Colecistitis
| Colecistitis | ||
|---|---|---|
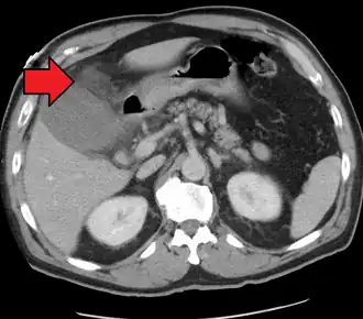
![]() Colecistitis aguda como se ve en la TC. Obsérvese la acumulación de grasa alrededor de la vesícula biliar agrandada. | ||
| Especialidad |
gastroenterología cirugía general | |
| Síntomas | Dolor intenso en la parte superior derecha del abdomen, náuseas, vómitos, fiebre | |
| Causas | Cálculos biliares | |
| Factores de riesgo | Píldoras anticonceptivas, embarazo, antecedentes familiares, obesidad, diabetes, enfermedad hepática, pérdida de peso rápida | |
| Tratamiento | Cirugía de extracción de vesícula biliar, drenaje de vesícula biliar.[1] | |
La colecistitis es una inflamación de la pared de la vesícula biliar. El proceso inflamatorio una vez iniciado genera cambios notorios a nivel microscópico y macroscópico que evolucionan desde una simple congestión, pasan por una fase de supuración, otra de gangrenación y otra de perforación. Resulta todo una consecuencia de la respuesta inflamatoria que se genera. Y esta comienza con el infiltrado celular, la extravasación de líquido y la consecuencia fisiológica que puede ser curación espontánea o formación de absceso y aparición de complicaciones como sepsis, perforación, formación de un plastrón (raro) y fístula. La colecistitis se debe en la gran mayoría de los casos (95 %) a la presencia de cálculos en el interior del órgano, que terminan ocluyendo el conducto cístico, que desemboca en el colédoco.
Anatomía

La vesícula biliar es un reservorio o bolsa que se localiza en el lado derecho de la región hepática. Se constituye por 4 regiones conocidas como cuerpo, fondo, cabeza y cuello. Tiene un tamaño aproximado de 10×5×4 cm. Desemboca en el conducto cístico (que al unirse con el conducto hepático da lugar al colédoco), que mide entre 2-5 cm, con un diámetro aproximado de 5 mm. La vesícula biliar, con forma de pera, puede contener hasta 50 ml de bilis. El peritoneo rodea completamente el fondo de la vesícula biliar y une su cuerpo y su cuello al hígado. La cara hepática de la vesícula biliar se une al hígado mediante tejido conectivo de la cápsula fibrosa del hígado.
Causas
La colecistitis aguda puede ser litiásica, cuando se genera por la impactación de un cálculo en algún sitio del sistema de drenaje de bilis y alitiásica cuando la anatomopatología no exhibe cálculo. Esta es más compleja de explicar, de entender y de diagnosticar, ya que sus causas obedecen fundamentalmente a virus como es el caso del virus de Epstein-Barr, la familia Herpesviridae, o a bacterias como el género Salmonella, entre otras.
La colecistitis crónica obedece en su gran mayoría a la presencia de un cálculo incapaz por su tamaño de impactar contra el conducto. Se abre paso a la horadación constante de la mucosa, con la consecuencia siempre clásica, de lo que sucede cuando un tejido es sometido a un daño cronificado: a saber la patología neoplásica.
Epidemiología
Existe una mayor incidencia en mujeres que en hombres, llegando en algunos países en 10:1 mujeres:hombres. Las edades con mayor predominio son de 20 a 40 años. Se consideran factores predisponentes el hecho de ser mujer, esto debido a las hormonas estrogénicas, ya que estas aumentan las proteínas de baja densidad (LDL, por sus siglas en inglés) al igual que las proteínas de muy baja densidad (VLDL) y el colesterol en la bilis y disminuyen dentro del mismo la concentración de ácidos y sales biliares lo que facilita la formación de litos dentro de la vesícula. Debido a los niveles de hormonas estrogénicas que se presentan en el embarazo el hecho de que las mujeres sean multíparas (o multigestas) se considera como un factor de riesgo al igual que el sobrepeso, ya que el perfil lipídico en estas pacientes suele ser más alto.
Cuadro clínico
Se caracteriza por dolor en región de cuadrante superior derecho del abdomen, el cual puede ser de moderado a intenso, tipo cólico o punzante. El dolor aumenta con la ingesta de alimentos muy condimentados, irritantes, grasas, café, chocolate; y disminuye con la deambulación y el ayuno (en algunas ocasiones).
