Derivación portosistémica intrahepática transyugular
| Derivación portosistémica intrahepática transyugular | ||
|---|---|---|
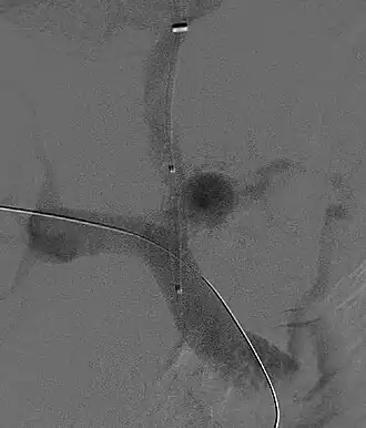
![]() Imagen fluoroscópica de un DPIT en curso. Se ha introducido un catéter en la vena hepática y, tras la punción con aguja, se ha introducido una guía metálica en una rama de la vena porta. El tracto se dilató con un globo y se inyectó contraste. Sobre el alambre se ha colocado un stent metálico autoexpandible. | ||
| Especialidad | Radiología intervencionista | |
| Sinónimos | ||
| Derivación con stent portosistémico intrahepático transyugular | ||
La derivación portosistémica intrahepática transyugular (DPIT) un procedimiento establecido para tratar las complicaciones derivadas de la hipertensión portal, que incluyen: sangrado por várices esofágicas, ascitis refractaria, hidrotórax hepático, síndrome hepatorrenal y hepatopulmonar. Últimamente también se ha implementado su uso en el síndrome de Budd- Chiari y en la enfermedad venooclusiva. Este procedimiento es llevado a cabo en una sala de cirugía hemodinámica, lo realiza un radiólogo intervencionista, bajo sedación consciente, en ocasiones excepcionales es necesaria la intubación endotraqueal y con técnica aséptica quirúrgica, igualmente se da profilaxis antibiótica para disminuir el riesgo de infección.
Historia
En 1969 Rosch y cols. desarrollaron por primera vez esta técnica en un procedimiento experimental con perros donde a través de la colocación percutánea de una derivación entre la vena porta y las venas suprahepáticas lograron inducir la descompresión venosa del sistema porta. Con esto, ellos demostraron que es posible introducir una aguja desde la vena yugular hasta la vena hepática, seguidamente, penetrar en el parénquima hepático hasta una rama de la vena porta.
A finales de la década de los 70’s, Burgener y Gutiérrez utilizaron catéteres de angioplastia para instaurar derivaciones intrahepáticos en perros con hipertensión portal. Al inicio las derivaciones se ocluían, por lo que los investigadores los dilataban de forma semanal y así lograban mantenerlos en viables hasta por un año.
Hasta 1983, fue descrito el primer uso clínico de la DPIT por Colapinto y cols., ellos lograron mantener inflado un globo de 9 milímetros en un tracto del parénquima hepático durante 12 horas, lo que logró disminuir la presión portal además se logró controlar la hemorragia en 15 pacientes, de los cuales 13 murieron en el primer mes de seguimiento por episodios de resangrado, únicamente dos sobrevivieron más de un año sin recidivas de sangrado.
Dos años más tarde, las investigaciones de Palmaz y cols., con prótesis autoexpandibles en perros con hipertensión portal inducida mostraron que cuando el stent se colocaba en el tracto parenquimatoso la derivación podía permanecer permeable por 48 semanas sin necesidad de realizar dilataciones periódicas.
Después, Rossle y cols., realizaron una DPIT con la prótesis de Palmaz en pacientes que presentaron episodios de resangrado por varices esofágicas pese a que ya habían recibido tratamiento con esclerosis, en los cuales se obtuvieron muy buenos resultados.
En los últimos años se ha logrado perfeccionar la técnica para facilitar la ejecución del procedimiento, además se ha reducido la mobimortalidad del mismo.
Selección de los pacientes
Los pacientes que son candidatos potenciales a realizarse una DPIT deben estar en control con especialistas en gastroenterología o hepatología en conjunto con un radiólogo intervencionista. Siempre hay que valorar el escenario clínico de cada paciente de forma individual y asegurarse que el riesgo no va a ser mayor que el beneficio. La escala MELD es el mejor parámetro en la actualidad para predecir la sobrevivencia a tres meses después del procedimiento, mide tres parámetros después del procedimiento: los valores séricos de bilirrubina, creatinina y el INR. Los pacientes con Una escala MELD superior a 18 tuvieron tasa de supervivencia significativamente menor a los tres meses en comparación con los que los que tuvieron una escala MELD menor a 18.
