Conducto (anatomía)
En anatomía y fisiología, un conducto es un canal circunscrito que sale de una glándula exocrina u órgano. También puede referirse a un segmento de un órgano con una pared revestida de células epiteliales y que encierra una luz.[1]
| Conducto | ||
|---|---|---|
![]() Disección de una mama lactante. 1 - Grasa 2 - Conducto galactóforo/lobulillo 3 - Lobulillo 4 - Tejido conjuntivo 5 - Seno del conducto galactóforo 6 - Conducto galactóforo | ||
![]() Sección del esófago humano moderadamente ampliada. La sección es transversal y desde cerca de la mitad de la garganta. a. Adventicia. b. Fibras divididas de capa muscular longitudinal. c. Fibras musculares transversales. d. Submucosa o capa areolar. e. Muscularis mucosae. f. Membrana mucosa, con vasos y parte de un nódulo linfoide. g. Revestimiento epitelial estratificado. h. Glándula mucosa. i. Conducto glandular. m’. Fibras musculares estriadas transversales. | ||
| Nombre y clasificación | ||
| Sinónimos |
| |
|
| ||
Tipos de conductos
Ejemplos incluyen:
| Conducto | De | A | Lleva |
|---|---|---|---|
| Conducto lactífero | Glándula mamaria | Pezón | Leche |
| Conducto cístico | Vesícula biliar | conducto biliar común | Bilis |
| Conducto hepático común | Hígado | conducto biliar común | Bilis |
| Conducto biliar común | Conducto hepático común y conducto cístico | Conducto pancreático | Bilis |
| Conducto pancreático | Páncreas | ampolla hepatopancreática | Enzimas biliares y pancreáticas |
| Ducto eyaculador | Conducto deferente | Uretra | Semen |
| Conducto parotídeo | Glándula parótida | Boca | Saliva |
| Conducto submandibular | Glándula submandibular | Boca | Saliva |
| Conducto sublingual principal | Glándula sublingual | Boca | Saliva |
| Conductos de bartolino | Glándulas de Bartolino | Vulva | Fluido de Bartolino |
| Acueducto cerebral | Cuarto ventrículo | Tercer ventrículo | Fluido cerebroespinal |
Sistema de conductos
A medida que los conductos viajan desde el ácino que genera el líquido hasta el objetivo, los conductos se agrandan y el epitelio se vuelve más grueso. Las partes del sistema se clasifican de la siguiente manera:
| Tipo de conducto | Epitelio | Alrededores |
| Conducto intralobulillar | Cúbico simple | Parénquima |
| Conducto interlobulillar | Columnar simple | Tejido conectivo |
| conducto interlobular | Columnar estratificado | Tejido conectivo |
Algunas fuentes consideran que los conductos "lobares" son lo mismo que los "conductos interlobares", mientras que otras consideran que los conductos lobares son más grandes y más distales al acino. Para las fuentes que hacen la distinción, es más probable que los conductos interlobares se clasifiquen con epitelio columnar simple (o epitelio seudoestratificado), reservando el columnar estratificado para los conductos lobares.
-
Sección de glándula submaxilar. Conducto semidiagramático. 200x. -
Sección de una porción de mama.
Conducto intercalado
| Conducto intercalado (conductos de Boll) | ||
|---|---|---|
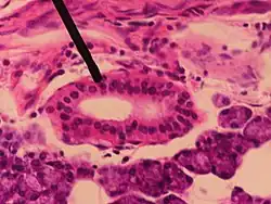
![]() Sección de páncreas. X 250. (Conductos intercalados visibles pero no rotulados.) | ||
![]() Células centroacinares | ||
| Información anatómica | ||
| Parte de | Glándulas exocrinas | |
|
| ||
El conducto intercalado, también llamado conducto intercalar (conductos de Boll), es la porción de una glándula exocrina que conduce directamente desde el ácino a un conducto estriado. El conducto intercalado forma parte del conducto intralobulillar. Este conducto tiene el epitelio más delgado de cualquier parte del sistema de conductos, y el epitelio generalmente se clasifica como cuboideo simple "bajo".[2]
Se encuentran tanto en el páncreas[3][4] como en las glándulas salivales.[5][6]
Conducto estriado
Un conducto estriado (conductos de Pflüger) es un conducto glandular que conecta un conducto intercalado con un conducto interlobulillar. Se caracteriza por los pliegues basales de su membrana plasmática, característicos de la actividad de bombeo de iones de las numerosas mitocondrias. Junto con los conductos intercalados, funcionan para modificar el fluido salival al secretar HCO3− y K+ y reabsorber Na+ y Cl− usando la bomba Na-K y la bomba Cl-HCO3, lo que hace que la saliva sea hipotónica.
Su epitelio puede ser cúbico simple o columnar simple.[7]
Los conductos estriados forman parte de los conductos intralobulillares.
Se encuentran en la glándula submandibular,[8] conducto sublingual y la glándula parótida, pero están más desarrollados en la glándula parótida.[9]
No están presentes en el páncreas.
Conducto intralobulillar
Un conducto intralobulillar es la porción de una glándula exocrina dentro de un lobulillo, que conduce directamente desde el ácino a un conducto interlobulillar (entre los lobulillos). Se compone de dos subdivisiones, el conducto intercalado y el conducto estriado.
En la glándula mamaria humana, el conducto intralobulillar es una parte del sistema glandular que reside dentro de los lobulillos. Los lobulillos contienen grupos de conductos cuyos alvéolos secretores son drenados por el conducto intralobulillar. Los conductos intralobulillares suelen estar revestidos por células epiteliales cuboidales simples que también están revestidas por células mioepiteliales.
Los conductos intralobulillares de los lobulillos drenan en los conductos interlobulillares entre los lobulillos.
Se pueden ver en:
Véase también
Referencias
- ↑ «Foundational Model of Anatomy - Duct - Classes | NCBO BioPortal». bioportal.bioontology.org. Consultado el 1 de noviembre de 2022.
- ↑ «Histology of Glands». Southern Illinois University. Consultado el 23 de mayo de 2011.
- ↑ «Slide at uottawa.ca». Archivado desde el original el 19 de septiembre de 2004. Consultado el 29 de mayo de 2019.
- ↑ a b Nosek, Thomas M. «Section 6/6ch4/s6ch4_17». Essentials of Human Physiology. Archivado desde el original
|urlarchivo=requiere|url=(ayuda) el 24 de marzo de 2016. Consultado el 1 de noviembre de 2022. - ↑ «Slide at usc.edu». Archivado desde el original el 5 de mayo de 2007. Consultado el 29 de mayo de 2019.
- ↑ Nosek, Thomas M. «Section 6/6ch4/s6ch4_4». Essentials of Human Physiology. Archivado desde el original
|urlarchivo=requiere|url=(ayuda) el 24 de marzo de 2016. Consultado el 1 de noviembre de 2022. - ↑ SIU SOM Histology GI
- ↑ «Histology at umdnj.edu». Archivado desde el original el 30 de diciembre de 2006. Consultado el 29 de mayo de 2019.
- ↑ «Oral histology at usc.edu». Archivado desde el original el 5 de mayo de 2007. Consultado el 29 de mayo de 2019.
- ↑ Overview in pancreas at downstate.edu
- ↑ «Slide at uottawa.ca». Archivado desde el original el 17 de febrero de 2007. Consultado el 29 de mayo de 2019.
- ↑ «Slide at uiowa.edu». Archivado desde el original el 4 de septiembre de 2006. Consultado el 29 de mayo de 2019.



