Caja torácica humana
| Caja torácica | ||
|---|---|---|
![]() Caja torácica humana | ||
![]() Animación de la caja torácica | ||
| Nombre y clasificación | ||
| Latín | cavea thoracis | |
| TA | A02.3.04.001 | |
| Información anatómica | ||
| Región | torso | |
|
| ||
La caja torácica es un recinto endoesquelético en el tórax con el que cuentan la mayoría de los vertebrados. Este comprende las costillas, la columna vertebral y el esternón, los cuales protegen los órganos vitales de la cavidad torácica, como el corazón, los pulmones y los grandes vasos. A su vez, sostienen la cintura escapular para formar la parte central del esqueleto axial.
Una caja torácica humana común consiste en: 12 pares de costillas y cartílagos costales adyacentes, esternón (junto con el manubrio y el xifoides) y 12 vértebras torácicas articuladas con las costillas mediante las articulaciones costovertebrales. La caja torácica también proporciona puntos de inserción para los músculos esqueléticos extrínsecos del cuello, miembros superiores, parte superior del abdomen y espalda. La piel sobrepuesta y la fascia y músculos asociados también conforman la pared torácica.
En los tetrápodos, la caja torácica sostiene de manera intrínseca los músculos respiratorios (diafragma, músculos intercostales, etc.) los cuales son cruciales para la inhalación activa y la exhalación forzada. Por lo tanto, desempeña una función ventilatoria clave en el sistema respiratorio.
Estructura
Hay treinta y tres vértebras en la columna vertebral humana. La caja torácica se constituye de las costillas TH1−TH12, las cuales se describen en función de su ubicación y conexión con el esternón. Todas las costillas están unidas posteriormente a las vértebras torácicas y están numeradas del uno al doce. Las costillas que se articulan de forma directa con el esternón se denominan costillas verdaderas. Por otro lado, las costillas falsas incluyen las costillas flotantes (once y doce) que no tienen ninguna conexión con el esternón.
Articulación
Las costillas verdaderas y costillas falsas con términos que describen los pares de costillas que están unidos de forma directa o indirecta al esternón, respectivamente. Los primeros siete pares de costillas conocidos como costillas vertebroesternales son costillas verdaderas (latín: costae verae) ya que se conectan de manera directa al esternón a través de sus propios cartílagos costales individuales. Los otros cinco pares (del octavo al duodécimo) son las costillas falsas (latín: costae spuriae) o costillas vertebrocondrales, las cuales no se conectan directamente al esternón. Los tres primeros pares de costillas vertebrocondrales (del octavo al décimo) se conectan de forma directa al esternón a través de los cartílagos costales de las costillas que los rodean,[1][2] y la elasticidad general de sus articulaciones permite los movimientos de asa de cubo de la caja torácica, esenciales para la actividad respiratoria.
El término costilla flotante (latín: costae fluctuantes) o costilla vertebral se refiere a los dos últimos pares de costillas (el once y el doce). La denominación se debe a que están unidos a las vértebras y no al esternón ni a ninguno de los cartílagos costales. Estas costillas son relativamente pequeñas y delicadas, e incluyen una punta cartilaginosa.[3]
Los espacios entre las costillas se conocen como espacios intercostales, los cuales contienen los músculos intercostales intrínsecos y los haces neurovasculares que contienen nervios intercostales, arterias y venas.[4] La superficie de la caja torácica está cubierta por la fascia toracolumbar, que proporciona inserciones externas para los músculos del cuello, la espalda, los pectorales y el abdomen.
