Epidídimo
| Epidídimo | ||
|---|---|---|
![]() Epidídimo en color A= Cabeza. B= Cuerpo. C= Cola. D= Conducto deferente. Testículo humano. | ||
![]() Epididymis= epidídimo, expuesto al abrir el escroto. | ||
| Nombre y clasificación | ||
| Latín | [TA]: epididymis | |
| TA | A09.3.02.001 | |
| Gray | pág.1242 | |
| Información anatómica | ||
| Arteria | Arteria espermática | |
| Vena | Plexo pampiniforme | |
| Precursor | Conducto de Wolff | |
|
| ||
El epidídimo[1] es una estructura de forma tubular estrecha y alargada, que está constituido por la reunión y apelotonamiento de los túbulos que continúan a los conductos seminíferos. Se encuentra situado en la parte posterior de la gónada masculina (testículo), y su tamaño anatómico es de aproximadamente 5 centímetros de longitud. Se acostumbra distinguir tres sectores: cabeza, cuerpo y cola, la cual se continúa con el conducto deferente.
La función del epidídimo es el transporte, el almacenamiento y la maduración de los espermatozoides, para desarrollar su motilidad y su capacidad de fertilización.
Embriología
El epidídimo se desarrolla a partir de los túbulos mesonéfricos y el conducto de Wolff proximal.
Durante la etapa embrionaria, y antes de la diferenciación epitelial, el receptor mesenquimales de andrógenos, junto con la inhibina beta A, facilitan el alargamiento y la convolución/enrollamiento del túbulo.[2]
Al principio del desarrollo del epidídimo, el enrollamiento se produce en un solo plano, pero luego se observa el enrollamiento tridimensional (3-D) en el segmento inicial (IS) y en el caput del epidídimo.
En el momento del nacimiento, el conducto de Wolff anterior se transforma completamente en las tres regiones del epidídimo a lo largo del eje anterior/posterior.[3]
Estructura
El epidídimo es un órgano altamente especializado, con unidad estructural, que presenta características de conducto tortuoso y replegado. Forma parte del aparato reproductor masculino.[4]
Anatomía

El epidídimo se dispone en forma de medialuna, sobre una franja que se extiende desde el polo craneal al polo caudal del testículo.[5]
La anatomía macroscópica del epidídimo muestra, en el hombre, una longitud aproximada de 3,8-5 centímetros (cm) por 12 milímetros (mm) de ancho.
Para su descripción anatómica, se acostumbra a dividirlo en tres zonas observables, según su similitud en:
- cabeza (caput en latín), situada en el polo craneal del testículo,
- cuerpo (corpus en latín), y
- cola (cauda en latín), que se continua con el conducto deferente.[6]
La longitud total del epidídimo, si pudiéramos desenrrollarlo hasta obtener un único túbulo aislado, varía entre las diferentes especies de mamíferos. La longitud estimada, del epidídimo adulto, alcanza: más de 1 metro (m) en el ratón, 3 metros en la rata, 6 metros en el humano y 15-18 metros en el caballo.[3]
- En el hombre
Una particularidad del epidídimo del hombre son los segmentos poco diferenciados: el caput no muestra el aspecto bulboso clásico, la cauda no muestra los túbulos dilatados y su capacidad de reserva de esperma es limitada.[7]
Histología

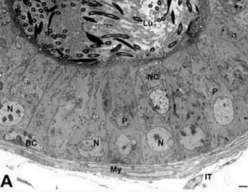
Anatomía microscópica (derecha). Ratón.
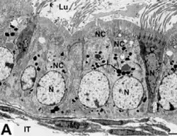
El epidídimo está conformado en la cabeza (caput) por conductillos eferentes, que parten de la rete testis,[8] y en el cuerpo y la cola por el conducto epididimario.

- Los conductillos eferentes

y el segmento inicial (IS) son un túbulo poco enrollado y de diámetro amplio. Las células epiteliales de este segmento son alargadas y poseen estereocilios altos.
