Colitis
| Colitis | ||
|---|---|---|
![]() | ||
| Especialidad | Gastroenterología | |
| Síntomas | Dolor abdominal, diarrea acuosa, fiebre y, en ocasiones, sangre en las heces[1] | |
La colitis es una inflamación del colon. La colitis puede ser aguda y autolimitada o a largo plazo. Se ajusta ampliamente a la categoría de enfermedades digestivas.[1]
En un contexto médico, la etiqueta colitis (sin calificación) se usa si:
- La causa de la inflamación en el colon es indeterminada; por ejemplo, la colitis se puede aplicar a la enfermedad de Crohn en un momento en que se desconoce el diagnóstico, o
- El contexto es claro; por ejemplo, un individuo con colitis ulcerosa está hablando sobre su enfermedad con un médico que conoce el diagnóstico.
Signos y síntomas
Los signos y síntomas de la colitis son bastante variables y dependen de la causa de la colitis dada y de los factores que modifican su curso y gravedad.
Los síntomas comunes de la colitis pueden incluir: dolores abdominales leves a severos (según la etapa de la enfermedad), diarrea hemorrágica persistente con pus presente o ausente en las heces, incontinencia fecal, flatulencia, fatiga, pérdida de apetito y pérdida de peso inexplicable[2]
Los síntomas más graves pueden incluir: dificultad para respirar, latidos cardíacos rápidos o irregulares y fiebre.[2]
Otros síntomas inespecíficos menos comunes o raros que pueden acompañar a la colitis incluyen: artritis, úlceras bucales, piel dolorosa, enrojecida e inflamada e irritación, ojos inyectados en sangre.[2]
Los signos observados en la colonoscopia incluyen: eritema de la mucosa del colon (enrojecimiento de la superficie interna del colon), ulceraciones y hemorragia.
Diagnóstico
Los síntomas sugestivos de colitis se analizan mediante la obtención de la historia clínica, un examen físico y pruebas de laboratorio (CBC, electrolitos, cultivo y sensibilidad de las heces, óvulos y parásitos, etc.). Las pruebas adicionales pueden incluir imágenes médicas (por ejemplo, tomografía axial computarizada abdominal, radiografía abdominal) y un examen con una cámara insertada en el recto (sigmoidoscopia, colonoscopia).
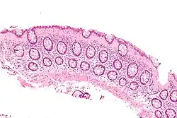
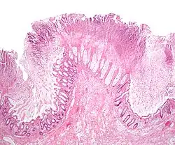
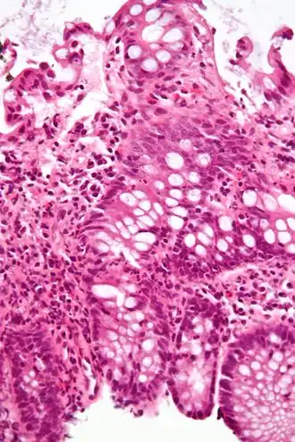
Una investigación importante en la evaluación de la colitis es la biopsia. Se extrae una muestra muy pequeña de tejido (generalmente de unos 2 mm) de la mucosa intestinal durante la endoscopia y un histopatólogo la examina al microscopio. Puede proporcionar información importante sobre la causa de la enfermedad y el alcance del daño intestinal.
Tipos
Existen muchos tipos de colitis. Generalmente, se clasifican por la causa.
Los tipos de colitis incluyen:



Autoinmune[3]
- Enfermedad inflamatoria intestinal (EII): un grupo de colitis crónicas.
- Colitis ulcerosa (CU): una colitis crónica que afecta el intestino grueso.
- Enfermedad de Crohn (EC): otro tipo de EII que a menudo conduce a colitis.
Desconocido
- Colitis microscópica: una colitis diagnosticada por examen microscópico de tejido colónico; macroscópicamente aparece normal.
Causada por el tratamiento
- Colitis de derivación
- Colitis química
- Colitis inducida por quimioterapia
- Colitis por radiación
Enfermedad vascular
Infeccioso
- Colitis infecciosa
Un subtipo de colitis infecciosa es la colitis por Clostridium difficile,[4] que se abrevia informalmente como «colitis por C-diff». Clásicamente, forma pseudomembranas y a menudo se le conoce como colitis pseudomembranosa, que es su descripción histomorfológica (no específica).
La colitis enterohemorrágica puede ser causada por la toxina Shiga en Shigella dysenteriae o el grupo Shigatoxigenic de Escherichia coli (STEC), que incluye el serotipo O157:H7 y otras E. coli enterohemorrágica así como por Yersinia enterocolíticas.[5][6]
Las infecciones parasitarias, como las causadas por Entamoeba histolytica, también pueden causar colitis.