-
Caja torácica humana - TC (proyección paralela [izquierda] y proyección en perspectiva [derecha]) -
costillas verdaderas costillas falsas costillas falsas y flotantes
Partes de la costilla

Cada costilla consta de una cabeza, cuello y un cuerpo. Todas las costillas están unidas posteriormente a las vértebras torácicas y se numeran para que coincidan con las vértebras a las que se unen, del uno al doce, de arriba (T1) a abajo. La cabeza de la costilla es la parte final más cercana a la vértebra con la que se articula. Está marcada por una superficie articular en forma de riñón que está dividida por una cresta horizontal en dos regiones articulares. La región superior se articula con la faceta costal inferior en la vértebra superior, y la región más grande se articula con la faceta costal superior en la vértebra con el mismo número. La apófisis transversa de una vértebra torácica también se articula en la faceta costal transversa con el tubérculo de la costilla del mismo número. La cresta da unión al ligamento intraarticular.[5]
El cuello de la costilla es la parte aplanada que se extiende de forma lateral desde la cabeza. El cuello mide aproximadamente 3 cm de largo. Su superficie anterior es plana y lisa, mientras que su posterior está perforada por numerosos forámenes. Su superficie es rugosa para dar inserción al ligamento del cuello y su borde superior posee una cresta rugosa para la inserción del ligamento costotransverso anterior; por otro lado, su borde inferior es redondeado.
En la superficie posterior del cuello, hay una prominencia: el tubérculo. Este consta de una porción articular y una no articular. La porción articular es la más baja y medial de las dos y cuenta con una superficie pequeña y ovalada para la articulación con la faceta costal transversa en el extremo del proceso transverso de la vértebra inferior de las dos a las que está conectada la cabeza. La porción no articular es una elevación rugosa y proporciona inserción al ligamento del tubérculo. El tubérculo es mucho más prominente en las costillas superiores que en las inferiores.
El ángulo de una costilla (ángulo costal) puede referirse tanto a la parte doblada de la misma como a una línea prominente en esta área, un poco adelante del tubérculo. Esta línea está dirigida hacia abajo y lateralmente, lo que proporciona inserción a un tendón del músculo iliocostal. En este punto, la costilla está doblada en dos direcciones y al mismo tiempo torsionada en su eje largo.
La distancia entre el ángulo y el tubérculo es progresivamente mayor desde la segunda hasta la décima costilla. El área entre el ángulo y el tubérculo es redondeada, rugosa e irregular, y sirve para la inserción del músculo longísimo del dorso.
Huesos
Costillas y vértebras
La primera costilla (la superior) es la más curvilínea y, por lo general, su longitud es menor que las demás costillas. Es ancha y plana, sus superficies miran hacia arriba y hacia abajo, y sus bordes hacia dentro y hacia fuera.


La cabeza es pequeña y redondeada, y posee solo una faceta articular para la articulación con el cuerpo de la primera vértebra torácica. El cuello es estrecho y redondeado. El tubérculo, grueso y prominente, se coloca en el borde externo y lleva una pequeña faceta para la articulación con la faceta costal transversa en el proceso transverso de T1. No hay ángulo, pero en el tubérculo, la costilla está ligeramente doblada, con la convexidad hacia arriba, de modo que la cabeza del hueso está dirigida hacia abajo. La superficie superior del cuerpo está marcada por dos surcos poco profundos, separados entre sí por una leve cresta prolongada internamente en un tubérculo, el escaleno, para la inserción del escaleno anterior. El surco anterior transmite la vena subclavia, el posterior la arteria subclavia y el tronco más bajo del plexo braquial. Detrás del surco posterior hay un área rugosa para la inserción del escaleno medial. La superficie inferior es lisa y sin un surco costal. El borde externo es convexo, grueso y redondeado, y en su parte posterior permite la inserción a la primera digito del serrato anterior. El borde interno es cóncavo, delgado y afilado, y está marcado aproximadamente en su centro por el tubérculo escaleno. La extremidad anterior es más grande y gruesa que la de cualquier otra costilla.
