Fiebre Q
| Fiebre Q | ||
|---|---|---|
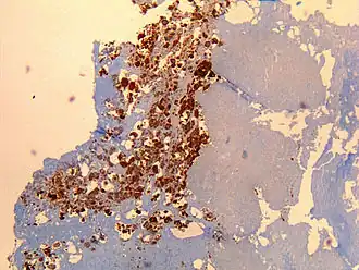
![]() Detección inmunohistoquímixa de Coixella burnetti en la válvula cardíaca de un hombre de 60 años | ||
| Especialidad | infectología | |
La fiebre Q es una zoonosis causada por la bacteria Coxiella burnetii (pequeña, gram-negativo, existe en tres formas - fase I y fase II). Este organismo no es común pero se puede encontrar en el ganado, vacuno, ovejas, cabras y en otros mamíferos domésticos. No produce sintomatología en los animales (finalmente se podría producir aborto esporádico) pero es contenida en la leche así como en los fluidos corporales.
La enfermedad fue inicialmente descrita en 1937 en Australia como una fiebre de causa desconocida, de ahí su nombre Q (query).
Historia
En agosto de 1935, Edward Holbrook Derrick, médico director del laboratorio de microbiología y patología del Departamento de Salud de Queensland en Brisbane (Australia), recibió el encargo de investigar el brote de una enfermedad febril entre los trabajadores de los mataderos en Brisbane. La enfermedad recibió el nombre de "Q" por "query" (en consulta). Derrick inoculó conejillos de Indias con la sangre y orina de los pacientes enfermos, generando en ellos la enfermedad. Sin embargo, Derreck no fue capaz de aislar el agente en los conejillos, y decidió enviar el emulsionado de los hígados de los animales infectados a Macfarlane Burnet en Melbourne. Burnet junto con Mavis Freeman, lograron reproducir la enfermedad en conejillos, ratas y monos, logrando observar en las células del bazo de ratones, vacuolas con numerosos microorganismos con forma de bastones parecidos a las Rickettsias.[1]
Paralela e independientemente, Gordon Davis, médico del Laboratorio de las Montañas Rocosas en Montana (Estados Unidos), estaba trabajando acerca de los posibles vectores de la fiebre de las Montañas Rocosas y de la tularemia. Davis tenía garrapatas colectadas en el riachuelo Nine Mile, afluente del río Clark Fork, que se suponía tenían el agente de dichas enfermedades y las alimentó con conejillos de Indias, los cuales se enfermaron. Sin embargo, la enfermedad que presentaron no se parecía a la fiebre de las Montañas Rocosas. En 1936, Herald Rea Cox, se unió al trabajo de Davis para caracterizar la enfermedad que denominaron "fiebre del Nine Mile". Davis y Cox, igualmente que Burnet y Freeman, demostraron que el agente etiológico tenía propiedades tanto de virus como de rickettsias. En mayo de 1938, Rolla Eugene Dyer, director del Instituto Nacional de Salud, visitó a Cox en Montana para probar el reporte de Cox que indicaba la propagación de este agente en una gran cantidad de huevos embrionados. Diez días después de su visita, Dyer se enfermó con un cuadro febril igual a la fiebre Q, permitiendo en ese momento relacionar este cuadro con la enfermedad descrita en Australia. La inoculación con la sangre de Dyer en conejillos de Indias, desarrolló en ellos la enfermedad y en sus bazos se encontró el agente de Nine Mile. En abril de 1938, Burnet envió a Dyer bazos de ratones infectados con la fiebre Q, cuyo agente resultó ser idéntico al agente Nine Mile.[1][2]
Cox denominó el agente Nine Mile como Rickettsia diaporica (diapórica hace referencia a la propiedad de estos microorganismos de pasar a través de los filtros). Por otro lado, Derrick propuso el nombre de Rickettsia burnetti, en honor a Burnet. En 1948 Cornelius B. Philip, investigador del Laboratorio de las Montañas Rocosas, propuso la denominación Coxiela burnetii, ya que es un microorganismo único entre las Rickettsias, y permitía al mismo tiempo reconocer a sus dos descubridores. Tanto Cox como Burnet fallecieron en 1986.[1][2]
Epidemiología
Cabras, ovejas y vacas son el reservorio natural primario de la C. burnetii. Sin embargo, la infección se ha demostrado en múltiples otras especies de vertebrados incluyendo animales salvajes, mamíferos marinos, mamíferos domésticos, aves y reptiles.[3]
La enfermedad se conoce en todo el mundo y se presenta principalmente en personas que manipulan cabras, ovejas, vacas o gatas parturientas. Ha llamado la atención debido a brotes en centros médicos y veterinarios donde hay un gran número de personas que se exponen a los animales que diseminan Coxiella. La trasmisión se produce por la inhalación de polvo contaminado con esporas provenientes de placenta, heces, orina o leche secas, o de aerosoles en rastros. Los humanos son altamente susceptibles a la enfermedad, pero alrededor de la mitad de los afectados son asintomáticos y se trasmite muy raramente de persona a persona. La Fiebre Q se transmite también por las garrapatas.
