hipófisis anterior.
La población de gonadotropas dentro de la hipófisis, está organizada formando una red celular tridimensional que es heterogénea y compleja.
Esta red de gonadotropas es tanto estructural como funcional, se forma durante el desarrollo embrionario, pero se modifica a lo largo de la vida de acuerdo a las necesidades.
Macroarquitectura de red

Las redes tridimensionales de células gonadótropas, tienen relaciones características con otras células y con la microvasculatura. Estas redes celulares son tanto de células del mismo tipo (homotípicas), como de células de tipo diferente (heterotípicas) que habitualmente están incrustadas en tejido conectivo y rodeadas por ricas redes de capilares.[3][4][5]
Durante el ciclo de vida se requieren varios cambios en la adenohipófisis, los que pueden ser permanentes o temporales y se denominan plasticidad.
La plasticidad a nivel de la población celular de gonadotropos, se produce mediante la regulación del número de células.
La plasticidad a nivel estructural de los gonadotropos, ocurre a través de la regulación de la migración celular y la capacidad de las células para formar y remodelar redes celulares.[6]
Microaquitectura

Con el microscopio óptico los gonadotropos se pueden clasificar por su tamaño como células "pequeñas", "medianas" y "grandes" entre 8-18 micrómetros (μm), cuyos porcentajes relativos muestran cambios durante las diferentes etapas del ciclo reproductivo.[7]
Las células gonadótropas muestran basofilia con tinción hematoxilina-eosina (H&E) y se tiñen de azul-violeta.
Las gonadotrofas se muestran de redondeadas a poligonales, y eventualmente con prolongaciones citoplasmáticas largas.
Tienen abundante retículo endoplásmico rugoso que le confiere el color de tinción característico y tienen además abundantes vesículas y mitocondrias.[8][4]
Ultraestructura
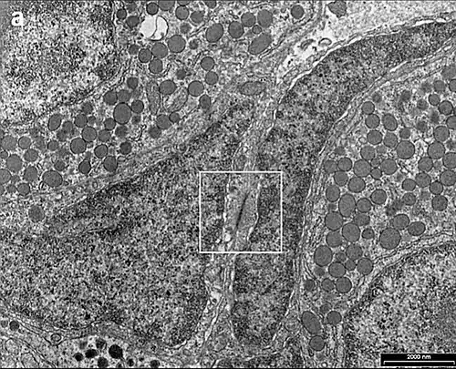
Con el microscopio electrónico (ME) las células gonadotropas muestran las características propias de las células secretoras de polipéptidos. Un retículo endoplasmático rugoso con sacos dilatados. Un gran número de vesículas secretoras densas entre 300-400 nanómetros (nm).[9][10]
Las numerosas mitocondrias en el citoplasma, son reflejo del elevado consumo de energía.[8]
Los núcleos son habitualmente redondeados, de aspecto claro por la eucromatina predominante y están colocados excentricamente en la célula.[11]
Son visibles las uniones gap comunicantes, que facilitan y regulan la actividad, coordinando las respuestas de las células conectadas y por tanto la función secretora gonadótropica.[12][13]
Secreción de hormonas
El concepto de hormonas tróficas (del griego τροφικός trophicos 'alimento' o 'nutrición'), ilustra la idea de que la hormona 'nutre' a la célula objetivo del órgano periférico, controlando el crecimiento y la función de estas células.[14]
Las hormonas tróficas de la hipófisis controlan el crecimiento y la función de sus glándulas endócrinas relacionadas.[15]

Las células gonadotrofas sintetizan, almacenan y secretan las hormonas FSH y LH, que tienen como destino sus glándulas endócrinas relacionadas: las gónadas.
En la rata, el cerdo y la oveja, los estudios inmunocitoquímicos han demostrado la existencia de diferentes subpoblaciones de células gonadotrópicas, que son monohormonales (células LH o células FSH) o bien bihormonales (células LH y FSH). Aproximadamente el 80% de los gonadotropos expresan tanto LH como FSH.[4]
Plasticidad
Las células gonadotrópicas muestran plasticidad a nivel celular, controlando la síntesis y secreción de hormonas, así como cambiando su sensibilidad a los ligandos.