El segmento de la cabeza (caput) se caracteriza por un diámetro luminal estrecho. Están tapizados por epitelio pseudoestratificado con células ciliadas, y rodeados por tejido conjuntivo y fibras musculares lisas.[4]

- El conducto epididimario
tiene un diámetro de luz que aumenta distalmente dentro del cuerpo (corpus) y la cola (cauda) del epidídimo.
El cuerpo y la cola están recubiertos con un epitelio pseudoestratificado cilíndrico con estereocilios. La altura de las células y de los cilios disminuye hacia la cola.[9][10]
Los diferentes tipos de células dentro de estos segmentos son responsables de la creación de un microambiente especializado por sus funciones secretoras y endocíticas, que promueve la maduración de los espermatozoides y su posterior almacenamiento.[4]
- En el hombre
En el epidídimo del hombre los tabiques de tejido conectivo son poco desarrollados en la sección histológica longitudinal, son incompletos y no definen compartimentos.
Los conductos eferentes en los hombres, no son pequeños túbulos rectos, que conectan la rete testis con el túbulo epididimario. Algunos eferentes están enrollados, algunos están ramificados, mientras que otros son infinitos y no se fusionan con el túbulo epididimario.
El diámetro intraluminal del túbulo epididimario es relativamente pequeño todo a lo largo del órgano.[7]
Las células basales son el sello distintivo del epidídimo del hombre, residen en la base del epitelio a lo largo de todo el órgano.
Los conductos eferentes se caracterizan por numerosas células ciliadas que se distribuyen de manera abundante y uniforme.[11]
Células del epidídimo
Las células que revisten el conducto epididimario forman un Epitelio pseudoestratificado y son denominadas:

BM= membrana basal. My=célula mioide.
- células principales (Principal cell),
- células estrechas (Narrow cell),
- células apicales,
- células claras (Clear cell),
- células basales y
- células halo (Halo cell).
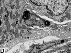
- Además, una población de fagocitos mononucleares (células dendríticas y macrófagos) residen en la base del epitelio junto con las células halo migratorias.
En cada una de las cuatro regiones principales: segmento inicial, caput, corpus y cauda, este conjunto de células definen la integridad estructural del túbulo y también la composición del contenido del lumen.[12][13]

- Célula principal
es el tipo de célula más numerosa en el epitelio del epidídimo y existen a lo largo de todo el conducto. Representan el 65-80 % del epitelio epididimario dependiendo de la región. Poseen una modificación celular inmóvil denominada estereovilli o estereocilia, que son extensiones apicales con forma de penacho o mechón (tuft) de 5-10 micrómetros (μm) de longitud.
- Célula apical
Se localizan, principalmente, en el segmento inicial (IS) del epitelio epididimario y también tienen actividad endocítica.
- Célula estrecha
Este tipo de células también existe exclusivamente dentro del segmento inicial. Son más estrechas que las células principales adyacentes. Se ha demostrado que estas células secretan iones H+ en la luz del epidídimo y son responsables de la endocitosis.
- Célula clara
Se encuentran exclusivamente dentro de las regiones de la cabeza, el cuerpo y la cola del epidídimo y no se encuentran dentro del segmento inicial (IS). Tienen alta actividad endocítica.
- Célula basal
Se encuentran a lo largo del túbulo y se adhieren a la membrana basal. Son una parte integral de la estructura de los túbulos.
Son responsables de absorber las gotitas citoplasmáticas que se liberan de los espermatozoides durante la maduración en la luz del epidídimo.
- Célula halo
Existen en todo el epitelio y son las células inmunitarias primarias en el epidídimo. Además, una población de fagocitos mononucleares (células dendríticas y macrófagos) residen en la base del epitelio junto con las células halo migratorias.[12]
El epitelio epididimario está rodeado por tejido conjuntivo. El músculo liso es más delgado en la cabeza con una sola capa de células mioide y se vuelve progresivamente más grueso con tres capas hacia la cola del epidídimo.
Función

El epidídimo es un importante órgano sexual masculino accesorio, en el que se desarrolla la movilidad de los espermatozoides y su capacidad de fertilización.
