Enfermedad relacionada con IgG4
| Enfermedad relacionada con IgG4 | ||
|---|---|---|
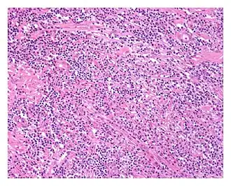
![]() Vista de bajo aumento de la prostatitis relacionada con IgG4. El estroma prostático muestra un denso infiltrado inflamatorio y fibrosis ( H&E , 100x) | ||
| Especialidad |
reumatología inmunología | |
La enfermedad relacionada con IgG4 (IgG4-RD), anteriormente conocida como enfermedad sistémica relacionada con IgG4, es una afección inflamatoria crónica caracterizada por infiltración tisular con linfocitos y células plasmáticas secretoras de IgG4, diversos grados de fibrosis (cicatrización) y una respuesta generalmente rápida a esteroides orales. En aproximadamente el 51-70% de las personas con esta enfermedad, las concentraciones séricas de IgG4 están elevadas durante una fase aguda.[1][2] [3] Es una enfermedad remitente-recurrente asociada con una tendencia a formar masas y lesiones destructivas de tejidos en múltiples sitios, con una apariencia histopatológica característica en cualquier sitio involucrado. La inflamación y el depósito de tejido conectivo en los sitios anatómicos afectados pueden provocar disfunción orgánica, insuficiencia orgánica o incluso la muerte si no se tratan.[4] La detección temprana es importante para evitar daños a los órganos y complicaciones potencialmente graves.[5] Se recomienda el tratamiento en todos los casos sintomáticos de IgG4-RD y también en los casos asintomáticos de IgG4-RD que afecten a ciertos sitios anatómicos.
Signos y síntomas
La enfermedad relacionada con IgG4 se ha descrito como una afección indolente. Aunque posiblemente se basen en opiniones más que en evaluaciones objetivas, los síntomas, si los hay, comúnmente se describen como leves en la literatura médica.[6] Esto puede ocurrir a pesar de una considerable destrucción de órganos subyacente. A menudo se describe que las personas se encuentran bien en general en el momento del diagnóstico, aunque algunas pueden dar antecedentes de pérdida de peso. El dolor generalmente no es una característica de la inflamación. Sin embargo, puede ocurrir como un efecto secundario, por ejemplo, debido a una obstrucción o compresión. Niveles de laboratorio de IGG4 superiores a 135 Además, el diagnóstico se realiza debido a la presencia de inflamaciones indoloras o lesiones masivas, o debido a complicaciones de las masas, por ejemplo, ictericia debido a la afectación del páncreas, el árbol biliar o el hígado. Los síntomas comúnmente se atribuyen a otras afecciones y es posible que se hayan realizado otros diagnósticos años antes del diagnóstico, por ejemplo, síntomas urinarios en hombres atribuidos a afecciones comunes de la próstata. Las lesiones también pueden detectarse incidentalmente en imágenes radiológicas, pero pueden fácilmente diagnosticarse erróneamente como neoplasias malignas. Sin embargo, los casos notificados incluyen algunos síntomas o hallazgos importantes.
Referencias
- ↑ Wallace, Zachary S.; Deshpande, Vikram; Mattoo, Hamid; Mahajan, Vinay S.; Kulikova, Maria; Pillai, Shiv; Stone, John H. (2015-9). «IgG4-Related Disease: Baseline clinical and laboratory features in 125 patients with biopsy-proven disease». Arthritis & rheumatology (Hoboken, N.J.) 67 (9): 2466-2475. ISSN 2326-5191. PMC 4621270. PMID 25988916. doi:10.1002/art.39205. Consultado el 19 de febrero de 2024.
- ↑ Stone, John H.; Khosroshahi, Arezou; Deshpande, Vikram; Chan, John K.C.; Godfrey Heathcote, J.; Aalberse, Rob; Azumi, Atsushi; Bloch, Donald B. et al. (2012-10). «IgG4-Related Disease: Recommendations for the Nomenclature of this Condition and its Individual Organ System Manifestations». Arthritis and rheumatism 64 (10): 3061-3067. ISSN 0004-3591. PMC 5963880. PMID 22736240. doi:10.1002/art.34593. Consultado el 19 de febrero de 2024.
- ↑ Deshpande, Vikram, Yoh Zen, John KC Chan, Eunhee E Yi, Yasuharu Sato, Tadashi Yoshino, Günter Klöppel, et al. 2012. «Harvard Library» [Declaración de consenso sobre la enfermedad relacionada con IG4]. Consultado el 19 de febrero de 2024. «Consensus statement on the pathology of IgG4-related disease. Modern Pathology 25(9): 1181–1192.»
- ↑ Khosroshahi, A.; Wallace, Z. S.; Crowe, J. L.; Akamizu, T.; Azumi, A.; Carruthers, M. N.; Chari, S. T.; Della‐Torre, E. et al. (2015-07). «International Consensus Guidance Statement on the Management and Treatment of IgG4‐Related Disease». Arthritis & Rheumatology (en inglés) 67 (7): 1688-1699. ISSN 2326-5191. doi:10.1002/art.39132. Consultado el 19 de febrero de 2024.
- ↑ «2015 ig g4 related disease». SlideShare. 19 de abril de 2015. Consultado el 19 de febrero de 2024.
- ↑ Al-Khalili, Orwah M.; Erickson, Alan R. (2018). «IgG-4 Related Disease: An Introduction». Missouri Medicine 115 (3): 253-256. ISSN 0026-6620. PMC 6140155. PMID 30228732. Consultado el 19 de febrero de 2024.
