Cuerno cutáneo
Cuerno cutáneo, también conocido por su nombre en latín cornu cutaneum, es un tumor cutáneo de aspecto cónico. Tiene la apariencia de un cuerno, madera o coral. Formalmente, el diagnóstico clínico para una "proyección cónica sobre la superficie de la piel". Normalmente son pequeños y localizados, pero en algunos casos pueden ser más grandes. Aunque a menudo son benignos, también pueden ser malignos o premalignos.[1][2]
Señales y síntomas
La lesión en la base del montículo de queratina es benigna en la mayoría de los casos. Las tumoraciones malignas se presentan hasta en el 20% de los casos siendo el carcinoma de células escamosas el más común. La incidencia de carcinoma de células escamosas se eleva a 37% cuando el cuerno cutáneo se presenta en el pene. La suavidad en la base de la lesión a menudo sugiere la presencia de un carcinoma de células escamosas subyacente.[3]

Causa
La causa de los cuernos cutáneos es aún desconocida, pero se cree que la exposición a la radiación puede desencadenar esta condición. Hay evidencia de una mayor tasa de casos donde ocurren en la cara y manos, áreas que con frecuencia están expuestas al sol. En otros casos se ha reportado la aparición de cuernos cutáneos que salen de cicatrices de quemaduras. Como muchas de las demás condiciones relacionadas con las verrugas, se piensa que hay una relación con la familia del VPH, especialmente el subtipo VPH-2.[4][5]
Diagnóstico
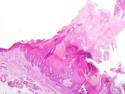
Los cuernos cutáneos normalmente se deben a una lesión epidérmica subyacente, siendo la más común una verruga, la queratosis actínica (una lesión potencialmente premaligna de queratinocitos), o carcinoma de células escamosas (una forma de cáncer de piel). Estos pueden lucir clínicamente idénticos. La única forma confiable de diagnosticar el tipo de lesión presente debajo del cuerno es una biopsia de la lesión que sea examinada por un patólogo o dermatólogo.
Tratamiento
Ya que el cuerno está hecho de queratina, el mismo material del que están hechas las uñas, el cuerno usualmente puede removerse con un bisturí estéril. Sin embargo la condición subyacente necesita ser tratada. Los tratamientos varían pero pueden incluir cirugía, radioterapia y quimioterapia.
Referencias
- ↑ Copcu, Eray; Sivrioglu, Nazan; Culhaci, Nil (2004). «Cutaneous horns: are these lesions as innocent as they seem to be?». World Journal of Surgical Oncology 2: 18. PMC 421749. PMID 15176977. doi:10.1186/1477-7819-2-18.
- ↑ Yu, R.C.H.; Pryce, D.W.; MacFarlane, A.W.; Stewart, T.W. (1991). «A histopathological study of 643 cutaneous horns». British Journal of Dermatology 124 (5): 449-52. PMID 2039721. doi:10.1111/j.1365-2133.1991.tb00624.x.
- ↑ Solivan, GA; Smith, KJ; James, WD (1990). «Cutaneous horn of the penis: Its association with squamous cell carcinoma and HPV-16 infection». Journal of the American Academy of Dermatology 23 (5 Pt 2): 969-72. PMID 2172337. doi:10.1016/0190-9622(90)70315-9.
- ↑ Nthumba, Peter M (2007). «Giant cutaneous horn in an African woman: a case report». Journal of Medical Case Reports 1: 170. PMC 2225419. PMID 18053226. doi:10.1186/1752-1947-1-170.
- ↑ Wang, W; Wang, C; Xu, S; Chen, C; Tong, X; Liang, Y; Dong, X; Lei, Y et al. (2007). «Detection of HPV-2 and identification of novel mutations by whole genome sequencing from biopsies of two patients with multiple cutaneous horns». Journal of Clinical Virology 39 (1): 34-42. PMID 17368088. doi:10.1016/j.jcv.2007.01.002.
Más información
- Matthew Moore (2007-11-12). "Matthew Moore (12 de noviembre de 2007). «Tree man 'who grew roots' may be cured». London: Daily Telegraph. Consultado el 14 de noviembre de 2007.". Londres: Telégrafo Diario. Recuperado Matthew Moore (12 de noviembre de 2007). «Tree man 'who grew roots' may be cured». London: Daily Telegraph. Consultado el 14 de noviembre de 2007..
- "«Images of cutaneous horns». DermAtlas. Archivado desde el original el 19 de abril de 2003. Consultado el 14 de noviembre de 2007.". DermAtlas. Archived Del original «Images of cutaneous horns». DermAtlas. Archivado desde el original el 19 de abril de 2003. Consultado el 14 de noviembre de 2007.. Recuperado «Images of cutaneous horns». DermAtlas. Archivado desde el original el 19 de abril de 2003. Consultado el 14 de noviembre de 2007..
- DiClaudio, Dennis (2006) "El Hypochondriac Guía de Bolsillo a Enfermedades Horribles Probablemente Ya Tienes", Bloomsbury Publicando, ISBN 978-1-59691-061-4