La segunda costilla es la segunda costilla más alta en los humanos o la segunda más frontal en los animales que caminan en cuatro extremidades. En los humanos, la segunda costilla se define como una costilla verdadera ya que se conecta con el esternón a través del cartílago costal anterior (en la parte delantera). Posteriormente, la segunda costilla se conecta con la columna vertebral mediante la segunda vértebra torácica. La segunda costilla es mucho más larga que la primera costilla, pero tiene una curvatura muy similar. La porción no articular del tubérculo a veces está solo débilmente marcada. El ángulo es ligero y está ubicado cerca del tubérculo. El cuerpo no está torcido de modo que ambos extremos toquen cualquier superficie plana sobre la que se coloque; sin embargo, hay una curva, con su convexidad hacia arriba, similar, aunque más pequeña que la que se encuentra en la primera costilla. El cuerpo no está aplanado horizontalmente como el de la primera costilla. Su superficie externa es convexa, y mira hacia arriba y un poco hacia afuera; cerca de su centro hay una prominencia rugosa para el origen de la parte inferior del primer y el conjunto de la segunda digito del serrato anterior; detrás y por encima de esto se encuentra el escaleno posterior. La superficie interna, lisa y cóncava, se dirige hacia abajo y ligeramente hacia adentro: En su parte posterior, hay un surco costal corto entre la cresta de la superficie interna de la costilla y el borde inferior, encargado de proteger el espacio intercostal que contiene las venas intercostales, las arterias intercostales y los nervios intercostales.[6][4]
La novena costilla tiene una parte frontal al mismo nivel que la primera vértebra lumbar. Este nivel se denomina plano transpilórico, debido a la presencia del píloro.[7]
La décima costilla se une directamente al cuerpo de la vértebra T10 en lugar de entre las vértebras como las costillas del segundo al noveno. Debido a esta unión directa, la vértebra T10 tiene una faceta costal completa en su cuerpo.[3]

Las costillas undécima y duodécima, las costillas flotantes, tienen una única faceta articular en la cabeza de tamaño considerable. No cuentan con cuellos ni tubérculos, y sus extremos anteriores son puntiagudos. La undécima tiene un ligero ángulo y un surco costal poco profundo, mientras que la duodécima no lo tiene. La duodécima costilla es mucho más corta que la undécima costilla, y solo tiene una faceta articular.[8]
Esternón
El esternón es un hueso largo y plano que forma la parte frontal de la caja torácica. Los cartílagos de las siete primeras costillas (las verdaderas costillas) se unen con el esternón en las articulaciones esternocostales. El cartílago costal de la segunda costilla se une con el esternón en un ángulo que facilita encontrar su posición.[9]
El manubrio es la porción más ancha y superior del esternón. La parte superior del manubrio tiene un borde poco profundo en forma de U llamado escotadura yugular (supraesternal). La escotadura clavicular es la depresión poco profunda ubicada en cada lado en los márgenes superolaterales del manubrio. Este es el sitio de la articulación esternoclavicular, entre el esternón y la clavícula. Las primeras costillas también se unen al manubrio.[10]
El músculo transverso torácico está inervado por uno de los nervios intercostales y se une superiormente en la superficie posterior del esternón inferior. Su inserción inferior es la superficie interna de los cartílagos costales dos a través de seis y funciona para deprimir las costillas.[11]
Desarrollo
La expansión de la caja torácica en los hombres se debe a los efectos de la testosterona durante la pubertad.[12] Por ello, por lo general, los hombres tienen hombros anchos y tórax expandidos, lo que les permite inhalar más aire para suministrar oxígeno a sus músculos.

Variación
El número de costillas puede variar. Una de cada 200-500 personas tienen una costilla cervical adicional, siendo un caso predominante en las mujeres.[13] Las costillas supernumerarias intratorácicas son poco usuales.[14] En ocasiones, la costilla remanente de la 7ª vértebra cervical de uno o ambos lados se sustituye por una costilla adicional libre, denominada costilla cervical, la cual puede interferir de forma mecánica con los nervios (plexo braquial) conectados al brazo.
