Espermatocito
Los espermatocitos son un tipo de gametocito masculino en los animales. Derivan de células germinales inmaduras e indiferenciadas denominadas espermatogonias. Se encuentran en los testículos, en una estructura conocida como los túbulos seminíferos.[1] Hay dos tipos de espermatocitos, los espermatocitos primarios y los espermatocitos secundarios, estos se forman a través del proceso de espermatogénesis.[2]
Los espermatocitos primarios son células diploides (2N). Después de la meiosis I, se forman dos espermatocitos secundarios. Los espermatocitos secundarios son células haploides (N) que contienen la mitad de los cromosomas.[1]
Todos los animales machos producen espermatocitos, incluso los hermafroditas como C. elegans, que existen como machos o hermafroditas. En los hermafroditas C. elegans, ocurre primero la producción de esperma que luego se almacena en la espermateca.[3]
Desarrollo

_Grasshopper_testes_(Spermatogonia).jpg)
En la pubertad, las espermatogonias localizadas a lo largo de las paredes de los túbulos seminíferos dentro de los testículos comenzarán a dividirse mitóticamente, formando dos tipos de células A que contienen un núcleo de forma ovalada con un nucleolo adherido a la envoltura nuclear; una es oscura (Ad) y la otra es pálida (Ap). Las células Ad son espermatogonias que permanecerán en el compartimiento basal (región exterior del túbulo); estas células son células madre espermatogoniales de reserva que no suelen sufrir mitosis. Las del tipo Ap son células madre espermatogónicas que se dividen activamente y comienzan la diferenciación hacia la espermatogonia del tipo B, que tienen núcleos redondos y heterocromatina adherida a la envoltura nuclear y al centro del nucleolo.[4] Las células de tipo B se dirigirán al compartimiento adluminal (hacia la región interna del Lumen (biología) del lumen del túbulo) y se convertirán en espermatocitos primarios; este proceso tarda unos 16 días en completarse[2][5]
Los espermatocitos primarios dentro del compartimiento adluminal continuarán hasta la Meiosis I y se dividirán en dos células hijas, conocidas como espermatocitos secundarios, un proceso que toma 24 días para completarse. Cada espermatocito secundario formará dos espermátidas después de la Meiosis II.[1]
Aunque los espermatocitos que se dividen mitóticamente y meióticamente son sensibles a la radiación y al cáncer, las células madre de los espermatogonias no lo son. Por lo tanto, tras la terminación de la radioterapia o la quimioterapia, las células madre de la espermatogonia pueden reiniciar la formación de la espermatogénesis.[6]

Papel de las hormonas
La formación de espermatocitos primarios (un proceso conocido como espermatocitogénesis ) comienza en los seres humanos cuando un hombre madura sexualmente en la pubertad, alrededor de los 10 a los 14 años.[7] La formación se inicia con las oleadas pulsantes de hormona liberadora de gonadotropina (GnRH) del hipotálamo, que conduce a la secreción de hormona estimulante del folículo (FSH) y hormona luteinizante (LH) producida por la glándula pituitaria anterior. La liberación de FSH en los testículos mejorará la espermatogénesis y conducirá al desarrollo de células de Sertoli, que actúan como células de crianza donde las espermátidas madurarán después de la Meiosis II. La LH promueve la secreción de testosterona en las células de Leydig hacia los testículos y la sangre, lo que induce la espermatogénesis y ayuda a la formación de las características sexuales secundarias. A partir de este momento, la secreción de FSH y LH (que induce la producción de testosterona) estimulará la espermatogénesis hasta que el hombre muera.[8] El aumento de las hormonas FSH y LH en los hombres no aumentará la tasa de la espermatogénesis. Sin embargo, con la edad, la tasa de producción disminuirá, incluso cuando la cantidad de hormona secretada sea constante; esto se debe a mayores tasas de degeneración de las células germinales durante la profase meiótica.[1]
Resumen de los tipos de célula
En el cuadro siguiente, la ploidía, el número de copias y los recuentos de cromosomas/cromátides enumerados corresponden a una sola célula, generalmente antes de la síntesis y división del ADN (en G1, si procede). Los espermatocitos primarios se detienen después de la síntesis de ADN y antes de la división.[1]
