Cinétida

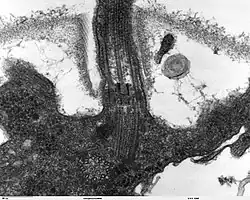
Una cinétida es una estructura celular compuesta por un cilio o flagelo junto con sus cuerpos basales o cinetosomas asociados (que pueden ser uno, dos o más) y sus correspondientes fibrillas y microtúbulos denominados cinetodesmas.[1] Se distinguen monocinétidas o dicinétidas dependiendo si el cilio o flagelo está soportado por uno o dos cinetosomas. Una policinétida es una estructura formada por grupos de cilios que emergen de cinetosomas estrechamente relacionados y que dan lugar a orgánulos tales como membranelas o cirros. Las membranelas son superficies o láminas que se forman mediante la adhesión de varios cilios, mientras que los cirros son racimos de cilios embebidos en una matriz.[2] Por otra parte, una hilera longitudinal de cinétidas se denomina cinetia.
Referencias
- ↑ Pabello, V. M. L. (2006). Atlas de Ciliados Y Otros Microorganismos Frecuentes en Sistemas. UNAM.
- ↑ Romero, H. Q. (1999). Parasitología y enfermedades parasitarias de animales domésticos. Editorial Limusa.