En varios grupos étnicos, en especial en los japoneses, la décima costilla tiende a ser una costilla flotante, ya que carece de una conexión cartilaginosa con la séptima costilla.[3]
Función

La caja torácica humana es un componente del sistema respiratorio humano, pues encierra la cavidad torácica que contiene los pulmones. Una inhalación se logra cuando el diafragma muscular, en el piso de la cavidad torácica, se contrae y se aplana, mientras que la contracción de los músculos intercostales eleva la caja torácica hacia arriba y hacia afuera.
La expansión de la cavidad torácica se realiza en tres planos: el vertical, el anteroposterior y el transversal. El plano vertical se extiende con la ayuda del diafragma contrayéndose y los músculos abdominales relajándose para acomodar la presión que suministra el diafragma al contenido abdominal al contraerse. Se puede lograr una mayor extensión al moverse el diafragma hacia abajo, en lugar de simplemente aplanar los domos. El segundo plano es el anteroposterior y se expande mediante un movimiento conocido como «bomba de agua»; esto se debe a la naturaleza inclinada de forma horizontal de las costillas superiores. Cuando los músculos intercostales externos se contraen y levantan las costillas, las costillas superiores también pueden empujar el esternón hacia arriba y hacia afuera. Este movimiento aumenta el diámetro anteroposterior de la cavidad torácica y, por lo tanto, ayuda aún más a la respiración. El tercer plano, transversal, se expande principalmente por las costillas inferiores (algunos dicen que son las costillas del 7 al 10 en particular), con el tendón central del diafragma actuando como un punto fijo. Cuando el diafragma se contrae, las costillas pueden evertirse (es decir, girar hacia afuera o del revés) y producir lo que se conoce como movimiento de asa de balde, facilitado por el deslizamiento en las articulaciones costovertebrales. De esta manera, se expande el diámetro transversal y los pulmones pueden llenarse.
El perímetro de la caja torácica humana adulta normal se expande de 3 a 5 cm durante la inhalación.[15]
Importancia clínica
Las fracturas costales son la lesión más común en la caja torácica. Estas afectan con mayor frecuencia a las costillas medias. Cuando varias costillas adyacentes sufren dos o más fracturas cada una, esto puede resultar en una afección potencialmente mortal en el un tórax, como lo es el volet costal.
Una costilla dislocada puede ser dolorosa y puede ser causada simplemente por toser, por traumatismo o por levantar pesos pesados.[16]
Uno o más cartílagos costales pueden inflamarse, lo cual es una afección conocida como costocondritis; el dolor resultante es similar al de un ataque cardíaco.
Las anomalías de la caja torácica incluyen pectus excavatum (tórax en embudo) y pectus carinatum (tórax en quilla). Una costilla bífida es una costilla bifurcada, dividida hacia el extremo esternal, y generalmente afecta solo a una de las costillas de un par. Es un defecto congénito que afecta aproximadamente al 1,2% de la población. Suele ser asintomático, aunque pueden surgir dificultades respiratorias y otros problemas.
La extracción de costillas es la eliminación quirúrgica de una o más costillas por razones terapéuticas o estéticas.
La resección de costillas es la eliminación de parte de una costilla.
Regeneración
A inicios del siglo XX, se ha evaluado la capacidad de las costillas humanas para generarse.[2][5] Sin embargo, los informes científicos que demuestran su regeneración han sido esporádicos y anecdóticos. En la actualidad, los cirujanos craneomaxilofaciales obtienen mejor provecho de este fenómeno, pues utilizan material cartilaginoso y óseo de la costilla para la reconstrucción de la mandíbula, la cara y el oído.[6][8]
El pericondrio es una vaina fibrosa de tejido conectivo vascular que rodea el cartílago de la costilla, que contiene una fuente de células madre progenitoras necesarias para la regeneración de las costillas.[1]
Sociedad y cultura
La posición de las costillas puede ser alterada permanentemente por una forma de modificación corporal llamada corsé, el cual comprime y mueve las costillas.