| Célula | Tipo | Ploidía/Cromosomas en humanos | Número de copias de ADN/Cromátidas en humanos | Proceso inducido por la célula | Duración |
|---|---|---|---|---|---|
| espermatogonio (tipos Ad, Ap y B) | células germinales | diploide (2N)/46 | 2C/46 | espermatocitogénesis (mitosis) | 16 días |
| espermatocito primario | gametocito masculino | diploide (2N) / 46 | 4C/2x46 | espermatocitogénesis (meiosis I) | 24 días |
| espermatocito secundario | gametocito masculino | haploide (N)/23 | 2C/46 | espermatidogénesis (meiosis II) | Unas pocas horas |
| espermátidas | gamétido masculino | haploide (N)/23 | 1C/23 | espermiogénesis | 24 días |
| espermatozoides | esperma | haploide (N)/23 | 1C/23 | espermiacion | 64 días (total) |
Fisiología
Daño, reparación y falla
Los espermatocitos regularmente superan las roturas de doble cadena y otros daños en el ADN en la etapa de profase de la meiosis. Estos daños pueden surgir por la actividad programada de Spo11, una enzima empleada en la recombinación meiótica, así como por roturas no programadas en el ADN, como las causadas por radicales libres oxidativos producidos como productos del metabolismo normal. Estos daños son reparados por vías de recombinación homóloga y utilizan RAD1 y γH2AX, que reconocen roturas de doble cadena y modifican la cromatina, respectivamente. Como resultado, las roturas de doble cadena en las células meióticas, a diferencia de las células mitóticas, no suelen provocar apoptosis o muerte celular.[9] La reparación recombinacional homóloga (HRR, por sus siglas en inglés) de roturas de doble cadena ocurre en ratones durante las etapas secuenciales de la espermatogénesis, pero es más prominente en los espermatocitos.[10] En los espermatocitos, los eventos de HRR ocurren principalmente en la etapa de paquiteno de la meiosis y predomina el tipo de conversión de genes de HRR, mientras que en otras etapas de la espermatogénesis es más frecuente el tipo de HRR de intercambio recíproco. Durante la espermatogénesis de ratón, las frecuencias de mutación de las células en las diferentes etapas, incluidos los espermatocitos de paquiteno, son de 5 a 10 veces más bajas que las frecuencias de mutación en las células somáticas.[11] Debido a su elevada capacidad de reparación del ADN, los espermatocitos probablemente desempeñen un papel central en el mantenimiento de estas tasas de mutación más bajas y, por lo tanto, en la preservación de la integridad genética de la línea germinal masculina.
Se sabe que los reordenamientos cromosómicos heterocigotos producen alteraciones o fallos espermatogénicos; sin embargo, los mecanismos moleculares que lo provocan no son tan conocidos. Se sugiere que un mecanismo pasivo que implica la agrupación de regiones asinápticas en los espermatocitos es una posible causa. La región asináptica está asociada con la presencia de BRCA1, la quinasa ATR y γH2AX en los espermatocitos de paquiteno.[12]
Mutaciones específicas

El gen Estimulado Por el Ácido Retinoico 8 (STRA8) es necesario para la vía de señalización del ácido retinoico en los seres humanos, que conduce a la iniciación de la meiosis. La expresión del STRA8 es mayor en los espermatocitos preleptoténicos (en la etapa más temprana de la profase I en la meiosis) que en la espermatogonia. Se ha demostrado que los espermatocitos mutantes del STRA8 son capaces de iniciar la meiosis; sin embargo, no pueden completar el proceso. Las mutaciones en los espermatocitos leptotenos pueden dar lugar a una condensación cromosómica prematura.[13]
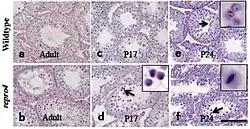
Se ha demostrado que las mutaciones en Mtap2, una proteína asociada a microtúbulos, observada en los espermatocitos mutantes repro4, detienen el progreso de la espermatogénesis durante la profase de la meiosis I. Esto se observa por una reducción en la presencia de espermátidas en mutantes repro4.[14]
Pueden ocurrir mutaciones recombinantes defectuosas en los genes Spo11, DMC1, ATM y MSH5 de los espermatocitos. Estas mutaciones implican un deterioro de la reparación de la rotura de la doble cadena, que puede provocar la detención de la espermatogénesis en la etapa IV del ciclo del epitelio seminífero.[15]
