Craneofaringioma
| Craneofaringioma | ||
|---|---|---|
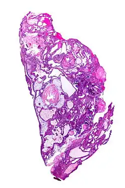
![]() Micrografía de un craneofaringioma (adamantinomatoso). Tinción HPS. | ||
| Especialidad | oncología | |
El craneofaringioma es un tipo de tumor cerebral derivado de tejido embrionario de la glándula pituitaria, que ocurre comúnmente en niños aunque también en hombres y mujeres en sus 50's o 60's[1] Las personas pueden presentarse con cuadrantanopsia bitemporal ( anopsia (pérdida de visión) que afecta una cuarta parte del campo visual ) inferior que puede llevar a hemianopsia bitemporal a medida que el tumor comprime el quiasma óptico.
Tiene una prevalencia de aproximadamente 2/100,000.[2]
Los Craniofaringeomas también son conocidos como tumores de la bolsa de Rathke, tumores del tubo hipofiseal o adamantinomas.
Signos y síntomas
El craneofaringioma es usualmente una rara neoplasia supraselar,[3] que puede ser cístico, que se desarrolla a partir de proximidades del epitelio derivado de la bolsa de Rathke.[4][5] La bolsa de Rathke es un precursor embrionario de la glándula pituitaria anterior (adenohipófisis).
Los craneofaringiomas comúnmente son tumores de crecimiento muy lento. Ellos surgen de células que se encuentran a lo largo del tallo pituitario, específicamente de las proximidades del epitelio odontogénico (formador de los dientes) dentro de la región supraselar/diencefalica y, por consiguiente, contiene depósitos de calcio, que son evidentes en los Rayos X. Son clasificados histológicamente como benignos;[6] sin embargo, como muchos tumores cerebrales, su tratamiento puede ser difícil, y morbilidades significantes están asociadas tanto con el tumor como para el tratamiento.
- Desorden del balance
- Piel seca
- Fatiga
- Fiebre
- Cefalea (Hidrocefalia obstructiva)
- Hipersomnia
- Aletargamiento
- Mixedema
- Náusea
- Estatura corta
- Polidipsia
- Poliuria (diabetes insípida)
- Pérdida de la visión (hemianopsia bitemporal)
- Vómitos
- Ganancia de peso
Diagnóstico
El patrón histológico consiste en epitelio escamoso anidado rodeado por células organizadas radialmente. Es con frecuencia acompañado de depósitos de calcio y puede tener arquitectura papilar microscópica. Dos tipos diferentes son reconocidos:[7][8]
- El craneofaringioma adamantinomatoso, el cual se parece a los adamantinomas, el tipo más común de tumor dental, es caracterizado por la activación de mutaciones de CTNNB1; y,
- Los craneofaringiomas papilares son caracterizados por mutaciones de BRFAFv600e.[9]
- En el tipo adamantinomatoso, las calcificaciones son visibles en las neuroimágenes y son útiles en el diagnóstico, el tipo papilar raramente se calcifica.
En el examen macroscópico, los craneofaringiomas son quísticos o parcialmente quísticos con áreas sólidas. En el microscopio de luz, los quistes son vistos como revestidos por un epitelio escamoso estratificado. Perlas de queratina también se pueden ver. Los quistes están llenos usualmente con un fluido viscoso y amarillo, el cual es rico en cristales de colesterol. de una larga lista de posibles síntomas, las presentaciones más comunes incluyen: cefalea, retraso del crecimiento y hemianopsia bitemporal.
Pronóstico
Los craneofaringiomas son generalmente benignos pero son conocidos por su recurrencia después de la resección. Investigaciones recientes[10] han demostrado una tendencia maligna (pero rara) de craneofaringiomas. estos craneofaringiomas malignos son muy raros, pero se asocia con peor pronóstico.
Craneofaringioma maligno
Los craneofaringiomas son usualmente manejados con éxito con una combinación de neurocirugía y quimioterapia adyuvante. Investigaciones recientes describen la ocurrencia de transformaciones malignas raras de estos tumores benignos. Los craneofaringiomas malignos pueden ocurrir a cualquier edad, son ligeramente más comunes en mujeres, y son usualmente del tipo adamantinomatoso.[10]
Las transformaciones malignas puede tardar años en ocurrir (aunque 1 de 5 de los casos diagnosticados fueron transformaciones de nuevo), de ahí la necesidad de un seguimiento más largo en pacientes diagnosticados con la forma más común benigna.[10]
No hubo relación encontrada entre malignidad y tratamiento inicial quimio- radioterapia,[10] y la tasa de supervivencia global fue muy pobre, con supervivencia media es de 6 meses posteriores diagnóstico de malignidad .
Tratamiento
El tratamiento generalmente consiste en una escisión subfrontal o transesfenoidal. La cirugía que usa la ruta transesfenoidal es a menudo practicada por un equipo de neurocirujanos y otorrinolaringólogos. Por la localización cercana al cerebro y la base del cráneo del craneofaringioma, un sistema de navegación quirúrgica puede ser usado para verificar la posición de las herramientas quirúrgicas durante la operación.