Este dolor puede tener una duración mínima de 5 a 10 minutos o durar varias horas. En muchas de las ocasiones este dolor se puede irradiar a la espalda o hacia el hombro derecho. La intensidad del dolor y su duración no es proporcional al grado de lesión o afectación. En algunas ocasiones se suele acompañar de descargas vagales o adrenérgicas, que se manifiestan por sudoración fría excesiva, náuseas, y vómitos de contenido gástrico.
Exploración física
Se encuentra paciente diaforético con facies dolorosa, encontrándose en la mayoría de las ocasiones con distensión abdominal, doloroso a la palpación del cuadrante superior derecho del abdomen. A la palpación se obtiene un signo clásico, el signo de Murphy: dolor de aparición abrupta al presionar con el dedo en el punto de Murphy, punto localizado en el reborde costal y que pasa por la línea hemiclavicular derecha.
Diagnóstico
La colecistitis aguda suele producir dolor en cuadrante superior derecho persistente, típico en la exploración física por el médico. Puede acompañarse de náuseas, vómitos e inquietud. En caso de infección, suele aparecer fiebre, malestar general e ictericia (no siempre está presente, la coloración amarilla típica de la piel y las membranas en la ictericia se acompaña de orinas más oscuras y de heces blandas de color claro).
Junto a la historia clínica y la exploración física, el diagnóstico suele confirmarse mediante la ecografía abdominal. Actualmente es muy frecuente, ante la clara sospecha de litiasis biliar, la realización de la ecografía por laparoscopia intraoperatoria, que permite la extirpación de la vesícula biliar si se confirma el diagnóstico en la misma operación.
El dolor referido al hombro derecho en los procesos agudos hepatobiliares y postcirugía laparoscópica se explica por la irritación del peritoneo de la región afectada. Este se encuentra inervado por el nervio frénico (que inerva al músculo diafragma) originado en el plexo cervical (III a IV) el que también origina nervios sensitivos y motores para la región del hombro. Este síntoma también suele verse en el embarazo ectópico por irritación de la sangre en el espacio subfrénico. Algo similar puede encontrarse en las pancreatitis agudas con dolor referido al hombro izquierdo (signo de Von Eisemberg).
En casos en los que mediante la ecografía no es posible confirmar el diagnóstico, puede ser necesario realizar otras pruebas complementarias como el estudio con contraste de las vías biliares (colangiografía) y CPRE (Colangiopancreatografía Retrógrada Endoscópica) tipo de endoscopia en el cual se pasa a través del esfínter de Oddi para observar la vesícula biliar y el páncreas.[2]
Complicaciones
Entre las complicaciones más frecuentes tenemos a:
- Fístulas externas e internas
- Ileo biliar
- Pancreatitis aguda
- Vesícula perforada
- Piocolecisto
- Hidrocolecisto
- Peritonitis localizada (Absceso subfrénico)
- Peritonitis generalizada
- Empiema vesicular
Tratamiento
El tratamiento definitivo de la colecistitis es una intervención quirúrgica, llamada colecistectomía; existen dos tipos, la abierta y la laparoscópica. La laparoscópica es preferente, ya que tiene una recuperación más rápida que con la abierta, debido a que solo son de tres a cuatro incisiones pequeñas en el abdomen; quedando puertos quirúrgicos, mas no una herida quirúrgica de gran tamaño y la colocación de un drenaje (penrose) en un ojal cutáneo al costado de la herida quirúrgica, haciendo esto para prevenir abscesos.
El momento de realizar dicho tratamiento suele depender del tiempo de evolución del cuadro clínico. Una colecistitis aguda de menos de 48 horas de evolución puede ser de urgencia, mientras que si lleva ya más de 48 horas se realiza cirugía diferida a los 3-4 meses con tratamiento médico y controles, siguiendo una dieta baja en grasas.
El tratamiento médico es terapia antibiótica y analgésica.
Referencias
- ↑ Patel, Purvi P.; Daly, Shaun C.; Velasco, Jose M. (18 de octubre de 2015). «Training vs practice: A tale of opposition in acute cholecystitis». World Journal of Hepatology (en inglés) 7 (23): 2470-2473. doi:10.4254/wjh.v7.i23.2470. Consultado el 16 de noviembre de 2022.
- ↑ Schumperlik V.et al., The Surgical Clinics of NA, 80:213,2000
Enlaces externos
- En Epistemoikos hay más información sobre Colecistitis.