Causa
La fiebre Q es producida por la Coxiella burnetii, una bacteria gram-negativa intracelular obligada. Ingresa a la célula por un mecanismo pasivo sobreviviendo al interior de los fagolisosomas.[4]
Cuadro clínico

Cuando hay síntomas, ocurre después de un periodo de incubación de 10 a 40 días. La forma de presentación más clásica, corresponde a un síndrome gripal con fiebre alta (que dura entre una y dos semanas), cefalea intensa, mialgia, artralgia, confusión, náuseas, vómito y diarrea, además de síntomas respiratorios como dolor pleurítico y tos seca.
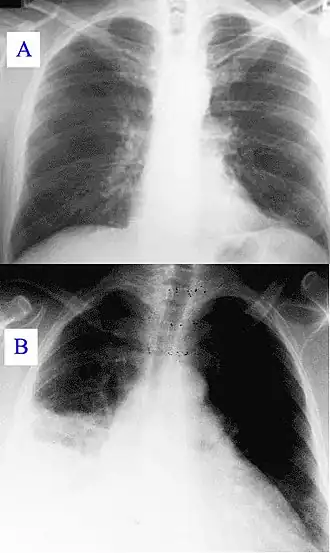
Durante el curso de la infección, la enfermedad puede progresar a una neumonía atípica, la cual puede desencadenar un síndrome de distres respiratorio agudo, tales síntomas usualmente ocurren durante los primeros 4-5 días de infección.
Con menos frecuencia, la fiebre Q causa hepatitis granulomatosa, la cual puede ser asintomática o hacerse sintomática con fiebre, hepatomegalia y dolor en el hipocondrio derecho. En el laboratorio se puede observar aumento de las transaminasas, sin embargo, la ictericia es muy poco frecuente. La vasculitis retinal es otra rara manifestación de fiebre Q.[5]
Diagnóstico
El diagnóstico se basa principalmente en los exámenes serológicos[6][7] para hallar anticuerpos en contra del antígeno bacteriano en lugar de buscarlo. La detección molecular de ADN bacteriano es cada vez más usada. El cultivo es técnicamente difícil y no está disponible de forma rutinaria en la mayoría de los laboratorios de microbiología. La fiebre Q puede causar endocarditis (infección de las válvulas del corazón) que puede requerir Ecocardiografía transesofágica para ser diagnosticada. La hepatitis de la fiebre Q se manifiesta como una elevación de la Alanina aminotransferasa y del Aspartato aminotransferasa, pero el diagnóstico definitivo sólo es posible con una biopsia hepática, que muestra los característicos granuloma en anillo de fibrina.[8]
Tratamiento
Tetraciclinas y cloranfenicol si el tratamiento se inicia al principio de la enfermedad,[9] en Fase 1. La tetraciclina o el cloranfenicol se administran diariamente por vía oral y se continúan 3 a 4 días después de la defervescencia. En pacientes gravemente enfermos, la dosis inicial puede administrarse por vía intravenosa. El tratamiento continuo con tetraciclina durante muchos meses —en ocasiones con reemplazo valvular— puede prolongar la supervivencia. Las sulfonamidas agravan la enfermedad y están contraindicadas. Algunas fluoroquinolonas(por ej., la ciprofloxacina) son eficaces en fiebres manchadas. Los antibióticos no eliminan del cuerpo las coxiellas, pero suprimen su crecimiento (bacteriostáticos). La recuperación depende en parte de los mecanismos inmunitarios del paciente.