Adicionalmente la radioterapia es usada también si la remoción total no fue posible. Debido a los pobres resultados asociados con daño a la glándula pituitaria e hipotálamo con la radiación y la extirpación quirúrgica, las terapias experimentales usadas con fósforo-32 intracavitario, itrio o Bleomicina aplicada por un reservorio externo, a veces empleada, especialmente en pacientes jóvenes. El tumor, estando en la glándula pituitaria, puede causa problemas de salud secundarios. el sistema inmune, niveles tiroideos, niveles de la hormona del crecimiento y niveles de testosterona pueden estar comprometidos por el craneofaringioma. Todos los problemas de salud previamente mencionados pueden ser tratados con medicina moderna.[11] Todos los problemas antes mencionados pueden ser tratados con medicina moderna. no hay evidencia de alta calidad que favorezca el uso de bleomicina en esta condición.[12]
El "paquete" de tratamiento más efectivo para el craneofaringioma maligno descrito en la literatura es una combinación de cirugía de "resección total gruesa" con radioterapia adyuvante. las drogas quimioterapéuticas Paclitaxel y Carboplatino han mostrado significancia clínica (pero no estadística) en el incremento de los índices de sobrevivencia en pacientes quienes han tenido resecciones totales de su tumor maligno.[10]
Véase también
- Tumores Cerebrales
- Neurocirugía
- Bolsa de Rathke
- Cerebro
Referencias
- ↑ Hamid, R.; Sarkar, S.; Hossain, M. A.; Mazumder, U.; Akanda, N. I.; Parvin, R. (1 de julio de 2007). «Clinical picture of craniopharyngioma in childhood». Mymensingh medical journal: MMJ 16 (2): 123-126. ISSN 1022-4742. PMID 17703145. Consultado el 17 de diciembre de 2015.
- ↑ Garnett, Matthew R; Puget, Stéphanie; Grill, Jacques; Sainte-Rose, Christian (10 de abril de 2007). «Craniopharyngioma». Orphanet Journal of Rare Diseases 2: 18. ISSN 1750-1172. PMC 1855047. PMID 17425791. doi:10.1186/1750-1172-2-18. Consultado el 17 de diciembre de 2015.
- ↑ Rodriguez, Fausto J.; Scheithauer, Bernd W.; Tsunoda, Shigeru; Kovacs, Kalman; Vidal, Sergio; Piepgras, David G. (1 de julio de 2007). «The spectrum of malignancy in craniopharyngioma». The American Journal of Surgical Pathology 31 (7): 1020-1028. ISSN 0147-5185. PMID 17592268. doi:10.1097/PAS.0b013e31802d8a96. Consultado el 17 de diciembre de 2015.
- ↑ Bernstein, Mark; Berger, Mitchel S. (1 de enero de 2000). Neuro-oncology: The Essentials (en inglés). Thieme. ISBN 9780865778801. Consultado el 17 de diciembre de 2015.
- ↑ «Endocrine Pathology». library.med.utah.edu. Consultado el 17 de diciembre de 2015.
- ↑ Garrè, Maria Luisa; Cama, Armando (1 de agosto de 2007). «Craniopharyngioma: modern concepts in pathogenesis and treatment». Current Opinion in Pediatrics 19 (4): 471-479. ISSN 1040-8703. PMID 17630614. doi:10.1097/MOP.0b013e3282495a22. Consultado el 17 de diciembre de 2015.
- ↑ Sekine, Shigeki; Shibata, Tatsuhiro; Kokubu, Akiko; Morishita, Yukio; Noguchi, Masayuki; Nakanishi, Yukihiro; Sakamoto, Michiie; Hirohashi, Setsuo (1 de diciembre de 2002). «Craniopharyngiomas of adamantinomatous type harbor beta-catenin gene mutations». The American Journal of Pathology 161 (6): 1997-2001. ISSN 0002-9440. PMC 1850925. PMID 12466115. Consultado el 17 de diciembre de 2015.
- ↑ Sekine, S.; Takata, T.; Shibata, T.; Mori, M.; Morishita, Y.; Noguchi, M.; Uchida, T.; Kanai, Y. et al. (1 de diciembre de 2004). «Expression of enamel proteins and LEF1 in adamantinomatous craniopharyngioma: evidence for its odontogenic epithelial differentiation». Histopathology 45 (6): 573-579. ISSN 0309-0167. PMID 15569047. doi:10.1111/j.1365-2559.2004.02029.x. Consultado el 17 de diciembre de 2015.
- ↑ Brastianos, Priscilla K.; Taylor-Weiner, Amaro; Manley, Peter E.; Jones, Robert T.; Dias-Santagata, Dora; Thorner, Aaron R.; Lawrence, Michael S.; Rodriguez, Fausto J. et al. (1 de febrero de 2014). «Exome sequencing identifies BRAF mutations in papillary craniopharyngiomas». Nature Genetics (en inglés) 46 (2): 161-165. ISSN 1061-4036. PMC 3982316. PMID 24413733. doi:10.1038/ng.2868. Consultado el 17 de diciembre de 2015.
- ↑ a b c d e Sofela, Agbolahan A.; Hettige, Samantha; Curran, Olimpia; Bassi, Sanj (1 de septiembre de 2014). «Malignant transformation in craniopharyngiomas». Neurosurgery 75 (3): 306-314; discussion 314. ISSN 1524-4040. PMID 24978859. doi:10.1227/NEU.0000000000000380. Consultado el 17 de diciembre de 2015.
- ↑ Wisoff, Jeffrey H. (1 de febrero de 2008). «Craniopharyngioma». Journal of Neurosurgery. Pediatrics 1 (2): 124-125; discussion 125. ISSN 1933-0707. PMID 18352780. doi:10.3171/PED/2008/1/2/124. Consultado el 17 de diciembre de 2015.
- ↑ Zheng, Jun; Fang, Yuan; Cai, Bo Wen; Zhang, Heng; Liu, Wenke; Wu, Bo; Xu, Jian Guo; You, Chao (1 de enero de 2014). «Intracystic bleomycin for cystic craniopharyngiomas in children». The Cochrane Database of Systematic Reviews 9: CD008890. ISSN 1469-493X. PMID 25233847. doi:10.1002/14651858.CD008890.pub3. Consultado el 17 de diciembre de 2015.
