Carcinoma ductal 'in situ'
| Carcinoma ductal 'in situ' | ||
|---|---|---|
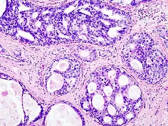
![]() Imagen histopatológica de un carcinoma ductal in situ de mama. | ||
| Especialidad | oncología | |
El carcinoma ductal in situ (CDIS) o carcinoma intraductal es la forma más frecuente de cáncer de mama no invasor en mujeres y se caracteriza por el desarrollo de neoplasias en los conductos mamarios del seno. El término in situ se refiere al hecho de que el tumor no ha salido del conducto ni ha invadido a otros tejidos que rodean al seno.[1]
El comedocarcinoma es una forma de CDIS en el que el tumor forma necrosis central.[2][3][4]
Epidemiología

Desde la aparición y uso de la mamografía, el CDIS se ha convertido en uno de los trastornos mamarios más diagnosticados, ocupando un 20% de los cánceres diagnosticados en los programas de cribado de cáncer de mama.[5] A menudo se le conoce como el estadio 0 del cáncer de mama. En los países en donde la mamografía no es común, el CDIS tiende a ser diagnosticado en etapas más avanzadas y tardías, mientras que con el uso frecuente de la mamografía, se puede diagnosticar un CDIS antes de que llegue a ser una masa palpable en la mama. Aunque el carcinoma ductal in situ es inofensivo de por sí, se ha encontrado evidencias de que en hasta un 2% de los casos pueden aparecer metástasis.[6]
Diagnóstico
El carcinoma ductal 'in situ' (CDIS) se suele descubrir por medio de una mamografía, como una o varias masas calcificadas, denominadas microcalcificaciones. Sin embargo, no todas las microcalcificaciones representan un CDIS, por lo que se requiere confirmación por medio de una biopsia. El CDIS puede ser multifocal y el tratamiento se dirige a la escisión de los elementos anormales del conducto mamario, dejando en el seno solo las regiones libres del carcinoma. A menudo se decide aplicar radioterapia después de la resección del seno.[7] Con el tratamiento adecuado, un CDIS tiene poco riesgo de desarrollarse en un cáncer invasor, un riesgo considerablemente menor aún después de la radioterapia.
Tratamiento
Las pacientes con CDIS tienen dos opciones quirúrgicas, el remover la masa seguida por radioterapia o una mastectomía.[7] En el primer caso, solo se remueve una porción del tejido mamario, la que contiene la masa neoplásica, dejando un anillo de tejido sano a su alrededor. El añadir radioterapia a una extirpación de tumor mamario conlleva un riesgo menor al 20% de recurrencia al cabo de 15 años.[1] Las pacientes con antecedentes familiares de cáncer de mama tienen un riesgo mayor de recurrencia o de cáncer maligno invasor, por lo que se hace una operación mayor o una mastectomía. Otras indicaciones para una mastectomía incluyen:
- Se encuentran dos o más tumores en regiones distintas del seno
- No se puede extirpar el tumor por no lograr márgenes adecuados de tejido sano
- El seno ya ha sido irradiado en el pasado
- El tamaño del tumor es grande en comparación con el tamaño de la mama
- La paciente ha tenido una enfermedad del colágeno, como la escleroderma que pueden complicarse con radioterapia
- La paciente vive en un área geográfica donde la radiación no es accesible
- La paciente sufre de niveles elevados de ansiedad por temor a un cáncer maligno de mama
- Una paciente menor de 40 años que tiene antecedentes familiares de cáncer de mama
Sin tratamiento, aproximadamente el 30% de las pacientes con un carcinoma ductal in situ desarrollarán cáncer de mama invasivo en un promedio de 10 años a partir del diagnóstico inicial.[8]
CDIS posterior[9]
Aunque el CDIS es una forma de cáncer de mama preinvasivo, una pequeña proporción (5-10%) de pacientes con CDIS desarrolla enfermedad invasiva posterior, a pesar del tratamiento. El cáncer posterior puede ser similar al primario y no invasivo, pero también puede ser invasivo.
Algunos datos mostraron que :
- Una gran parte de los casos la recidiva invasiva se relacionó clonalmente con el CDIS inicial : las células tumorales no se eliminaron durante el tratamiento inicial.
- Una parte no tenía relación clonalmente con el CDIS : nuevos linajes independientes.
- Une pequeña parte de los casos eran ambiguos.
Relación clonal entre los CDIS-INV
Varios análisis (Secuenciación del exoma, Número de copia y análisis de mutaciones) han demostrado que la mayoría de los pares de recurrencia CDIS-INV (invasiva) están relacionados clonalmente. Además, las mutaciones compartidas más comunes entre estos CDIS-INV están ocurriendo en los genes TP53 y PIK3CA. Y, se observa ganancias y pérdidas cromosómicas muy similares. Sin embargo, aún no se ha demostrado que estas características comunes sean biomarcadores de cáncer invasivo recurrente.
Relación clonal entre los CDIS-INV y el CDIS primario
CDIS que recidivó como puro
Algunas recidivas puras de CDIS son probablemente CDIS residual que no fue detectada por imágenes convencionales y permaneció in situ después de cirugía.
CDIS que recidivó como invasivo
Algunos comparten características comunes con el CDIS primario.
Referencias
- ↑ a b Instituto Nacional del Cáncer. Carcinoma ductal in situ (en español). Cáncer del seno (mama): Tratamiento (PDQ®). Último acceso 24 de septiembre de 2008.
- ↑ Yale: Cardiothoracic Imaging - Comedocarcinoma of the right breast
- ↑ Definition: comedocarcinoma from Online Medical Dictionary
- ↑ Pathology
- ↑ Ersnter VL, Ballard-Barbash R, Barlow WE, et al. Detection of ductal carcinoma in situ in women undergoing screening mammography. J Natl Cancer Inst 2002; 94:1546–54 [PMID 12381707]
- ↑ Kelly TA, Kim JA, Patrick R, Grundfest S, Crowe JP. Axillary lymph node metastases in patients with a final diagnosis of ductal carcinoma in situ. Am J Surg 2003; 186:368–70 [PMID 14553852]
- ↑ a b HEPP, Rodrigo y BAEZA B, M Ramón. Tratamiento conservador del carcinoma ductal in situ de la mama. Rev. méd. Chile. [online]. nov. 1999, vol.127, no.11 [citado 24 septiembre de 2008], p.1345-1350. Disponible en la World Wide Web: [1]. ISSN 0034-9887.
- ↑ Breast Cancer Network of Strength. «Carcinoma Ductal In Situ». Archivado desde el original el 18 de septiembre de 2008. Consultado el 3 de octubre de 2008.
- ↑ "Genomic analysis defines clonal relationships of ductal carcinoma in situ and recurrent invasive breast cancer", Nature Genetics, June 2022
.jpg)