Historia
.jpg)
El proceso de espermatogénesis ha sido dilucidado a lo largo de los años por investigadores que han dividido el proceso en múltiples etapas o fases, dependiendo de factores intrínsecos (células germinales y de Sertoli) y extrínsecos (FSH y LH).[16] El proceso de espermatogénesis en los mamíferos en su conjunto, que implica la transformación celular, la mitosis y la meiosis, ha sido bien estudiado y documentado entre los decenios de 1950 y 1980. Sin embargo, durante los decenios de 1990 y 2000 los investigadores se han centrado en aumentar la comprensión de la regulación de la espermatogénesis por medio de genes, proteínas y vías de señalización, así como en los mecanismos bioquímicos y moleculares que intervienen en esos procesos. Más recientemente, los efectos ambientales en la espermatogénesis se han convertido en un foco de atención a medida que la infertilidad masculina en los hombres se ha hecho más frecuente.[17]
Un descubrimiento importante en el proceso de espermatogénesis fue la identificación del ciclo epitelial seminífero en los mamíferos, trabajo realizado por C.P. Leblound e Y. Clermont en 1952 que estudió la espermatogonía, las capas de espermatocitos y las espermátidas en los túbulos seminíferos de las ratas. Otro descubrimiento fundamental fue el de la cadena hormonal hipotalámica-hipófisis-testicular, que desempeña un papel en la regulación de la espermatogénesis; esto fue estudiado por R. M. Sharpe en 1994.[17]
Otros animales

Los cilios primarios son orgánulos comunes que se encuentran en las células eucariotas; desempeñan un papel importante en el desarrollo de los animales. Drosophila tiene propiedades únicas en los cilios primarios de sus espermatocitos: están ensamblados por cuatro centriolos de forma independiente en la fase G2 y son sensibles a los fármacos dirigidos a los microtúbulos. Normalmente, los cilios primarios se desarrollarán a partir de un centriolo en la fase G0 / G1 y no se ven afectados por los fármacos dirigidos a los microtúbulos.[18]
Mesostoma ehrenbergii es un gusano plano rabdocele con una etapa de meiosis masculina distintiva dentro de la formación de espermatocitos. Durante la etapa de pre-anafase, se forman surcos de escisión en las células de los espermatocitos que contienen cuatro cromosomas univalentes. Al final de la etapa de anafase, hay uno en cada polo que se mueve entre los polos del huso sin que haya realmente interacciones físicas entre ellos (lo que se conoce también como segregación a distancia). Estos rasgos únicos permiten a los investigadores estudiar la fuerza creada por los polos del huso para permitir que los cromosomas se muevan, el control de los surcos de división y la segregación a distancia.[19][20]
Véase también
- Célula germinal
- Célula de Leydig
- Mitosis
- Meiosis
- Célula de Sertoli
- Espermatogénesis
- Espermatogonia
- Espermátida
- Gameto
Referencias
- ↑ a b c d e Boron, Walter F., MD, Ph.D., Editor; Boulpaep, Emile L. (2012). «54». Medical physiology a cellular and molecular approach (Print) (Updated second edición). Philadelphia: Saunders Elsevier. ISBN 978-1-4377-1753-2.
- ↑ a b Schöni-Affolter, Dubuis-Grieder, Strauch, Franzisk, Christine, Erik Strauch. «Spermatogenesis». Archivado desde el original el 1 de febrero de 2022. Consultado el 22 de marzo de 2014.
- ↑ Riddle, ed. (1997). «I, The Biological Model». C. elegans II (2nd edición). Cold Spring Harbor. NY: Cold Spring Harbor Laboratory Press. Consultado el 13 de abril de 2014.
- ↑ Boitani, Carla; Di Persio, Sara; Esposito, Valentina; Vicini, Elena (5 de marzo de 2016). «Spermatogonial cells: mouse, monkey and man comparison». Seminars in Cell & Developmental Biology 59: 79-88. ISSN 1096-3634. PMID 26957475. doi:10.1016/j.semcdb.2016.03.002.
- ↑ Y, Clermont (1966). Renewal of spermatogonia in man. American Journal of Anatomy. pp. 509-524.
- ↑ Tres, Abraham L. Kierszenbaum, Laura L. (2012). Histology and cell biology : an introduction to pathology (3rd edición). Philadelphia, PA: Saunders. pp. Chapter 20. ISBN 9780323078429.
