Displasia fibrosa
| Displasia fibrosa | ||
|---|---|---|
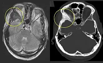
![]() Displasia fibrosa en el hueso cigomático, en comparación con el lado contralateral. | ||
| Especialidad | genética médica | |
Displasia fibrosa es el término acuñado por Lichtenstein y Jaffe para describir un trastorno que afecta fundamentalmente al hueso, pero a veces se acompaña de anormalidades extraesqueléticas.[1] El cuadro se caracteriza porque el hueso normal se reemplaza con una mezcla de tejido fibroso inmaduro y fragmentos pequeños de hueso trabecular inmaduro.[2] La lesión suele ocurrir en el esqueleto en crecimiento con deformidades angulares que pueden ser el resultado de la mineralización defectuosa de la porción displásica en el interior de los huesos inmaduros. El hueso afectado se ensancha y el hueso cortical adyacente se adelgaza.
Se suele clasificar en tres grupos: el tipo monostótico en que hay ataque de un solo hueso; la forma poliostótica, en que hay ataque de múltiples huesos, y una forma poliostótica acompañada de anormalidades endocrinas, como pubertad precoz, maduración esquelética prematura o hipertiroidismo, conjunto conocido actualmente como síndrome de McCune-Albright.
Los sitios más comunes de afectación monostótica incluyen las partes proximales del fémur, tibia, húmero, costillas, cráneo, y la columna cervical, mandíbula y las costillas.[1]
Epidemiología
La displasia fibrosa es una enfermedad poco frecuente y ocurre típicamente en la adolescencia, aunque una cuarta parte de las lesiones se dan en los adultos. Parece ser que los niños que la presentan a una edad más joven tienen ligeramente un peor pronóstico, con afectación más extensa y un predominio más alto de fracturas o dolor óseo. Tiene un ligero predominio por las mujeres.[1]
La presentación poliostótica ocurre en una cuarta parte de los pacientes. Una combinación rara que consiste en pubertad precoz, enfermedad poliostótica, y manchas café con leche en la piel constituyen el síndrome de McCune-Albright.
Etiología
No se ha precisado la causa exacta ni la naturaleza fundamental de la displasia fibrosa.[3] Al parecer es una anormalidad del tejido embrionario en el hueso, durante el desarrollo.[1] El tejido fibroso prolifera dentro de la médula ósea, comprime la corteza desde el interior, y produce la expansión que caracteriza a la enfermedad.
Se ha sugerido una posible base congénita, por la afectación unilateral en la forma poliostótica de la enfermedad. La imagen histopatológica señala que las formas monostótica y poliostótica son manifestaciones del mismo proceso biológico. Las pruebas existentes anulan la posibilidad de una disfunción endocrina como causa de las lesiones esqueléticas.
El trastorno no es hereditario, y todos los casos publicados son esporádicos. Firat y Stutzman publicaron dos casos en una madre y su hija. Lemli señaló el caso de gemelas monocigóticas, una con el síndrome de McCune-Albright y la otra solo con signos esporádicos de displasia fibrosa en el cráneo. Al parecer, la expresión fenotípica varía a pesar de genotipos idénticos y la aparición de displasia fibrosa en gemelos monocigóticos sugiere la posibilidad de un origen genético, probablemente por una mutación heterocigótica del gen Gsα que se encuentra en el cromosoma 20.[3]
Patogenia
El hueso se deforma por múltiples fracturas de estrés que puede llevar en el futuro a una fractura patológica. Las fracturas de estrés, muy dolorosas, son especialmente comunes en el cuello femoral.
Aunque el hueso displásico cura después de la fractura, el callo resultante también es displásico, y la enfermedad persiste.
Cuadro clínico
Las lesiones pueden ocurrir en un hueso (monostótica) o en muchos (poliostótica).[4] De vez en cuando, un niño puede presentarse con fractura patológica o deformidad angular.
