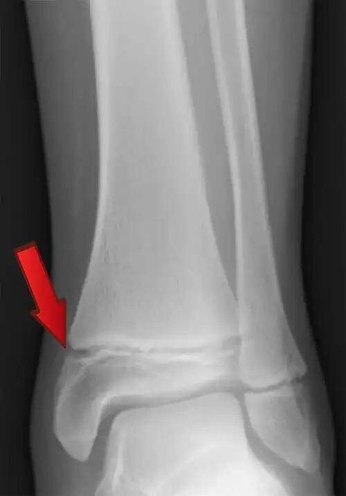
Fisis

Fisis, también llamado cartílago de crecimiento, cartílago metafisario, placa de crecimiento o placa epifisaria, es una zona de los huesos largos de niños y adolescentes, que se encuentra ubicada en la metáfisis.
Esta placa de cartílago, permite el crecimiento del hueso en edades de desarrollo. Su espesor y función es máxima en la infancia. Cuando se llega a la pubertad la fisis empieza a decrecer y desaparece por completo, alrededor de los 25 años.
Los trastornos en esta placa, tiene consecuencias negativas en el crecimiento del hueso.
Su etimología proviene de la palabra griega physis, que se relaciona con el concepto del crecimiento, dado que deriva del verbo phyeo (nacer, brotar).[1]
Anatomía
El cartílago metafisario se ubica en la metáfisis de los huesos largos, que es la zona que está situada entre la región central (o diáfisis) y los extremos (o epífisis). Esta zona intermedia representa la osificación que experimenta el cartílago hialino y que permite el crecimiento del hueso en edades de desarrollo.[2]
Estructura
Las placas de crecimiento, están formadas por numerosas células que rápidamente se dividen y maduran.
La placa (o metáfisis), es una estructura multicapa, que está formada por la proliferación e hipertrofia de las células que sintetizan la matriz extracelular: los condrocitos.[3]
La matriz está compuesta por: colágeno (principalmente tipo II, IX, X, XI) y por proteoglicanoss (agrecano, decorina, anexina II, V y VI).
Microarquitectura
Con el microscopio óptico, se observa que la región central de la placa, lámina o disco de crecimiento, está constituida por cartílago en el que se distinguen varias zonas, desde la epífisis a la diáfisis.[4]
La placa, es una estructura multicapa de cartílago hialino. Para su estudio ha sido dividida en capas, su número, según los distintos autores, se establece entre 4 y 6. Son llamadas de reserva, de proliferación, de transformación y de degeneración.
[5][6]
Función
La función del cartílago metafisario es permitir el crecimiento del hueso.
En los humanos menores de 5 años la metáfisis representa la mayor parte de los huesos largos (como en el húmero y el radio).
Cuando se llega a la pubertad la fisis empieza a disminuir y cuando esta desaparece por completo, alrededor de los 25 años, el ser humano llega a su mayor crecimiento.
La velocidad de crecimiento es diferente en cada hueso de un mismo individuo.
Así, en el humano las epífisis más cercanas a la articulación de la rodilla contribuyen más al crecimiento longitudinal del miembro inferior.
En el miembro superior, las epifisis más alejadas de la articulación del codo influyen en mayor medida en el crecimiento.[7]
Desde los siete años hasta la madurez esquelética, el húmero crece cada año aproximadamente 1,2 centímetros (cm) en las niñas y 1,3 cm en los niños.[8]
A partir de los 25 años el cartílago no crecerá más, y se transforma en hueso esponjoso. El hueso no aumenta su longitud y la zona de unión entre diáfisis y epífisis pasa a llamarse línea epifisaria.[9]
Fisiología
En la fisis tiene lugar un proceso secuencial: de proliferación celular, de síntesis de matriz extracelular, de hipertrofia celular, de mineralización de la matriz, de invasión vascular y de apoptosis. En este proceso el cartílago es reemplazado continuamente por hueso, aumentando así su longitud.[7]
El crecimiento óseo implica una actividad anabólica intensa, que está centrada en la síntesis de proteínas.
Cualquier alteración que afecte a la multiplicación celular y a la diferenciación, a la síntesis del colágeno o a la formación de proteoglicanos, puede producir un cambio patológico.
Las hormonas actúan sobre el desarrollo esquelético, cambiando el grosor de la fisis, el índice de crecimiento y la magnitud de su crecimiento. Los factores locales se encuentran en la epífisis y alrededor de las epífisis. Los factores sistémicos que influyen sobre la función de la fisis, son: hormona de crecimiento, hormona tiroidea, estrógenos y andrógenos, glucocorticoides y vitamina D.[7]
Cierre y osificación
Los cartílagos de crecimiento se suelen cerrar cerca del final de la pubertad. En el caso de las niñas esto suele ocurrir cuando tienen entre 13-15 años; en los niños, cuando tienen entre 15-17 años.[10]
La fisis desaparece por completo, alrededor de los 25 años.
Patología
Los cartílagos de crecimiento son más débiles que el hueso sólido. Esto hace que sea más probable que sufran lesiones.[11]
Las alteraciones y enfermedades del cartílago de crecimiento o fisis,[10] incluyen:
- Lesiones por uso repetitivo o por sobrecarga.
- Fracturas. Como Epífisis capital femoral deslizada.
- Isquemia.
Véase también
Referencias
- ↑ «Glosario de Términos Sanitarios. 'Letra M'». OposSanidad.
- ↑ «Osteología.». Universidad de los Andes.
- ↑ Burdan F.; Szumiło J.; Korobowicz A.; Farooquee R.; Patel S.; Patel A.; Dave A.; Szumiło M.; Solecki M.; et al (2009). «Morphology and physiology of the epiphyseal growth plate». Folia Histochem Cytobiol (Revisión) 47 (1): 5-16. doi:10.2478/v10042-009-0007-1. Consultado el 19 de junio de 2021.
- ↑ Serrano S. (1998). «Estructura y función del hueso normal.». conganat. 2o. Congreso virtual hispanoamericano de Anatomía Patológica. Consultado el 20 de junio de 2021.
- ↑ Ross M.; Pawlina W. (2006). «7:Tejido cartilaginoso». Histología (5a. edición). Médica Panamericana. pp. 198-213. ISBN 978-950-06-0435-2. Consultado el 24 de junio de 2021.
- ↑ Saus Milán N.; Guijarro Leo S.; Mifsut Miedes D. «2:Fisis y Órgano de Crecimiento» (PDF). Sociedad Española de Cirugía Ortopédica y Traumatología (Hospital Clínico Universitario Valencia): 5.
- ↑ a b c Shapiro F.; Forriol F. (2005). «El cartílago de crecimiento: biología y biomecánica del desarrollo». Revista Española de Cirugía Ortopédica y Traumatología 49 (1): 55-67. Consultado el 20 de junio de 2021.
- ↑ Pritchett J.W. (1988). «Growth and predictions of growth in the upper extremity». J Bone Joint Surg Am 70 (4): 520-525. Consultado el 20 de junio de 2021.
- ↑ Tortora - Derrickson. Principios de Anatomía y Fisiología, 11ª edición (2006). ISBN 968-7988-77-0. Consultado el 13/4/2010
- ↑ a b Amy W. Anzilotti (2019). «Cartílagos de crecimiento». Connecticut Childrens.
- ↑ Danielle Campagne (2019). «Fracturas del cartílago de crecimiento (Fracturas fisarias)». Manual MSD, Versión para público general.