En algunos procesos fisiológicos como la pubertad, el aumento en la actividad de los gonadotrofos individuales, no es suficiente para satisfacer las necesidades y debe producirse una reorganización en la población celular y en la estructura hipofisaria
para aumentar el volumen de producción de las hormonas.[6]
Fenotipo
Las células gonadotropas se definen tradicionalmente por un fenotipo específico que incluye la expresión de 4 genes únicos: el de la subunidad alfa (α) de la hormona glicoproteica común, los de las subunidades beta (β) únicas de LHβ y FSHβ y el del receptor GnRHR.[4]
LH

La hormona luteinizante (LH) es una molécula heterodímero de subunidades alfa y beta (α/β). La subunidad alfa (α) de la LH y la FSH son idénticas, y contienen 92 aminoácidos.
La subunidad beta (β) de la LH es la que le confiere la especificidad, tiene 121 aminoácidos.
FSH
La hormona folículo estimulante (FSH) es una molécula de subunidades alfa y beta. La subunidad beta (β) de la hormona estimulante del folículo (FSHB), se expresa específicamente en las células gonadotropas hipofisarias de los vertebrados. Dado que la transcripción de su subunidad beta (FSHB) limita la velocidad de secreción, la transcripción genética de FSHB tiene un control importante sobre la FSH sérica.[16]
Regulación
Las células gonadotrofas de la adenohipófisis, están reguladas por la hormona liberadora de gonadotrofina (GnRH) del hipotálamo, que es volcada dentro del sistema porta hipotálamo-hipófisis que se dispersa en la adenohipófisis y las rodea.
El tipo de secreción de las gonadotrofas ya sea para LH o para FSH, está determinada por la velocidad de la estimulación pulsátil de la GnRH.[8][17]
Recambio celular de gonadotropas
El recambio de células de la hipófisis en estado estacionario (basal) es extremadamente bajo, a la tasa mitótica basal se requieren hasta 10 semanas para reemplazar las gonadotropas de la rata adulta.[18]
Existen células madre o progenitoras adultas (SC) dentro de la hipófisis de los vertebrados, que tienen la capacidad de dividirse y autorrenovarse, y luego la capacidad para diferenciarse en células gonadotropas. Estas células madre expresan el factor de transcripción SOX2 y el factor de transcripción hipofisario PROP1.[19]
Durante toda la vida posnatal, las (SC) pueden diferenciarse y contribuyen al conjunto de nuevas células gonadotropas, generadas en respuesta a las demandas fisiológicas del ciclo reproductivo y de la gestación, de una manera altamente plástica y dinámica.[20]
Referencias
- ↑ OMS,OPS (ed.). «Gonadotrofos». Descriptores en Ciencias de la Salud, Biblioteca virtual de salud. Consultado el 21 de noviembre de 2020.
- ↑ Majumdar S.; Farris CL.; Kabat BE.; Jung DO.; Ellsworth BS. (2012). «Forkhead Box O1 Is Present in Quiescent Pituitary Cells during Development and Is Increased in the Absence of p27Kip1». PLoS ONE (en inglés) 7 (12): e52136. doi:10.1371/journal.pone.0052136. Consultado el 26 de noviembre de 2021.
- ↑ Le Tissier P.R.; Hodson D.J.; Lafont C.; Fontanaud P.; Schaeffer M.; Mollard P. (2012). «Anterior pituitary cell networks». Frontiers in Neuroendocrinology (REVISIÓN) (en inglés) 33 (3): 252-266. Consultado el 26 de noviembre de 2021.
- ↑ a b c d
- ↑ Budry L.; Lafont C.; El Yandouzi T.; Chauvet N.; Conéjero G.; Drouin J.; Mollard P. (2011). «Related pituitary cell lineages develop into interdigitated 3D cell networks». PNAS 108 (30): 12515-12520. Consultado el 4 de diciembre de 2021.