Desde el punto de vista funcional, los conductos del epidídimo son los responsables tanto de la maduración como de la activación de los espermatozoides.[13]
El epidídimo tiene roles bien descritos, como la concentración, la protección, el transporte y el almacenamiento de espermatozoides.[14]
- Tránsito
Un tiempo de tránsito a lo largo de la luz de los conductos del epidídimo, es crucial para transformar los espermatozoides, de un estado infértil e inmóvil, en células con capacidad de fertilización completa. La composición del líquido del lumen, que baña los espermatozoides, se considera uno de los sistemas más complejos del cuerpo en términos de componentes químicos e interacciones físicas con proteínas y lípidos.[12]
El tiempo de tránsito de los espermatozoides es rápido en el hombre 2-6 días, en comparación con los roedores 10-13 días. Se especula que la maduración de los espermatozoides puede ocurrir más rápidamente en el hombre.[15]
Barrera hemato-epididimaria
Dentro del túbulo, el contenido del lumen y los espermatozoides en maduración, están protegidos de la vigilancia inmunitaria detrás de una barrera sangre-epidídimo (BEB en inglés) o barrera hemato-epididimaria. Esta barrera consta de tres componentes: una barrera anatómica, una barrera fisiológica y una barrera inmunológica.[4]
- La barrera anatómica está formada por uniones estrechas, formadas en las membranas basolateral y apical de las células principales, que impiden que las moléculas y las células entren o salgan de la luz. La zonula occludens del epidídimo está bien desarrollada y su ultraestructura, muestra una extensa malla de unión estrecha. Estos complejos de unión entre las células epiteliales del túbulo del epidídimo, contienen muchas proteínas, como claudias, conexinas y cateninas.
- La barrera fisiológica está compuesta por transportadores y canales. Los transportadores específicos, ubicados a lo largo de las membranas basolateral y apical de las células epiteliales del epidídimo, regulan el movimiento de moléculas dentro o fuera de la luz del túbulo. La barrera fisiológica es un reflejo de la permeabilidad de las membranas basolateral y apical a las moléculas.
Esta barrera fisiológica es necesaria para crear el microambiente apropiado dentro del epitelio y el lumen para el desarrollo (meiosis y diferenciación) y la maduración de los espermatozoides. - La barrera inmunológica está constituida por diferentes componentes inmunes dentro y fuera del túbulo, que limitan el acceso del sistema inmunológico. Su función es proteger a los espermatozoides del ataque de este sistema, mediante el secuestro de los antígenos de los espermatozoides y de la restricción de la entrada de inmunoglobulinas y células inmunes.
Estos tres componentes determinan una resultante restrictiva, que disminuye o controla la entrada de moléculas o incluso de células desde la sangre circulante o desde el intersticio, para que no entren en este tejido y compartimento.[16]
El epidídimo contribuye en la formación del plasma seminal a partir de la generación del fluido de cauda epididimal (FCE, también conocido como fluido de cauda epididimario). Este fluido es de naturaleza ácida y contiene proteínas como la β-N-acetilglucosaminidasa y la fibronectina, sintetizadas en el epidídimo y que participan en la maduración de los espermas.[17] En el momento de la eyaculación, los espermatozoides inmersos en el FCE son expulsados hacia los conductos deferentes a partir de las contracciones del músculo liso alrededor de la cola del epidídimo.[18]
Durante el tránsito de los espermatozoides a lo largo del epidídimo, se producen una amplia variedad de cambios en el entorno de la luz del túbulo. Estos cambios incluyen la liberación y absorción de fluidos, iones, antioxidantes y los exosomas conocidos como epididimo-somas.[14]
En casos de azoospermia (cuando no hay espermatozoides evidentes en la eyaculación), si los testículos siguen produciendo espermatozoides, la forma de obtenerlos es entrar al epidídimo mediante una punción, ya que en esta zona habrá una alta concentración de espermatozoides.[19]
En biología animal
- Situado en la porción superior y lateral del testículo.
- Presenta una sección triangular al corte.
- Responsable de la maduración de los gametos masculinos.
- Estructura:
- Cabeza: longitud variable según la especie. Su función principal es reabsorber agua.
- Conductos eferentes.
- Células (basales o profundas, glandulares, con estereocilias).
- Cuerpo o conducto: los espermatozoides terminan su maduración.