Valoración preoperatoria
Los pacientes que van a ser sometidos a una DPIT deben ser sometidos a estudios clínicos y radiológicos debido a que son más vulnerables a presentar alteraciones de la función hepática lo cual repercute de forma negativa en su pronóstico.
Es necesario un estudio radiológico meticuloso para tener conocimiento del panorama anatómico de la vena hepática con respecto a la vena porta, asimismo, es necesario saber la futura ubicación de la comunicación intrahepática debido a que esto influye en el funcionamiento correcto de la derivación. La importancia de realizar estudios radiológicos antes del procedimiento radica en las diferencias anatómicas que tienen los pacientes con hepatopatía.
Con los estudios realizados se debe elegir la vena suprahepática con la que se va a trabajar, se prefiere la vena suprahepática derecha debido a que suele tener una relación anteromedial con la vena porta lo cual es muy favorable a la hora de realizar el procedimiento, si no es posible acceder a la vena suprahepática derecha, la vena suprahepática media es la segunda alternativa, no se recomienda realizar la punción o cateterización a través de la vena suprahepática izquierda por su relación anatómica poco favorable con la vena porta.
Técnica
Se realiza una pequeña incisión en el cuello para tener acceso a la vena yugular interna derecha en la cual se va a introducir una aguja con una sonda flexible (catéter), en su extremo hay un stent de malla metálica y un globo. El médico guía el catéter hasta la vena hepática mediante imágenes obtenidas por rayos X y la inyección de un medio de contraste hace que la vena se vea con mayor claridad.
Si no se logra ver la vena porta a pesar del medio de contraste se puede utilizar la inyección de CO2 debido a que este gas se difunde con facilidad por el parénquima hepático. En el momento en el que se cateteriza la vena suprahepática, se realiza la punción directa al parénquima a través del introductor mediante fluoroscopia, en dirección anteromedial se introduce la aguja y se avanza entre 4 o 5 centímetros hacia la vena porta, la punción también puede ser guiada por ultrasonido para facilitar el acceso. En el momento en el que se crea una comunicación entre la vena hepática y la vena porta (porción intrahepática) se infla el globo para colocar el stent y mantener la derivación permeable.
Finalmente se mide el gradiente de presión de la vena porta hepática para verificar que haya disminuido, idealmente por debajo de 12 mmHg. Por último se desinfla el globo y se retira el catéter. Posterior al procedimiento se coloca un pequeño vendaje sobre la incisión hecha en la zona del cuello, esta no requiere puntos de sutura. El procedimiento puede durar ente 60 y 90 minutos para realizarse.
Indicaciones
- Sangrado recurrente o refractario de várices esofágicas
- Ascitis refractaria
- Hidrotórax hepático
- Síndrome hepatopulmonar
- Gastropatía hipertensiva
- Síndrome de Budd-Chiari
- Enfermedad veonoclusiva hepática
Contraindicaciones Absolutas
- Profilaxis de la hemorragia por várices esofágicas
- Insuficiencia cardíaca congestiva
- Insuficiencia tricuspídea severa
- Hipertensión pulmonar severa
- Quistes hepáticos múltiples
- Infección sistémica no controlada o sepsis
- Obstrucción de la vía biliar no resuelta
Contraindicaciones Relativas
- Carcinoma hepatocelular concomitante
- Obstrucción de todas las venas hepáticas
- Trombosis de la vena porta
- Hipertensión pulmonar moderada
- Coagulopatía severa (INR mayor a 5)
- Trombocitopenia menor de 20.000 células por cm³
- Encefalopatía hepática
Complicaciones
Las complicaciones pueden presentarse de forma temprana o de forma tardía, y pueden ser clínicas o estar asociadas a la técnica utilizada.
Complicaciones Tempranas
- Técnicas:
Durante el acceso: punción de la arteria carótida en lugar de la vena yugular, neumo/hemotórax o punción de la tráquea, estas complicaciones pueden agravarse si el paciente tiene trastornos severos de la coagulación. Debido a que durante la cateterización a aguja pasa a través de la aurícula derecha se pueden presentar arritmias cardiacas.