- ↑ a b Fontaine R.; Ciani E.; Haug T.M.; Hodne K.; Ager-Wick E.; Baker D.M.; Weltzien F-A. (2020). «Gonadotrope plasticity at cellular, population and structural levels: A comparison between fishes and mammals». General and Comparative Endocrinology (en inglés) (Elsevier) 287: 113344. Consultado el 30 de noviembre de 2021.
- ↑ Childs G.V.; Hyde C.; Naor Z.; Catt K. (1983). «Heterogeneous luteinizing hormone and follicle-stimulating hormone storage patterns in subtypes of gonadotropes separated by centrifugal elutriation». Endocrinology 113 (6): 2120-2128. doi:10.1210/endo-113-6-2120.
- ↑ a b c Shlomo Melmed. Tratado de endocrinología; Auchus R.J.; Goldfine A.B.; Koenig R.J.; Rosen C.J. (2021). «cap7:Neuroendocrinología». Williams. Tratado de endocrinología. Elsevier Health Sciences. p. 161-163. Consultado el 26 de noviembre de 2021.
- ↑ Kühnel, Wolfgang (2005). Atlas color de citología e histología. Ed. Médica Panamericana. ISBN 978-84-7903-835-9. Consultado el 3 de diciembre de 2021.
- ↑ Iwama Y. (1990). «Immunohistochemical Identification of Mouse Adenohypophysial Gonadotropes». Okajimas Folia Anat. Jpn. (PDF) 67 (4): 281-288. [1]
- ↑ Jeziorowski T.; Watanabe T.; Bargsten G.; Grube D. (1997). «Heterogeneity of Pituitary Gonadotrope Cells in Male Rats». Arch. Histol. Cytol. (PDF) 60 (4): 355-370.
- ↑ Hodson D.J.; Legros C.; Desarménien M.G.; Guérineau N.C. (2015). «Roles of connexins and pannexins in (neuro)endocrine physiology». Cellular and Molecular Life Sciences (en inglés) 72: 2911-2928. Consultado el 3 de diciembre de 2021.
- ↑ Vitale M.L.; Pelletier R.M. (2018). «The anterior pituitary gap junctions: potential targets for toxicants». Reprod. Toxicol. (en inglés) 79: 72-78. Consultado el 3 de diciembre de 2021.
- ↑ Silverthorn D.H. (2008). «7:Introducción al Sistema Endócrino». Fisiologia humana: Un enfoque integrado (4a. edición). Médica Panamericana. p. 226. Consultado el 15 de noviembre de 2020.
- ↑ Brandan N.C.; Llanos I.C.; Horac F.A.; Tannuri H.O.; Rodríguez A.N. (2014). Principios de Endocrinología (en inglés). Universidad Nacional del Nordeste, Facultad de Medicina, Cátedra de Bioquímica. Consultado el 16 de noviembre de 2020.
- ↑ Jia J.; Shafiee-Kermani F.; Miller WL. (2013). «Gonadotrope-Specific Expression and Regulation of Ovine Follicle Stimulating Hormone Beta: Transgenic and Adenoviral Approaches Using Primary Murine Gonadotropes». PLoS ONE (en inglés) 8 (7): e66852. doi:10.1371/journal.pone.0066852. Consultado el 26 de noviembre de 2021.
- ↑ Ganong, William F.:Review of Medical Physiology, página 248. Lange, 2005.
- ↑ Florio T. (2011). «Adult Pituitary Stem Cells: From Pituitary Plasticity to Adenoma Development». Neuroendocrinología (en inglés) (Karger) 94: 265-277. Consultado el 1 de diciembre de 2021.
- ↑ Camilletti M.A.; Martinez Mayer J.; Vishnopolska S.A.; Perez-Millan M.I. (2021). «From Pituitary Stem Cell Differentiation to Regenerative Medicine». Frontiers in Endocrinology (REVISIÓN). Neuroendocrine Science (en inglés). Consultado el 29 de noviembre de 2021.
- ↑ Karine Rizzoti; Haruhiko Akiyama; Robin Lovell-Badge (2013). «Mobilized Adult Pituitary Stem Cells Contribute to Endocrine Regeneration in Response to Physiological Demand». Cell Stem Cell (en inglés) 13 (4): 419-432. Consultado el 29 de noviembre de 2021.