Las costillas, especialmente sus extremos esternales, se utilizan como una forma de estimar la edad en la patología forense debido a su osificación progresiva.[17]
Historia bíblica
En 1543, el anatomista flamenco Vesalius notó el número de costillas, 24 (12 pares), en su obra clave de anatomía De humani corporis fabrica, lo cual desató una ola de controversia. Debido a la historia bíblica de Adán y Eva, se solía asumir que los hombres tenían menos costillas que las mujeres.[18][19] Sin embargo, solo el 1% de personas tiene la decimotercera o “costilla cervical”,[12] siendo más común de ocurrir en las mujeres que en los hombres.[13]
Otros animales
En herpetología, los surcos costales son hendiduras laterales a lo largo del tegumento de las salamandras. Los surcos se extienden desde la axila hasta la ingle y cada uno se superpone a los septos miotomales para marcar la posición de la costilla interna.[20][21]
Las aves y los reptiles presentan procesos uncinados óseos en las costillas que sobresalen caudalmente de la sección vertical de cada costilla[22] y sirven para fijar los músculos del sacro y también para permitir una mayor inhalación. Los cocodrilos tienen apófisis uncinadas cartilaginosas.
Imágenes adicionales
-
Superficie anterior del esternón y cartílagos costales. -
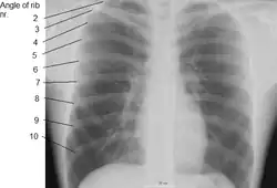
Imagen de rayos X del tórax humano, con las costillas marcadas. -
Simulación 3D de la caja torácica -
Proyecciones superficiales del tronco, incluyendo cada costilla, y el margen costal.
Véase también
Notas
- ↑ a b «The Thoracic Cage · Anatomy and Physiology» (en inglés). Consultado el 10 de marzo de 2019.
- ↑ a b Hyman, Libbie Henrietta (1992). Hyman's Comparative Vertebrate Anatomy (en inglés). University of Chicago Press. p. 230. ISBN 9780226870137. Consultado el 10 de marzo de 2018.
- ↑ a b c Saladin, Kenneth (2010). Anatomy and Physiology: The Unity of Form and Function (en inglés). EEUU: S&P Global. p. 485. ISBN 978-0-07-352569-3.
- ↑ a b Smith, Sarah. «Intercostal spaces | Radiology Reference Article | Radiopaedia.org» (en inglés). radiopaedia.org.
- ↑ a b «Osteology of the thorax» (enlace roto disponible en este archivo).
- ↑ a b Moore, Dalley (2009). Clinically Oriented Anatomy (en inglés) (6 edición). Lippincott, Williams & Wilkins. pp. Agur. ISBN 0-7817-7525-6.
- ↑ Roomans, Godfried; Hjortberg, Mats; Dragomir, Anca (2008). Bålens ytanatomi (surface anatomy) (en inglés). Uppsala: Institution for Anatomy.
- ↑ a b Jung, Jaewoong (4 de septiembre de 2020). «Twelfth rib syndrome: a case report». The Journal of International Medical Research 48 (9). ISSN 0300-0605. PMC 7479855. PMID 32883133. doi:10.1177/0300060520952651.
- ↑ Agur, Anne M.R; Dalley, Arthur F. II (2009). Grant's Atlas of Anatomy, Twelfth Edition (en inglés). Filadelfia, PA: Lippincott Williams and Wilkins. p. 10. ISBN 978-0-7817-7055-2.
- ↑ Betts, J Gordon; Desaix, Peter; Johnson, Eddie; Johnson, Jody E.; Korol, Oksana; Kruse; Poe, Brandon; Wise, James et al. (14 de mayo de 2023). «7.4 The Thoracic Cage». Anatomy & Physiology (en inglés). Houston: Open Stax, Rice University. ISBN 978-1-947172-04-3.