- ↑ Starr, Taggart, Evers, Starr, Cecie, Ralph, Christine, Lisa (1 de enero de 2012). Animal Structure & Function. Cengage Learning. p. 736. ISBN 9781133714071.
- ↑ Sherwood, Lauralee (2010). Human physiology : from cells to systems (7th edición). Australia: Brooks/Cole, Cengage Learning. p. 751. ISBN 978-0495391845.
- ↑ «Spermatocyte responses in vitro to induced DNA damage». Molecular Reproduction and Development 73 (8): 1061-72. August 2006. PMID 16700071. doi:10.1002/mrd.20508.
- ↑ «Homologous recombination-mediated double-strand break repair in mouse testicular extracts and comparison with different germ cell stages». Cell Biochem. Funct. 25 (1): 75-86. 2007. PMID 16989005. doi:10.1002/cbf.1375.
- ↑ «Mutation frequency declines during spermatogenesis in young mice but increases in old mice». Proc. Natl. Acad. Sci. U.S.A. 95 (17): 10015-9. 1998. Bibcode:1998PNAS...9510015W. PMC 21453. PMID 9707592. doi:10.1073/pnas.95.17.10015.
- ↑ «The role of asynapsis in human spermatocyte failure». International Journal of Andrology 35 (4): 541-9. August 2012. PMID 21977946. doi:10.1111/j.1365-2605.2011.01221.x.
- ↑ Mark, Manuel; Hugues Jacobs; Mustapha Oulad-Abdelghani; Christine Dennefeld; Betty Feret; Nadege Vernet; Carmen-Alina Codreanu; Pierre Chambon et al. (7 de julio de 2008). «STRA8-deficient spermatocytes initiate, but fail to complete, meiosis and undergo premature chromosome condensation». Journal of Cell Science 121 (19): 3233-3242. PMID 18799790. doi:10.1242/jcs.035071.
- ↑ Sun, Fengyun; Mary Ann Handel (10 de enero de 2011). «A Mutation in Mtap2 is Associated with Arrest of Mammalian Spermatocytes before the First Meiotic Division». Genes 2 (1): 21-35. PMC 3909985. PMID 24501684. doi:10.3390/genes2010021.
- ↑ Barchi, Marco; S. Mahadevaiah; M. Di Giacomo; F. Baudat; D. de Rooij; P. Burgoyne; M. Jasin; S. Keeney (August 2005). «Surveillance of Different Recombination Defects in Mouse Spermatocytes Yields Distinct Responses despite Elimination at an Identical Developmental Stage». Molecular and Cellular Biology 25 (16): 7203-7215. PMC 1190256. PMID 16055729. doi:10.1128/MCB.25.16.7203-7215.2005.
- ↑ Cheng, edited by C. Yan (2008). Molecular mechanisms in spermatogenesis. New York: Springer Science+Business Media. pp. Chapter 1, page 1. ISBN 978-0-387-79990-2. (requiere registro).
- ↑ a b Cheng, C. Yan; Dolores D. Mruk (19 de abril de 2010). «The biology of spermatogenesis: the past, present and future». Phil. Trans. R. Soc. B. 1546 365 (1546): 1459-1463. PMC 2871927. PMID 20403863. doi:10.1098/rstb.2010.0024.
- ↑ «Unique properties of Drosophila spermatocyte primary cilia». Biology Open 2 (11): 1137-47. 2013. PMC 3828760. PMID 24244850. doi:10.1242/bio.20135355.
- ↑ «Meiosis-I in Mesostoma ehrenbergii spermatocytes includes distance segregation and inter-polar movements of univalents, and vigorous oscillations of bivalents». Protoplasma 251 (1): 127-43. January 2014. PMID 23921676. doi:10.1007/s00709-013-0532-9.
- ↑ «Mesostoma ehrenbergii spermatocytes--a unique and advantageous cell for studying meiosis». Cell Biology International 37 (9): 892-8. September 2013. PMID 23686688. doi:10.1002/cbin.10130.
Enlaces externos
- Espermatogénesis Archivado el 18 de junio de 2021 en Wayback Machine.
- El sistema reproductor masculino
- El sistema reproductivo Archivado el 17 de junio de 2012 en Wayback Machine.