Durante la punción para la realización del tracto: hemorragia a causa de la punción del parénquima o por punción accidental de la vena porta o de la vía biliar, se puede formar un hematoma e incluso un hemoperitoneo.
Relacionadas con el stent: debido a que se puede colocar en una vena de pequeño calibre o puede tener problemas de acomodación y provocar trombosis. La elección de un stent inapropiado puede provocar sangrado. Él stent puede migrar y causar hemopericardio o daño de la válvula tricúspide.
- Clínicas:
Encefalopatía: es la complicación más común, los pacientes suelen responder bien al tratamiento con lactulosa y a la restricción proteica.
Insuficiencia cardiaca: después de la creación de la derivación hay un aumento en la precarga, se puede manifestar como edema agudo de pulmón y edemas periféricos.
Hemólisis: suele ser autolimitada.
Complicaciones Tardías
- Técnicas:
Hiperplasia de la capa íntima de la vena y trombosis intrastent.
- Clínicas:
Supervivencia: la hepatopatía es un trastorno muy severo que no tiene buen pronóstico independientemente de la realización de una DPIT.
Resangrado
Ascitis: por disfunción de la DPIT.
Complicaciones infecciosas
Se cree que las complicaciones infecciosas están relacionadas reacciones inflamatorias a causa de la manipulación del parénquima hepático.
Se han descrito otro tipo de complicaciones misceláneas que incluyen:
- Fístulas (arterioportal o arteriobiliar)
- Dermatitis por radiación
Tratamiento mediato post derivación
El paciente debe permanecer en el hospital al menos 12 horas después del procedimiento, se deben monitorizar los signos vitales de forma continua en busca de signos de hemorragia intraperitoneal. Dentro de los exámenes de laboratorio debe pedir, hemoleucograma completo, pruebas de coagulación, pruebas de función hepática y renal. Para comprobar la permeabilidad de la derivación se debe realizar un ultrasonido Doppler de hígado un día después del procedimiento.
Seguimiento post derivación
En pacientes asintomáticos se debe realizar un ultrasonido Doppler de hígado cuatro semanas después de la derivación y después se debe hacer un control cada seis meses. Si hay persistencia o recurrencia de síntomas de hipertensión portal hay que realizar un ultrasonido Doppler de hígado de forma inmediata debido a que estas manifestaciones nos traducen un fallo en la comunicación, por lo que se debe hacer un ultrasonido Doppler de hígado para verificar las velocidades de la derivación. La venografía portal es el estándar de oro para evaluar la permeabilidad de la derivación sin embargo se reserva para los pacientes que documentan una obstrucción en el ultrasonido Doppler de hígado decido a que la venografía es un procedimiento invasivo y conlleva complicaciones.
Ventajas sobre la derivación portocava quirúrgica
- No es necesario el uso de anestesia general.
- Menor morbimortalidad después del procedimiento.
- Durante el procedimeinto no se manipula el hilio hepático lo que es de relevancia clínica en los pacientes que son candidatos a trasplante.
Referencias
- Kavish R. Patidar, D.O1, Malcolm Sydnor, M.D. TRANSJUGULAR INTRAHEPATIC PORTOSYSTEMIC SHUNT. NIH Public Access. 2014 (4): 853–876
- Bhogal HK, Sanyal AJ. Using transjugular intrahepatic portosystemic shunts for complications of cirrhosis. Clin Gastroenterol Hepatol 2011;9: 936-946.
- Pomier-Layrargues, G., Bouchard, L., Lafortune, M., Bissonnette, J., Guérette, D., & Perreault, P. (2012). The Transjugular Intrahepatic Portosystemic Shunt in the Treatment of Portal Hypertension: Current Status. International Journal of Hepatology, 2012, 167868. http://doi.org/10.1155/2012/167868
- Siramolpiwat, S. (2014). Transjugular intrahepatic portosystemic shunts and portal hypertension-related complications. World Journal of Gastroenterology : WJG, 20(45), 16996–17010. http://doi.org/10.3748/wjg.v20.i45.16996
- Casadaban, L. C., & Gaba, R. C. (2014). Percutaneous Portosystemic Shunts: TIPS and Beyond. Seminars in Interventional Radiology, 31(3), 227–234. http://doi.org/10.1055/s-0034-1382789
_in_progress.jpg)