Córtex del cíngulo anterior
| Córtex del cíngulo anterior | ||
|---|---|---|
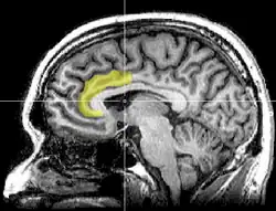
![]() Superficie medial del hemisferio cerebral izquierdo, con el cíngulo anterior resaltado. | ||
![]() Superficie medial del hemisferio derecho, con las áreas de Brodmann numeradas. | ||
| Latín | Cortex cingularis anterior | |
| Enlaces externos | ||
| NeuroLex ID | Anterior cingulate cortex | |
| NeuroNames | hier | |
El córtex del cíngulo anterior (CCA) o circunvolución del cíngulo anterior es la parte frontal de la circunvolución del cíngulo, que parece un "collar" formado alrededor del cuerpo calloso, el mazo fibroso que transmite las señales neuronales entre los hemisferios cerebrales derecho e izquierdo. Consiste de las áreas de Brodmann 24, 32, y 33. Parece que juega un rol en una gama amplia de funciones autónomas, tales como regular la presión sanguínea y el ritmo cardíaco, como también para ciertas funciones cognitivas racionales, tales como la inhibición verbal, la anticipación de premio, la toma de decisiones, la empatía[1] y las emociones.[2][3]

Véase también
Referencias
- ↑ https://web.archive.org/web/20100714152432/http://ccare.stanford.edu/node/89
- ↑ Decety, J., & Jackson, P.L. (2004). The functional architecture of human empathy. Behavioral and Cognitive Neuroscience Reviews, 3, 71-100.
- ↑ Jackson P.L., Brunet E., Meltzoff A.N., Decety J. (2006). «Empathy examined through the neural mechanisms involved in imagining how I feel versus how you feel pain: An event-related fMRI study». Neuropsychologia 44: 752-61. doi:10.1016/j.neuropsychologia.2005.07.015.