Colitidas inclasificables
La colitis indeterminada es la clasificación para la colitis que tiene características tanto de la enfermedad de Crohn como de la colitis ulcerosa.[7] El comportamiento de la colitis indeterminada suele estar más cerca de la colitis ulcerosa que la enfermedad de Crohn.[8]
La colitis atípica es una frase que los médicos usan ocasionalmente para una colitis que no cumple con los criterios para los tipos aceptados de colitis. No es un diagnóstico aceptado per se y, como tal, una colitis que no puede clasificarse definitivamente.
Diagnóstico diferencial[1]
- Síndrome del intestino irritable
- Enfermedad celíaca (los pacientes con enfermedad celíaca que han seguido teniendo deposiciones acuosas a pesar de seguir una dieta estricta sin gluten deben ser investigados para detectar colitis microscópica)
- Cáncer colorrectal
- Diverticulitis
- Megacolon tóxico
- Gastroenteritis viral/bacteriana
- Otros tipos de colitis
Tratamiento
- No todas las colitis infecciosas requieren terapia con antibióticos.[1] Las infecciones leves con C. jejuni o Salmonella no necesitan tratamiento con antibióticos porque, en general, la infección es autolimitada. El tratamiento con antibióticos de quinolonas se reserva para pacientes con diarrea y fiebre alta que sugieran bacteriemia. Los pacientes con inmunosupresión, con SIDA, cáncer, trasplantados, con implantes protésicos, valvulopatías cardíacas o mayores de 65 años, requerirán terapia con antibióticos. Para los casos leves a moderados de infección por C. difficile, el metronidazol es el tratamiento de elección. En casos graves de C. difficile se recomienda la vancomicina, y en casos más complicados la asociación de vancomicina y metronidazon. El tratamiento de la colitis por citomegalovirus se trata con valganciclovir.[9]
- Los fármacos de ácido paraaminosalicílico (5-ASA) son el tratamiento estándar en la colitis ulcerosa. Los inmunomoduladores, que incluyen azatioprina, 6-mercaptopurina y el metotrexato, son el tratamiento estándar de mantenimiento para pacientes con enfermedad de Crohn leve a moderadamente grave y colitis ulcerosa recurrente con frecuencia en los que fallaron los fármacos 5-ASA. Las terapias biológicas, el factor de necrosis tumoral, como infliximab y adalimumab están disponibles para el manejo de la enfermedad de Crohn, para controlar la enfermedad y mantenerla a largo plazo. Los corticosteroides son eficaces para reducir la remisión de la enfermedad inflamatoria intestinal. Sin embargo, no se recomiendan para la terapia de mantenimiento y están asociados con efectos secundarios graves. Se recomienda la cirugía en pacientes que no responden a la terapia médica.
- En la colitis microscópica, la interrupción de cualquier medicamento ofensivo y el abandono del hábito de fumar son vitales. Si bien los medicamentos antidiarreicos, el subsalicilato de bismuto o la colestiramina pueden ayudar, la budesónida es eficaz para inducir la remisión y debe ser el medicamento inicial.[10] Pacientes en los que la terapia con budesonida no es factible, el salicilato de bismuto o la mesalazina son una opción.
- En pacientes con colitis isquémica sin signos peritoneales, el tratamiento médico puede emplearse de forma segura, incluida la reposición con líquidos por vía intravenosa, la optimización del gasto cardíaco, el uso de suplementos de oxígeno, el reposo del intestino, la nutrición parenteral, el uso de antibióticos de amplio espectro para cubrir tanto aeróbicos como bacterias coliformes anaeróbicas y seguimiento estrecho.[11] El fracaso del tratamiento médico y el desarrollo de signos peritoneales o perforación intestinal requiere una intervención quirúrgica y una resección intestinal.
- En la colitis tuberculosa se recomienda el tratamiento antituberculoso con isoniacida, rifampicina, pirazinamida y etambutol durante 2 meses, seguido de isoniazida y rifampicina durante 7 meses. La duración del tratamiento es de nueve meses y se debe realizar un seguimiento periódico para evaluar su respuesta al tratamiento.
Además, varios estudios han encontrado recientemente una relación significativa entre la colitis y la alergia a la leche (incluyendo: leche de vaca, leche de vaca UHT y caseína),[12][13][14][15] sugiere que algunos pacientes pueden beneficiarse de una dieta de eliminación.
Referencias
- ↑ a b c d Azer, Samy A.; Sun, Yan (2021). Colitis. StatPearls Publishing. Consultado el 29 de octubre de 2021.