- Cola: conexión al conducto deferente. Es el sitio de almacenamiento de los espermatozoides maduros.
- Cabeza: longitud variable según la especie. Su función principal es reabsorber agua.
- Tiempo de recorrido: tiempo de regeneración.
Los conductos del epidídimo también almacenan espermatozoides y los expulsan hacia la uretra durante la eyaculación mediante contracciones peristálticas de su músculo liso. Los espermatozoides pueden permanecer almacenados en los conductos del epidídimo o se reabsorben.
Enfermedades
- Una infección que ataca directamente al epidídimo es la epididimitis, que produce inflamación del mismo epidídimo y del escroto, produciendo un fuerte dolor testicular, también produce fiebre leve a moderada.
La infección y la inflamación del epidídimo están involucradas en 13-15 % de los casos de infertilidad humana por factor masculino.[13] - Los quistes del epidídimo son una patología bastante frecuente. Estas lesiones, generalmente benignas, se ubican principalmente en la cabeza del epidídimo. Son lesiones solitarias o múltiples con contenido acuoso, linfocitos, espermios y abundantes células descamadas. El número y el tamaño son variables pudiendo ir desde milímetros (mm) a centímetros (cm). Ocasionan desde molestias inespecíficas hasta dolor intenso asociado con el aumento de volumen y la deformación secundaria del epidídimo.
- Los tumores del epidídimo en el hombre representan menos del 5 % de todos los tumores para-testiculares.
El 80 % de los tumores del epidídimo son benignos. Se presentan entre la tercera y la cuarta décadas de la vida, generalmente son asintomáticos y de crecimiento lento.[20]
Véase también
Referencias
- ↑ OMS,OPS (ed.). «Epidídimo». Descriptores en Ciencias de la Salud, Biblioteca Virtual de Salud.
- ↑ Björkgren I.; Saastamoinen L.; Krutskikh A.; Huhtaniemi I.; Poutanen M.; Sipilä P. (2012). «Dicer1 Ablation in the Mouse Epididymis Causes Dedifferentiation of the Epithelium and Imbalance in Sex Steroid Signaling.». PLoS ONE 7 (6): e38457. doi:10.1371/journal.pone.0038457. Consultado el 31 de diciembre de 2021.
- ↑ a b Joseph A.; Yao H.; Hinton B.T. (2009). «Development and morphogenesis of the Wolffian/epididymal duct, more twists and turns». Dev Biol. (Revisión) 325 (1): 6-14. doi:10.1016/j.ydbio.2008.10.012. Consultado el 31 de diciembre de 2021.
- ↑ a b c d Zhou W.; De Iuliis G.N.; Dun M.D.; Nixon B. (2018). «Characteristics of the Epididymal Luminal Environment Responsible for Sperm Maturation and Storage». Frontiers in Endocrinology (Revisión). Reproduction. doi:10.3389/fendo.2018.00059. Consultado el 28 de diciembre de 2021.
- ↑ Rodríguez‐Martínez (2011). «Seminal Plasma Proteins: What Role Do They Play?: Functions of seminal plasma proteins».
- ↑ Jiménez-Severiano, Héctor; Velázquez, Anahy Danae Vargas (2016). «Estudio morfométrico de los epidídimos durante el desarrollo postnatal de corderos Barbados Blackbelly». Revista Mexicana de Ciencias Pecuarias 7 (1): 53-68. ISSN 2007-1124. Consultado el 23 de julio de 2020.
- ↑ a b Sullivan R.; Mieusset R. (2016). «The human epididymis: its function in sperm maturation». Hum Reprod Update (Revisión) 22 (5): 574-587. doi:10.1093/humupd/dmw015.
- ↑ OMS,OPS (ed.). «Red testicular». Descriptores en Ciencias de la Salud, Biblioteca Virtual de Salud.
- ↑ Browne, James A.; Yang, Rui; Leir, Shih-Hsing; Eggener, Scott E.; Harris, Ann (1 de febrero de 2016). «Expression profiles of human epididymis epithelial cells reveal the functional diversity of caput, corpus and cauda regions.». Molecular Human Reproduction (en inglés) 22 (2): 69-82. ISSN 1360-9947. doi:10.1093/molehr/gav066. Consultado el 30 de agosto de 2020.