Displasia fibrosa monostótica
La displasia fibrosa monostótica constituye el 75 % al 80 % de los casos, de los cuales el 20 % afecta los huesos craneofaciales, sin embargo, pueden comprometer múltiples huesos contiguos del cráneo, sin respetar las líneas de sutura.[4]
Normalmente afecta al fémur, especialmente al cuello, la tibia, las costillas y la base del cráneo. Nace en la parte central del hueso. Normalmente está separada del cartílago de crecimiento en los niños y de la superficie articular en los adultos.
Esta lesión resulta asintomática hasta que el afectado empieza a padecer dolores y es descubierta con base en otras razones. A partir de la aparición de los síntomas, se da el caso de padecer dolor, tumefacción y deformidad. La complicación más frecuente es una fractura, y a menudo es el síntoma inicial principalmente en extremidades inferiores. En el caso de afectación a la caja torácica, los síntomas suelen ser provocados por el contacto del hueso afectado con la pleura pulmonar.
Las lesiones craneales pueden progresar lentamente hasta la vida adulta y afectar al nervio óptico o las estructuras del oído medio.
Displasia fibrosa poliostótica

Se presentan en niños de alrededor de 10 años de edad. La distribución y extensión de las lesiones varía ampliamente, desde el compromiso de unos pocos huesos de una extremidad hasta la afectación de más del 50% de los huesos del esqueleto, en el 90% de los casos unilateral.
Frecuentemente está implicada la pelvis, seguida de los huesos largos, cráneo, costillas, y extremidad proximal del fémur. Las lesiones poliostóticas: tienden a permanecer más activas o agresivas. Ocasionalmente sufren una transformación maligna a osteosarcoma o fibrosarcoma. La tasa de transformación maligna (condrosarcoma u osteosarcoma) es extremadamente rara (Okazi, 1997) y puede darse espontáneamente o después de la radioterapia.
Aunque las lesiones son similares a la forma monostótica, tienen una apariencia más agresiva, y la enfermedad progresa rápidamente, hasta que el esqueleto alcanza su madurez; después solo un 5% de las lesiones sigue creciendo.
A diferencia de la forma monostótica, la displasia fibrosa poliostótica da síntomas. Los hallazgos incluyen dolor, fractura patológica, cojera, o deformidad del miembro. En otras ocasiones la primera manifestación es una disfunción endocrina, tales como acromegalia, hipertiroidismo, hiperparatiroidismo, síndrome de Cushing y pigmentación cutánea (manchas café con leche), constituyendo el síndrome de Albright-McCune. Esta condición afecta a las mujeres, y muestran precocidad sexual por la liberación precoz de gonadotropina por el lóbulo anterior de la hipófisis. Los bordes de las manchas cutáneas se diferencian de las de la neurofibromatosis en que los bordes son lisos en la neurofibromatosis e irregulares en el síndrome de Albright.
La asociación de tumores fibrosos y fibromixomatosos de los tejidos blandos con displasia fibrosa poliostótica se conoce como síndrome de Mazabraud.
La complicación más frecuente de la displasia fibrosa poliostótica es la fractura patológica
En general las anormalidades óseas se presentan antes de la edad 20 años;
Diagnóstico
Estudios de imagen
La apariencia de las lesiones en una radiografía es inconstante y depende de la proporción de los componentes óseos y fibrosos de la lesión que ocupan grandes áreas en el interior del hueso. Si predomina el componente de tejido conectivo se verá una lesión diafisaria intramedular radiolúcida que se combina con adelgazamiento y abombamiento de la cortical.[3] Por el contrario si predomina el componente óseo el aspecto radiográfico será el de una lesión de vidrio esmerilado o nebuloso que puede asociarse con deformidad angular. Esta forma se puede observar más frecuentemente en las lesiones de la base del cráneo y maxilares.
En el nivel de lesión suele haber deformidad angular del hueso. La lesión activa puede progresar en el tamaño y deformidad.
- lesión tipo quístico: Radiolucente con un margen reactivo, ninguna trabécula, y el espesor cortical normal
- lesiones tipo pagetoide: Patrón trabecular más denso que el hueso normal
- deformidad en cayado o bastón: La amplia afectación del fémur proximal produce una característica deformidad en varus que se parece a la curva de un bastón
Gammagrafía
La gammagrafía es la forma más rápida para determinar la distribución de las lesiones esqueléticas, además de permitir descubrir lesiones en sitios insospechados.