- ↑ a b c Choices, NHS. «Ulcerative colitis - Symptoms - NHS Choices». www.nhs.uk. Consultado el 3 de noviembre de 2015.
- ↑ «Colitis ulcerativa: MedlinePlus enciclopedia médica». medlineplus.gov. Consultado el 29 de octubre de 2021.
- ↑ «Clostridium Difficile Colitis – Overview». WebMD, LLC. Consultado el 15 de septiembre de 2006.
- ↑ Beutin L (2006). «Emerging enterohaemorrhagic Escherichia coli, causes and effects of the rise of a human pathogen». J Vet Med B Infect Dis Vet Public Health 53 (7): 299-305. PMID 16930272. doi:10.1111/j.1439-0450.2006.00968.x.
- ↑ Norrito, Rosario Luca; Pintus, Chiara; Cataldi, Marco; Del Cuore, Alessandro; Daidone, Mario; Vassallo, Valerio; Puleo, Maria Grazia; Di Chiara, Tiziana et al. (2 de junio de 2021). «A case of infective colitis due to Yersinia enterocolitica complicated by microliver abscesses mimicking multiple liver occult metastases: a case report». BMC Infectious Diseases 21: 517. ISSN 1471-2334. PMC 8173975. PMID 34078290. doi:10.1186/s12879-021-06177-6. Consultado el 29 de octubre de 2021.
- ↑ Romano, C.; Famiani, A.; Gallizzi, R.; Comito, D.; Ferrau', V.; Rossi, P. (Dec 2008). «Indeterminate colitis: a distinctive clinical pattern of inflammatory bowel disease in children.». Pediatrics 122 (6): e1278-81. PMID 19047226. doi:10.1542/peds.2008-2306.
- ↑ Melton, GB.; Kiran, RP.; Fazio, VW.; He, J.; Shen, B.; Goldblum, JR.; Achkar, JP.; Lavery, IC. et al. (Jul 2009). «Do preoperative factors predict subsequent diagnosis of Crohn's disease after ileal pouch-anal anastomosis for ulcerative or indeterminate colitis?». Colorectal Dis 12 (10): 1026-32. PMID 19624520. doi:10.1111/j.1463-1318.2009.02014.x.
- ↑ Tortora, A.; Purchiaroni, F.; Scarpellini, E.; Ojetti, V.; Gabrielli, M.; Vitale, G.; Giovanni, G.; Gasbarrini, A. (2012-11). «Colitides». European Review for Medical and Pharmacological Sciences 16 (13): 1795-1805. ISSN 1128-3602. PMID 23208963. Consultado el 30 de octubre de 2021.
- ↑ Nguyen, Geoffrey C.; Smalley, Walter E.; Vege, Santhi Swaroop; Carrasco-Labra, Alonso; Flamm, Steven L.; Gerson, Lauren; Hirano, Ikuo; Rubenstein, Joel H. et al. (1 de enero de 2016). «American Gastroenterological Association Institute Guideline on the Medical Management of Microscopic Colitis». Gastroenterology (en inglés) 150 (1): 242-246. ISSN 0016-5085. doi:10.1053/j.gastro.2015.11.008. Consultado el 30 de octubre de 2021.
- ↑ Washington, Christopher; Carmichael, Joseph C. (2012-12). «Management of Ischemic Colitis». Clinics in Colon and Rectal Surgery 25 (4): 228-235. ISSN 1531-0043. PMC 3577613. PMID 24294125. doi:10.1055/s-0032-1329534. Consultado el 30 de octubre de 2021.
- ↑ Yang M (2015). «Effectiveness of dietary allergen exclusion therapy on eosinophilic colitis in chinese infants and young children ≤ 3 years of age.». Nutrients 7 (3): 1817-1827. PMC 4377883. PMID 25768952. doi:10.3390/nu7031817.
- ↑ Lucendo A (2015). «Systematic Review: The Efficacy of Dietary Treatment for Inducing Disease Remission in Eosinophilic Gastroenteritis.». J Pediatr Gastroenterol Nutr 61: 56-64. PMID 25699593. doi:10.1097/MPG.0000000000000766.
- ↑ Judaki A (2014). «Evaluation of dairy allergy among ulcerative colitis patients.». Bioinformation 10: 693-6. PMC 4261114. PMID 25512686. doi:10.6026/97320630010693.
- ↑ Sun J (2015). «Association of lymphocytic colitis and lactase deficiency in pediatric population.». Pathol Res Pract 211 (2): 138-144. PMID 25523228. doi:10.1016/j.prp.2014.11.009.
Enlaces externos
- En Epistemoikos hay más información sobre Colitis.