- ↑ Sharma S.; Hanukoglu I. (2019). «Mapping the sites of localization of epithelial sodium channel (ENaC) and CFTR in segments of the mammalian epididymis». Journal of Molecular Histology (en inglés) (Researchgate) 50 (2): 141-154. doi:10.1007/s10735-019-09813-3. Consultado el 10 de enero de 2022.
- ↑ Sullivan R.; Légaré C.; Lamontagne-Proulx J.; Breton S.; Soulet D. (2019). «Revisiting structure/functions of the human epididymis». Andrology (en inglés) 7 (5): 748-757. doi:10.1111/andr.12633. Consultado el 8 de diciembre de 2022.
- ↑ a b c Oliveira R.; Hermo L.; Pshezhetsky AV.; Morales CR. (2018). «Presence of aberrant epididymal tubules revealing undifferentiated epithelial cells and absence of spermatozoa in a combined neuraminidase-3 and -4 deficient adult mouse model.». PLoS ONE (en inglés) 13 (10): e0206173. doi:10.1371/journal.pone.0206173. Consultado el 29 de diciembre de 2021.
- ↑ a b c Zhao H.; Yu. C.; He C.; Mei C.; Liao A.; Huang D. (2020). «The Immune Characteristics of the Epididymis and the Immune Pathway of the Epididymitis Caused by Different Pathogens.». Frontiers in Immunology. (Revisión). Mucosal Immunity. doi:10.3389/fimmu.2020.02115. Consultado el 1 de enero de 2022.
- ↑ a b James E.R.; Carell D.T.; Aston K.I.; Jenkins T.G.; Yeste M.; Salas-Huetos A. (2020). «The Role of the Epididymis and the Contribution of Epididymosomes to Mammalian Reproduction». Int. J. Mol. Sci. (Revisión). Special Issue Extracellular Vesicles in Reproduction (MDPI) 21 (15): 5377. Consultado el 30 de diciembre de 2021.
- ↑ Cornwall G.A. (2009). «New insights into epididymal biology and function». Human Reproduction Update 15 (2): 213-227. Consultado el 8 de enero de 2022.
- ↑ Mital P.; Hinton B.T.; Dufour J.M. (2011). «The Blood-Testis and Blood-Epididymis Barriers Are More than Just Their Tight Junctions». Biol Reprod. (en inglés) 84 (5): 851-858. doi:10.1095/biolreprod.110.087452. Consultado el 8 de enero de 2022.
- ↑ Miranda, Patricia V. (1993). «Estudio sobre proteínas epididimarias humanas y su posible caracterización como factores de maduración de espermatozoides». Tesis Doctoral (Universidad de Buenos Aires. Facultad de Ciencias Exactas y Naturales): 55, 90, 172-173. Consultado el 23 de julio de 2020.
- ↑ Regalado Sánchez, Francisco Ignacio (1992). «Proteínas de secreción del epidímo de caracterización y regulación por anuro temperatura». Tesis Doctoral (Madrid: Universidad Complutense de Madrid). Consultado el 23 de julio de 2020.
- ↑ Esteves, Sandro C.; Miyaoka, Ricardo; Agarwal, Ashok (2011-10). «Sperm retrieval techniques for assisted reproduction». International braz j urol 37 (5): 570-583. ISSN 1677-5538. doi:10.1590/S1677-55382011000500002. Consultado el 29 de diciembre de 2021.
- ↑ Rodríguez Collar T.L. (2014). «Diagnóstico y tratamiento de los tumores del epidídimo». Rev Cub Med Mil (Revisión) (SciELO) 43 (3 Cuba). Consultado el 7 de enero de 2022.
Bibliografía
- Rodríguez-Martínez, Heriberto; Kvist, Ulrik; Ernerudh, Jan; Sanz, Libia; Calvete, Juan J. (2011-07). «Seminal Plasma Proteins: What Role Do They Play?: Functions of seminal plasma proteins». American Journal of Reproductive Immunology (en inglés) 66: 11-22. doi:10.1111/j.1600-0897.2011.01033.x.






