Tumor filoides de la mama
| Cistosarcoma filoides | ||
|---|---|---|
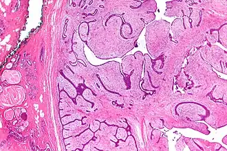
![]() Micrografía de un cistosarcoma filoides (a la derecha de la imagen). | ||
El cistosarcoma o tumor filoides es un tumor predominantemente benigno y raro que ocurre casi exclusivamente en el seno femenino. Su nombre deriva de las palabras griegas sarcoma que es un tumor carnoso y filo que significa hoja. El tumor tiene la apariencia de un gran sarcoma maligno, toma la característica forma de hoja cuando está seccionado y exhibe espacios epiteliales quísticos cuando se ve histológicamente. Debido a que son tumores benignos, el nombre de sarcoma no se emplea con mucha frecuencia, teniéndose preferencia por la terminología tumor filoides.[1]
Histopatología
El tumor filoides es el neoplasia no-epitelial más frecuente en las mamas, pero representa solo un 1% de todos los tumores de la mama. Es un tumor de crecimiento rápido, bajo el microscopio puede ser un tumor de pocos centímetros o bien puede presentar lesiones masivas de hasta 30 cm.[1] El aspecto es carnoso, blanco o grisáceo y firme, lobulado con hendiduras quísticas y áreas de necrosis y hemorragia. Tiene cierto parecido histológico al fibroadenoma, pero luce con mayor celularidad, el epitelio es benigno con un estroma que rodea al epitelio de características atípicas e hipercelular.[2]
Referencias
- ↑ a b Lannin, Donald R; Anastasios K Konstantakos; John H Raaf (junio de 2006). «Cystosarcoma Phyllodes». Infectious Diseases (en inglés). eMedicine.com. Consultado el 3 de octubre de 2008.
- ↑ American Cancer Society ¿Qué es? Cáncer de seno Archivado el 2 de diciembre de 2008 en Wayback Machine. (en español). Septiembre de 2008.