Revela intensa captación del radioisótopo que refleja la magnitud del tumor vista en la radiografía, especialmente cuando la lesión es activa. La disminución de la actividad en el scan óseo implica que la lesión se ha vuelto inactiva.
Tomografía y resonancia magnética
Pueda ayudar evaluar con exactitud la magnitud de la afectación ósea. La intensidad de señal en la resonancia magnética es moderadamente baja en T1, mientras en T2 es alta o media. Con gadolinio, la mayoría de las lesiones muestra un incremento central de contraste y algunos anillos periféricos.[5] En general, la intensidad de la señal depende de la cantidad de trabéculas óseas, colágeno, quistes y hemorragias. El clásico aspecto en la tomografía es de «vidrio esmerilado», que corresponde al hueso sano que rodea a la lesión.[5]
Histología
Histológicamente, en la displasia fibrosa hay sustitución de hueso normal por hueso nuevo recientemente formado, en el que se observan trabéculas óseas mal formadas y tejido fibroso acompañado de fibroblastos, osteoide y células gigantes.[4]
Algunas lesiones pueden contener cantidades grandes de cartílago benigno, mientras otros pueden tener componentes quísticos grandes. Histológicamente, los rasgos típicos incluyen hueso trabecular displásico truncado produciendo segmentos cortos del hueso, irregulares (llamados sopa del alfabeto chino). Las trabéculas displásicas están típicamente presentes dentro del estroma fibroso que reemplaza el hueso normal, y la actividad celular de estas lesiones es moderada.
Las trabéculas:
- aparecen inmaduras
- no están revestidas con osteoblastos (como en el fibroma osificante)
- no contiene las líneas de cemento;
- no remodela según la tensión;
- el estroma fibroso es desorganizado y reemplaza a la médula normal;
Diagnóstico diferencial
Radiográfico
Si la lesión de la displasia fibrosa contiene cartílago y muestra calcificaciones visibles puede entrar en el diagnóstico diferencial con el encondroma si la lesión es solitaria, o con la Enfermedad de Ollier encondromatosis si la lesión es poliostótica. En algunas ocasiones, si la lesión es solitaria puede recordar al fibroma desmoplástico.
Si se presenta como un foco solitario en la tibia, las posibilidades diagnósticas son displasia osteofibrosa y adamantinoma. En las fases precoces de evolución, particularmente en las lesiones radiolucentes situadas en el húmero proximal puede confundirse con un quiste óseo simple.
Las lesiones que expanden la cortical pueden recordar a un quiste óseo aneurismático. En estos casos la lesión es excéntrica. Una lesión monostótica con anillo escleroso en el húmero proximal se puede confundir con un infarto óseo intramedular.
La displasia fibrosa poliostótica entrará en el diagnóstico diferencial con la encondromatosis y la neurofibromatosis. La encondromatosis a diferencia de la displasia fibrosa poliostótica, las lesiones pueden extenderse en la parte articular del hueso y se extienden bandas radiolucentes del platillo de crecimiento a la metáfisis. En la neurofibromatosis la afectación esquelética, normalmente, se ven deformidades en los huesos largos sin los cambios típicos intra-medulares de la displasia fibrosa poliostótica. Si la neurofibromatosis se asocia con fibromas no osificantes múltiples (síndrome de Jaffe-Campanacci) puede confundirse con la displasia fibrosa.
Patológico
Osteosarcoma fibroblástico y fibrosarcoma. Las células del osteosarcoma y su núcleo son diferentes y las mitosis son frecuentes. La formación ósea del tumor es más amorfa, sin estructura trabecular distintiva. No obstante el osteosarcoma central de bajo grado puede suponer un problema para el patólogo.
El adamantinoma puede recordar a la displasia cuando se acompaña de abundante tejido fibroblástico, no obstante las células epiteloides son características y diagnósticas.
Cuando la formación de hueso es limitada, puede ser problemático el diagnóstico diferencial con el fibroma no osificante. En estos caso puede ayudar la ausencia de grupos de pseudo osteoclastos (células gigantes) y hemosiderina. En algunos casos también pueden entrar en el diagnóstico diferencial el hiperparatiroidismo, el osteoblastoma y la enfermedad de Paget.
