Carcinoma adenoide quístico
| Carcinoma adenoide quístico | ||
|---|---|---|
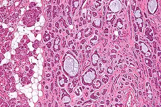
![]() Micrografía de un carcinoma adenoide quístico de una glándula salival (derecha de la imagen). También se ven las glándulas serosas normales, típicas de la glándula parótida (a la izquierda de la imagen). Tinción hematoxilina-eosina. | ||
| Especialidad | oncología | |
El carcinoma adenoide quístico es un tipo de cáncer poco común que puede presentarse en distintos lugares del cuerpo. Este tumor suele aparecer en las glándulas salivales, pero también en otros lugares como la mama,[1][2] glándula lagrimal, pulmón, cerebro, glándula vestibular mayor, tráquea, y los senos paranasales.
Es el tumor maligno de la glándula salival más común (después del carcinoma mucoepidermoide y el adenocarcinoma polimorfo de bajo grado). Representa el 28% de los tumores malignos de las glándulas submandibulares, lo que lo convierte en el tumor maligno más común en esta región. Los pacientes pueden sobrevivir durante años con metástasis debido a que este tumor es generalmente bien diferenciado y de crecimiento lento. En un estudio de 1999[3] de una muestra de 160 pacientes, la supervivencia específica de la enfermedad fue del 89% a los 5 años, pero solo del 40% a los 15 años, lo que refleja muertes por metastásica tardía.
Tratamiento
El principal tratamiento para este cáncer, independientemente de la zona del cuerpo, es la extirpación quirúrgica con bordes limpios. Esta cirugía puede resultar complicada en la región de la cabeza y el cuello debido a la tendencia de este tumor a diseminarse a lo largo de las vías nerviosas. La radioterapia adyuvante o paliativa se aplica habitualmente después de la cirugía. Para los tumores avanzados de las glándulas salivales mayores y menores que no se pueden operar, que son recurrentes, o que presentan residualidad macroscópica después de la cirugía, la terapia con radiación de neutrones se considera la forma de tratamiento más efectiva.[4][5][6][7]
Referencias
- ↑ Marchiò, Caterina; Weigelt, Britta; Reis-Filho, Jorge S. (1 de marzo de 2010). «Adenoid cystic carcinomas of the breast and salivary glands (or ‘The strange case of Dr Jekyll and Mr Hyde’ of exocrine gland carcinomas)». Journal of Clinical Pathology (en inglés) 63 (3): 220-228. ISSN 0021-9746. doi:10.1136/jcp.2009.073908. Consultado el 20 de mayo de 2018.
- ↑ Fusco, Nicola; Guerini-Rocco, Elena; Schultheis, Anne M.; Badve, Sunil S.; Reis-Filho, Jorge S.; Weigelt, Britta (3 de septiembre de 2014). «The Birth of an Adenoid Cystic Carcinoma». International Journal of Surgical Pathology 23 (1): 26-27. ISSN 1066-8969. doi:10.1177/1066896914548795.
- ↑ Fordice, Jim; Kershaw, Corey; El-Naggar, Adel; Goepfert, Helmuth (1 de febrero de 1999). «Adenoid Cystic Carcinoma of the Head and Neck». Archives of Otolaryngology–Head & Neck Surgery (en inglés) 125 (2): 149. ISSN 0886-4470. doi:10.1001/archotol.125.2.149. Consultado el 20 de mayo de 2018.
- ↑ Laramore, G.E. (1987-09). «Fast neutron radiotherapy for inoperable salivary gland tumors: Is it the treatment of choice?». International Journal of Radiation Oncology*Biology*Physics 13 (9): 1421-1423. ISSN 0360-3016. doi:10.1016/0360-3016(87)90240-9. Consultado el 20 de mayo de 2018.
- ↑ Prott, F.J.; Haverkamp, U.; Willich, N.; Wagner, W.; Micke, O.; Pötter, R. (1996-01). «Ten years of fast neutron therapy in Münster». Bulletin du Cancer/Radiothérapie 83: 115s-121s. ISSN 0924-4212. doi:10.1016/0924-4212(96)84895-x. Consultado el 20 de mayo de 2018.
- ↑ Douglas, James G; Laramore, George E; Austin-Seymour, Mary; Koh, Wui-jin; Stelzer, Keith; Griffin, Thomas W (2000-02). «Treatment of locally advanced adenoid cystic carcinoma of the head and neck with neutron radiotherapy». International Journal of Radiation Oncology*Biology*Physics 46 (3): 551-557. ISSN 0360-3016. doi:10.1016/s0360-3016(99)00445-9. Consultado el 20 de mayo de 2018.
- ↑ Breteau, N.; Wachter, T.; Kerdraon, R.; Guzzo, M.; Armaroli, L.; Chevalier, D.; Darras, J.A.; Coche-Dequeant, B. et al. (2000-05). «Utilisation des neutrons rapides dans le traitement des tumeurs des glandes salivaires : rationnel, revue de la littérature et expérience d'Orléans». Cancer/Radiothérapie 4 (3): 181-190. ISSN 1278-3218. doi:10.1016/s1278-3218(00)89092-7. Consultado el 20 de mayo de 2018.
