Colestasis
| Colestasis | ||
|---|---|---|
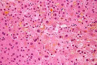
![]() Micrografía a gran aumento que muestra la bilis (en color amarillo) en estasis, es decir, colestasis. Tinción hematoxilina-eosina. | ||
| Especialidad | gastroenterología | |
| Sinónimos | ||
| Estasis biliar | ||
La colestasis o colestasia[1] (del gr. χολή, bilis; y στάσις, detención) es la detención del flujo de bilis hacia el duodeno. Independientemente de la causa que lo produzca o el nivel de la vía biliar en el que se halle la disfunción, el signo más frecuente de los pacientes con colestasis es la ictericia o coloración amarilla de piel y mucosas.
Etiología
Las causas de colestasis son muy variadas, y se pueden agrupar según el mecanismo fisiopatológico que la produce: compresión extrínseca, intrínseca, malformaciones congénitas, alteraciones en el metabolismo de la bilis, fármacos, etc.
La colestasis extrahepática ocurre por fuera del hígado y puede ser provocada por:
- Tumores de las vías biliares
- Quistes
- Estrechamiento de la vía biliar (estenosis)
- Cálculos en el conducto colédoco
- Pancreatitis
- Tumores o seudoquistes pancreáticos
- Presión sobre las vías biliares debido a una masa o tumor cercano
- Colangitis esclerosante primaria
La colestasis intrahepática ocurre dentro del hígado y puede ser causada por:
- Hepatopatía alcohólica
- Amiloidosis
- Absceso bacteriano en el hígado
- Alimentación exclusivamente por vía intravenosa (IV)
- Linfoma
- Embarazo
- Cirrosis biliar primaria
- Colangitis esclerosante primaria
- Sarcoidosis
- Infecciones graves que se han diseminado a través del torrente sanguíneo (sepsis)
- Tuberculosis
- Hepatitis viral
Ciertos medicamentos también pueden causar colestasis, por ejemplo:
- Antibióticos como ampicilina y otras penicilinas
- Esteroides anabólicos
- Píldoras anticonceptivas
- Clorpromazina
- Cimetidina
- Estradiol
- Imipramina
- Proclorperazina
- Terbinafina
- Tolbutamida
Cuadro clínico
El principal y más precoz signo de colestasis es la ictericia. No obstante, en casos más avanzados la bilirrubina se deposita en la piel produciendo un intenso picor generalizado denominado prurito. Este prurito puede ser sumamente incapacitante, y requerir tratamiento per se además del propio de la enfermedad causante; los fármacos más usados son la colestiramina y el ácido ursodeoxicólico.
Otros signos producidos son la coluria: orinas oscuras (descritas clásicamente como «color coca-cola») por aumento en la excreción urinaria de bilis para compensar su aumento en sangre; y la acolia, o heces de color blanco por carecer de bilirrubina, principal problema, es el aumento en la producción de biliverdina.
Parámetros bioquímicos

El reflujo de la bilis hacia el hígado produce múltiples alteraciones, entre ellas, la elevación de algunas enzimas cuyos niveles se pueden medir en sangre. Así, en la analítica sanguínea observamos lo que se denomina patrón colestático, esto es, aumento de los niveles de bilirrubina, fosfatasa alcalina (FA), 5' Nucleotidasa y gamma glutamil transpeptidasa (GGT). La elevación de la FA y la GGT con bilirrubina normal se denomina colestasis disociada, y es característico de las fases iniciales de colestasis, y de determinadas situaciones, como tumores o colestasis intrahepáticas crónicas, como Colangitis Esclerosante Primaria (CEP) y Colangitis Biliar Primaria (CBP).
El término patrón colestático se utiliza en contraposición al de patrón citolítico, correspondiente a la elevación de los niveles séricos de enzimas hepáticas (GOT y GPT), producidos por la destrucción de los hepatocitos.
Tratamiento
Inicialmente hay que tratar la causa que origine la colestasis. Además se realiza tratamiento sintomático, para el prurito se utiliza la colestiramina y el ácido ursodeoxicólico.
Véase también
Referencias
- ↑ Dr. Luigi Accatino, Apuntes de Fisiopatología de Sistemas - Fisiopatología de la colestasia e hiperbilirrubinemia Archivado el 16 de junio de 2013 en Wayback Machine., Escuela de Medicina, Pontificia Universidad Católica de Chile, 2001
Enlaces externos
Wikimedia Commons alberga una categoría multimedia sobre Colangiografías de cálculos biliares.- Colestasis