Tratamiento
El tratamiento de la displasia fibrosa sigue siendo una tarea desafiante en niños y adultos. El paciente típico que tiene una lesión monostótica grande, dolorosa o poliostótica normalmente se beneficia de la fijación intramedular de ese segmento óseo. Se requiere una biopsia en la mayoría de las situaciones. El curetaje se asocia con una proporción muy alta de repetición local y por consiguiente, normalmente no se recomienda. Así, se tratan típicamente mejor las lesiones de displasia fibrosa con biopsia seguida por algún tipo de injerto cortical o fijación del implante para estabilizar el segmento del hueso largo. En el fémur, esto se logra con un injerto cortical de peroné o un clavo femoral encerrojado, dependiendo de la edad del paciente. El niño con una lesión grande tendrá una deformidad dolorosa progresiva, continuada, y pueden requerirse intervenciones múltiples. Esto es sobre todo cierto para los pacientes con enfermedad severa.
Consideraciones preoperatorias
Los adultos pueden experimentar hipoxemia intra-operatoria y desvíos durante la cirugía (debido a shunts AV), y que estos pacientes pueden beneficiarse intraoperatoriamente de la monitorización.
La meta del tratamiento es la prevención de la deformidad y la fractura. El tratamiento de la displasia fibrosa implica el fortalecimiento y enderezamiento del hueso afectado.
La resección y el curetaje no están indicados, ya que el hueso displásico normalmente recidiva. La proporción de recurrencia con el curetaje simple e injerto de hueso, especialmente en el grupo de edad pediátrico es alto. Las lesiones grandes con deformidad angular son enderezadas mejor e injertadas con hueso cortical.
El hueso cortical probablemente es menos resorbido que el esponjoso y más probablemente, proporcionara un apoyo estructural permanente. Este es mejor realizarlo usando autoinjertos de hueso cortical (tomado del peroné), qué mínimamente remodela después de la incorporación. El injerto con hueso cortical es particularmente apropiado para el manejo de las lesiones en las áreas de tensión altas como el cuello femoral. Los métodos de tratamiento alternativos son la reconstrucción con aloinjerto de hueso cortical o fijación con un clavo intramedular;
Extremidad inferior
La deformidad en coxa vara progresiva es común qué puede llevar en el futuro a la deformidad en cayado. La inmensa mayoría de pacientes con lesiones poliostóticas tendrá afectación del fémur proximal y en la mayoría de éstos pacientes, habrá afectación más frecuente y más severo del calcar de manera que será incapaz de soportar una fijación interna.
Las indicaciones para la cirugía incluyen la deformidad progresiva, dolor persistente, y fracaso de tratamiento conservador. La lesiones con riesgo de fractura patológica son premonitorias en lesiones líticas de 2.5 centímetros (o mayor) que afecta el fémur del proximal.
La osteotomía valguizante y fijación interna: se realiza mejor en la enfermedad temprana. La osteotomía de desplazamiento medial se usa cuando hay implicación del calcar o cuando hay un hueso de baja calidad. La ventana cortical se usa para la extirpación del tejido fibroso del tumor y para el injerto del hueso.
Extremidad superior

Las fracturas patológicas de la extremidad superior pueden ser tratadas por métodos cerrados en contraste con las de la extremidad inferior que se fijarán internamente.
Tratamiento no quirúrgico
El tratamiento médico puede incluir el pamidronato disódico, que está indicado, sobre todo en el tratamiento de la hipercalcemia en pacientes con enfermedad de Paget y neoplasias malignas.[7] El Pamidronato no está indicado en el tratamiento de la displasia fibrosa, pero los estudios recientes y ensayos clínicos preliminares han demostrado que las infusiones intravenosas múltiples de esta droga pueden aliviar el dolor óseo asociado a la enfermedad y en algún caso mejoran el aspecto radiográfico.[3] El ejercicio y la actividad física es importante para evitar el aumento del peso y preservar la movilidad articular.
El tratamiento con radioterapia no se ha mostrado eficaz en la erradicación de la enfermedad y puede conducir a la transformación maligna.