Prevención y control de infecciones
Tomar en cuenta la realización de pruebas para detectar la fiebre Q en mujeres embarazadas que residen en áreas donde se ha reportado un brote de esta enfermedad. Es importante especialmente para aquellas que viven en regiones endémicas o tienen contacto con animales de granja. Se debe considerar esta medida en casos de enfermedad febril no específica, así como en situaciones donde se presenten síntomas como neumonía, hepatitis y trombocitopenia grave, especialmente si la paciente tiene historial de abortos espontáneos recurrentes.
Referencias
- ↑ a b c Marrie, Thomas J. (agosto de 1990). «Q fever. A review» [Fiebre Q. Una revisión]. Can Vet J (en inglés) 31 (8): 555-563. PMID 17423643. Consultado el 14 de abril de 2017.
- ↑ a b Maurin, M.; Raoult, D. (octubre de 1999). «Q fever» [Fiebre Q]. Clin Microbiol Rev (en inglés) (American Society for Microbiology) 12 (4): 518-553. PMID 10515901. Consultado el 14 de abril de 2017.
- ↑ Anderson, Alicia; Bijlmer, Henk; Fournier, Pierre-Edouard; Graves, Stephen; Hartzell, Joshua; Kersh, Gilbert J. (marzo de 2013). «Diagnosis and Management of Q Fever — United States, 2013: Recommendations from CDC and the Q Fever Working Group» [Diagnóstico y manejo de la fiebre Q -Estados Unidos, 2013: recomendaciones de la CDC y el grupo de trabajo de fiebre Q]. Morbidity and Mortality Weekly Report (MMWR) (en inglés) (Estados Unidos: Centers for Disease Control and Prevention) 62 (RR03): 1-23. Consultado el 14 de abril de 2017.
- ↑ Beare, P. A.; Samuel, J. E.; Howe, D.; Virtaneva, K.; Porcella, S. F.; Heinzen, R. A. (abril de 2006). «Genetic diversity of the Q fever agent, Coxiella burnetii, assessed by microarray-based whole-genome comparisons» [Diversidad genética del agente de la fiebre Q, Coxiella burnetii, medido por microensayobasado en comparaciones del genoma completo]. J. Bacteriol. 188 (7): 2309-24. PMC 1428397. PMID 16547017. doi:10.1128/JB.188.7.2309-2324.2006.
- ↑ Kuhne F, Morlat P, Riss I, et al. (1992). «Is A29, B12 vasculitis caused by the Q fever agent? (Coxiella burnetii)». J Fr Ophtalmol (en francés) 15 (5): 315-21. PMID 1430809.
- ↑ Maurin M, Raoult D (octubre de 1999). «Q fever». Clin. Microbiol. Rev. 12 (4): 518-53. PMC 88923. PMID 10515901.
- ↑ Scola BL (octubre de 2002). «Current laboratory diagnosis of Q Fever». Semin Pediatr Infect Dis 13 (4): 257-262. PMID 12491231. doi:10.1053/spid.2002.127199.
- ↑ van de Veerdonk FL, Schneeberger PM (2006). «Patient with fever and diarrea». Clin Infect Dis 42 (7): 1051-2. doi:10.1086/501027.
- ↑ Neupane, Karun; Kaswan, Daniel (2022). Coxiella Burnetii. StatPearls Publishing. Consultado el 12 de abril de 2022.
-Ann N Y Acad Sci 2009 Mayo;1166:79
