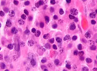
Cuerpos de Russell

Los cuerpos de Russell son grandes inclusiones homogéneas, de aspecto redondeados y eosinofílicas producidas por la acumulación de inmunoglobulinas recién sintetizadas, en el retículo endoplasmático rugoso de algunas células plasmáticas. Es un tipo celular encontrado en el mieloma múltiple.[1]
Referencias
- ↑ Martín-Noya A, Ríos-Herranz E, Rafel-Ribas E (febrero de 1999). «Multiple myeloma with numerous intranuclear Russell bodies». Haematologica 84 (2): 179-80. PMID 10091418.