Célula oxífila (paratiroides)

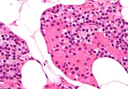
En la glándula paratiroides, las células oxífilas de la paratiroides son más grandes y de coloración más clara que las células principales de la paratiroides.
Estas células se encuentran en grupos en el centro de la sección y en la periferia.[1][2][3][4] Las células oxífilas aparecen al comienzo de la pubertad, pero no tienen una función conocida. Con los escáneres de medicina nuclear, toman selectivamente el radiotrazador del complejo de tecnecio-sestamibi para permitir la delineación de la anatomía glandular.[5] Se ha demostrado que las células oxífilas expresan genes relevantes para las paratiroides que se encuentran en las células principales paratiroideas y tienen el potencial de producir factores autocrinos/paracrinos adicionales, como la proteína relacionada con la hormona paratiroidea (PTHrP) y el calcitriol.[6] Es necesario seguir trabajando para comprender plenamente las funciones de estas células y sus secreciones.
Véase también
- Lista de tipos de células humanas derivadas de las capas germinales
- Capas germinales
- Glándula paratiroidea
Referencias
- ↑ Gartner, p. 208, Fig. 3
- ↑ Ross, p. 628, Fig. 1
- ↑ DiFiore, pp. 270 - 271
- ↑ Wheater, pp. 312 - 313
- ↑ "Minimally Invasive Radio-guided Surgery for Primary Hyperparathyroidism," Annals of Surgical Oncology 12/07 14(12) pp 3401-3402
- ↑ Ritter, Haughey, Miller, Brown (2012). «Differential gene expression by oxyphil and chief cells of human parathyroid glands». J Clin Endocrinol Metab 97 (8): E1499-505. PMC 3591682. PMID 22585091. doi:10.1210/jc.2011-3366.