- ↑ Agur, Anne M.R; Dalley, Arthur F. II (2009). Grant's Atlas of Anatomy, Twelfth Edition (en inglés). Filadelfia, PA: Lippincott Williams and Wilkins. p. 21. ISBN 978-0-7817-7055-2.
- ↑ a b «Testosterone causes expansion of rib cage during puberty as one of secondary sex characteristics» (en inglés).
- ↑ a b Kurihara, Y; Yakushiji, YK; Matsumoto, J; Ishikawa, T; Hirata, K (1999). «The Ribs: Anatomic and Radiologic Considerations». RadioGraphics 19 (1). ISSN 1527-1323. PMID 9925395. doi:10.1148/radiographics.19.1.g99ja02105. Consultado el 13 de agosto de 2009.
- ↑ Kamano, H; Ishihama, T; Ishihama, H; Kubota, Y; Tanaka, T; Satoh, K (1 de junio de 2006). «Bifid intrathoracic rib: a case report and classification of intrathoracic ribs». Internal Medicine (en inglés) (The Japanese Society of Internal Medicine) 45 (9): 627-630. PMID 16755094. doi:10.2169/internalmedicine.45.1502.
- ↑ Health & Physical Assessment (en inglés). School of Nursing, Peking University: Mosby-Year Book, inc. 2003.
- ↑ «Anatomy of the Human ribs - Dislocated Rib» (en inglés). 2 de febrero de 2016. Dislocated Rib. Archivado desde el original el 12 de agosto de 2016.
- ↑ Franklin, D (Enero 2010). «Forensic age estimation in human skeletal remains: current concepts and future directions». Legal Medicine (en inglés) 12 (1): 1-7. PMID 19853490. doi:10.1016/j.legalmed.2009.09.001.
- ↑ «Chapter 19 On the Bones of the Thorax». Archivado desde el original el 6 de septiembre de 2007. Consultado el 23 de agosto de 2007.
- ↑ Dresden, Danielle (12 de marzo de 2020). «How many ribs do humans have? Men, women, and anatomy». Medical News Today (en inglés). Consultado el 5 de junio de 2022. «Aunque mucha gente podría pensar que los hombres tienen menos costillas que las mujeres, seguramente a raíz de la historia bíblica de Adán y Eva, no existe ninguna prueba objetiva.»
- ↑ Duellman, W.E; W.E, L (1986). Biology of Amphibians (en inglés). Nueva York: McGraw - Hill Book Company. ISBN 0-8018-4780-X.
- ↑ Petranka, J. W (1998). Salamanders of the United States and Canada (en inglés). Smithsonian Institution Press. ISBN 1-56098-828-2.
- ↑ Kardong, Kenneth V (1995). Vertebrates: comparative anatomy, function, evolution (en inglés). McGraw-Hill. pp. 55, 57. ISBN 0-697-21991-7.
Referencias
- Subit, D; Glacet, A; Hamzah, M; Crandall, J (2015). «Orientation of the intercostal muscle fibers in the human rib cage». Computer Methods in Biomechanics and Biomedical Engineering (en inglés) 18: 2064-2065.
- Keith, L. Moore; Robert, F. Dalley. Clinically Oriented Anatomy (en inglés) (4° edición). pp. 62-64.
- Tortora, G. J; Derrickson, B (2006). Principles of Anatomy Physiology (en inglés) (11° edición). John Wiley and Sons. ISBN 0-471-68934-3.
- Vesalius, Andreas (1543). De Humani Corporis Fabrica (Daniel Garrison y Malcolm Hast, trads.) [On the Fabric of the Human Body] (en inglés).
Enlaces externos
Wikimedia Commons alberga una galería multimedia sobre Caja torácica humana.- Esta obra contiene una traducción total derivada de «Rib cage » de Wikipedia en inglés, concretamente de esta versión, publicada por sus editores bajo la Licencia de documentación libre de GNU y la Licencia Creative Commons Atribución-CompartirIgual 4.0 Internacional.
- «IMAGEN: Thoracic Cage».

