Enfermedad de Bowen
| Enfermedad de Bowen | ||
|---|---|---|
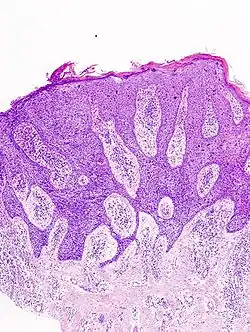
![]() Enfermedad de Bowen, corte histológico visto bajo microscopio. | ||
| Especialidad |
oncología dermatología | |
La enfermedad de Bowen es una forma de carcinoma epidermoide (in situ), originalmente descrito en 1912 por John T. Bowen. Suele ser persistente y progresivo, con posible malignización, aunque también puede haber regresión parcial de la lesión. Los estudios parecen indicar que el riesgo de carcinoma invasivo es de un 3%.[1]
Fisiopatología
Se considera que la queratosis actínica y la ingestión de arsénico inorgánico pueden ser factores etiológicos en el desarrollo de la enfermedad de Bowen. El Virus del Papiloma Humano también puede ser causa de esta patología, especialmente el HPV16. Otras asociaciones, como genéticas, traumáticas o radiaciones podrían estar en el origen del cuadro.
Histología
La epidermis es remplazada por queratinocitos anormales con desórdenes en la maduración y perdida de polaridad. El estudio histológico de la enfermedad de Bowen muestra una acantosis epidérmica con presencia de queratinocitos atípicos, con alteración de la morfología normal, ausencia de maduración y mitosis que afectan a todo el espesor de la epidermis.
Clínica
Clínicamente se presenta como pápula, mácula o placa, bien delimitada, escamosa, eritematosas, descamativas, de crecimiento centrífugo lento, que pueden asemejarse a las lesiones de psoriasis, pero son mucho más estables y no responden al tratamiento con corticoides. La mayoría son lesiones solitarias, se extienden por todo el espesor de la epidermis, aunque la membrana basal permanece intacta. Ocurre predominantemente en mujeres, es rara en menores de 30 y afecta frecuentemente a mayores de 60 años.
Diagnóstico diferencial
- Psoriasis
- Eczema crónico
- Carcinoma basocelular superficial
- Enfermedad de Paget cutánea
Tratamiento
Criocirugía, coagulación o extirpación quirúrgica de la lesión, con el objetivo de destruirla.
Véase también
Referencias
1. http://www.bad.org.uk/healthcare/guidelines/bd.asp Archivado el 28 de septiembre de 2007 en Wayback Machine.
Enlaces externos
Wikimedia Commons alberga una categoría multimedia sobre Enfermedad de Bowen.- http://www.emedicine.com/derm/topic59.htm
- https://web.archive.org/web/20070928080245/http://www.bad.org.uk/healthcare/guidelines/bd.asp
- Atlas dermatológico: http://www.iqb.es/dermatologia/atlas/bowen.htm
.jpg)