Elastosis solar

La elastosis solar (también, elastosis actínica) es un padecimiento asociado con los cambios en el tejido conectivo que reducen la resistencia y la elasticidad de la piel inducido por la exposición a los rayos ultravioleta. La piel presenta sobre todo un tono amarillento disparejo en las zonas afectadas. Con el envejecimiento, la capa externa de la piel (epidermis) se adelgaza, aun cuando el número de capas celulares no se modifica, acumulando tejido elástico en la piel.[1][2]
Signos y síntomas
La elastosis solar causa pocos signos o síntomas. Comienza con la aparición de un todo rojizo en la piel que va aumentando de intensidad a medida que pasa el tiempo, que suele aparecer después de los 40 años. Es desigual o áspero a la superficie común de la piel y puede aparecer junto con una sensación de picor o de ardor. Después, la zona afectada comienza a volverse gruesa, amarilla y con la presencia de surcos, protuberancias o arrugas.[cita requerida]
Estas lesiones aparecen primero en las áreas de la piel expuestas al sol más prolongadas, como la cara, los labios, los oídos, el cuello, los antebrazos o las manos. Este padecimiento puede aumentar el riesgo de un exceso demelanoma de la piel en los adultos mayores.[3]
Etiología y factores de riesgo
A pesar de que la causa principal de la elastosis solar es la exposición excesiva de la piel a la luz solar, los trastornos del tejido también presentarse o aumentar si la persona presenta,[1] por ejemplo:
- enfermedades vasculares como la arteriosclerosis
- diabetes
- cardiopatía
- enfermedad hepática
- deficiencias nutricionales
- obesidad
- reacciones a medicamentos
- estrés
También existen factores externos como:
- alergias a plantas y otras sustancias
- el clima
- algunos tipos de prendas de vestir
- exposición a sustancias químicas industriales y domésticas
- la calefacción el hogar
La exposición a los rayos ultravioleta también se ha vinculado directamente con el cáncer de piel, así como el epitelioma de células basales, el carcinoma escamocelular y el melanoma.[cita requerida]
De igual forma, varias circunstancias pueden aumentar el riesgo de elastosis solar como, por ejemplo, la exposición a largo plazo a la radiación ultravioleta de la luz del sol, los niveles bajos de melanina en la piel, especialmente si la persona es de piel clara, y los bajos niveles de inmunidad.[4]
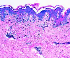
Diagnóstico
El diagnóstico se puede hacer analizando el aspecto distintivo de piel amarilla y gruesa en la zona del cuerpo afectada. La elastosis solar también puede diagnosticarse mediante una biopsia de la piel. Esto daría como resultado la baja de la eosina que mancha en las capas superiores de la piel, lo que da por resultado una mancha de óxido. Si algunas de estas lesiones no se detectan a tiempo, pueden llegar a convertirse en cáncer de piel, que es un tipo de cáncer que sí puede curarse si se da tratamiento oportuno, por lo que se recomienda una revisión anual, a fin de reducir el riesgo.[3]
Tratamiento
La eficacia de las opciones de tratamiento para la piel afectada por la elastosis solar varía según el caso, pero algunas son:[5]
- aplicación tópica de ácido retinoico
- inyección de ácido hialurónico en la dermis
- dermoabrasión
- rellenos dérmicos
- rejuvenecimiento con láser de dióxido de carbono
- terapia de estrógenos tópicos
- ungüento de tacrolimus
- tratamientos láser ablativos y no ablativos
- Inyecciones de neurotoxinas (toxina botulínica).
Prevención
Para conservar la piel en estado saludable, deben tomarse ciertas medidas de seguridad, sobre todo si la persona es de tez blanca, ya que el riesgo es mayor. La exposición al sol debe evitarse especialmente entre las 10 de la mañana y las 2 de la tarde, que es cuando la intensidad de la luz del sol se vuelve más intensa. El uso de la protección solar es vital para proteger la piel contra los efectos dañinos de la luz del sol. La protección solar debe aplicarse por lo menos 15 minutos antes de salir, y debe renovarse regularmente cada dos horas. Además, es importante verificar con regularidad el estado de salud de la piel con un/a especialista.[4]
Referencias
- ↑ a b «Cambios en la piel por el envejecimiento: MedlinePlus enciclopedia médica». medlineplus.gov. Consultado el 12 de marzo de 2020.
- ↑ `Elastosis
- ↑ a b «Elastosis solar/Elastosis actínico». News-Medical.net (en inglés). 30 de agosto de 2017. Consultado el 12 de marzo de 2020.
- ↑ a b «Prevención de elastosis solar». News-Medical.net (en inglés). 5 de septiembre de 2017. Consultado el 12 de marzo de 2020.
- ↑ Cidranes, Dr Prof Ernesto Delgado. «Elastosis solar: causas, síntomas, tratamiento, prevención, fisiopatología, diagnóstico». Dolor (en inglés estadounidense). Consultado el 12 de marzo de 2020.