Pronóstico
El pronóstico total para un paciente que tiene displasia fibrosa depende de la severidad de la afectación que está relacionada con la implicación de huesos individuales y el número total de sitios de la lesión. El pronóstico es bueno para un típico niño que tiene una lesión monostótica, en que el dolor normalmente puede mitigarse con la fijación interna profiláctica. Mientras se ha informado en la literatura el desarrollo de osteosarcoma secundario en un segmento displásico fibroso de hueso, es un problema raro. Radiográficamente se demuestra el desarrollo de osteosarcoma de la displasia fibrosa por la corrosión progresiva del hueso o clínicamente, por una masa de tejidos blandos, o ambos, y por el aumento del dolor del hueso. El método de tratamiento debe seleccionarse cuidadosamente según la severidad de afectación y los resultados radiográficos y clínicos de cada paciente.
Véase también
Referencias
- ↑ a b c d NASER G., Alfredo; BRAVO C., Gustavo; CARRASCO D., María I. y RÍOS D., Carlos. Displasia fibrosa de temporal: caso clínico y revisión del tema (en español). Rev. Otorrinolaringol. Cir. Cabeza Cuello [online]. 2009, vol.69, n.3 [citado 2010-01-20], pp. 259-264. ISSN 0718-4816.
- ↑ Dr. Martin Etchart. Capítulo 12. Anatomía Patológica Osteoarticular Archivado el 26 de junio de 2008 en Wayback Machine. (artículo completo disponible en español). Pontificia Universidad Católica de Chile. Escuela de Medicina. Último acceso 25 de junio, 2008.
- ↑ a b c d e CREO MARTÍNEZ, T. et al. Tratamiento de la displasia fibrosa asociada a hemofilia C: a propósito de un caso (en español). Rev Esp Cirug Oral y Maxilofac [online]. 2007, vol.29, n.6 [citado 2010-01-21], pp. 375-380. ISSN 1130-0558.
- ↑ a b c MOTA, José D, ORELLANA, María Eugenia y ESTRIBI, Margarita. Tumores óseos orbitarios (en español). RFM. [online]. jun. 2007, vol.30, no.1 [citado 20 de enero de 2010], p.12-17. ISSN 0798-0469.
- ↑ a b VALENZUELA P, Raúl y EBENSPERGUER P, Evelyn. BASE DE CRÁNEO: ANATOMÍA Y PATOLOGÍA TUMORAL. REVISIÓN CONCEPTUAL (en español). Rev. chil. radiol. [online]. 2002, vol.8, n.4 [citado 2010-01-21], pp. 170-176. ISSN 0717-9308. doi: 10.4067/S0717-93082002000400006.
- ↑ VALENZUELA ARCE, Gustavo, ZARATE ARCE, Hugo and SALVATIERRA FRONTANILLA, Igor. Osteogénesis imperfecta: caso clínico y actualización (enlace roto disponible en Internet Archive; véase el historial, la primera versión y la última). (en español). Cuad. - Hosp. Clín. [online]. 2007, vol.52, no.1 [cited 21 January 2010], p.69-77. ISSN 1562-6776.
- ↑ TAU, Cristina y RUSSO, Ricardo. Osteoporosis grave con aplastamientos vertebrales en dermatomiositis juvenil: Efecto del tratamiento con alendronato oral (en español). Medicina (B. Aires) [online]. 2007, vol.67, n.1 [citado 2010-01-21], pp. 53-56. ISSN 0025-7680.
Enlaces externos
- Descripción y genética de la displasia fibrosa y sde. McCune-Albright en OMIM (en inglés).
- SIERE: Descripción breve de la displasia fibrosa y dirección de asociaciones de pacientes con esta enfermedad, en español.
- Some aspects of polyostotic fibrous dysplasia: Possible hypothesis to account for the associated endocrine changes. CK Warrick. Clin Radiol. Vol 24. p 125-138. 1973.
- Dedifferentiated chondrosarcoma in Albright syndrome. A case report and review of the literature. T. Ozaki MD et al. JBJS Vol 79-A. No 10. Oct 1997. p 1545.
