Fractura de rótula
| Fractura de rótula | ||
|---|---|---|
|
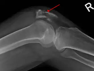
Una fractura de la rótula vista en una vista lateral. | ||
| Especialidad | ortopedia | |
La fractura de rótula, también llamada fractura patelar, es la rotura o pérdida de continuidad ósea del hueso rotuliano. Al encontrarse este hueso en la parte anterior de la rodilla es más propenso al golpe. La mayoría de estas fracturas ocurren como resultado de traumatismos por accidente de tránsito o caída.
La fractura de rótula puede ser el resultado de un golpe fuerte en la parte delantera de la rodilla o de caer sobre la rodilla. Ocasionalmente puede ocurrir por una fuerte contracción de los músculos del muslo.[1] El diagnóstico se basa en los síntomas y se confirma con rayos X. En niños se puede requerir una resonancia magnética. El tratamiento puede ser con o sin cirugía, según el tipo de fractura. La fractura no desplazada generalmente se puede tratar con yeso. Incluso algunas fracturas desplazadas pueden tratarse con yeso siempre que una persona pueda estirar la pierna sin ayuda. Por lo general, la pierna se inmoviliza en posición recta durante las primeras tres semanas y luego se permiten grados crecientes de flexión. Otros tipos de fracturas generalmente requieren cirugía. Las fracturas de rótula constituyen aproximadamente el 1% de todos los huesos rotos.[2]
Los hombres se ven afectados con mayor frecuencia que las mujeres. Los de mediana edad son los más afectados. Los resultados con el tratamiento son generalmente buenos.[3]
Anatomía
La rótula es el mayor hueso sesamoideo, encontrado en la parte anterior de la rodilla. Se articula con la tibia y está en contacto con el fémur. Posee una apariencia redonda u ovalada que se prolonga hacia abajo por su polo o vértice inferior. Su cara anterior, posee una forma convexa. Mientras que su cara posterior, es de forma cóncava juntándose a la forma convexa de los cóndilos.
De este hueso de desarrollan ciertos tendones (ej. tendón cuádriceps y rotuliano) y además sirve para proteger ciertos tendones frente al desgaste.
Epidemiología
La incidencia de las fracturas rotulianas se realiza en pocos estudios, ya que son relativamente raras; su prevalencia está entre 0.7%-1% de todas las fracturas óseas.[4] Según las revisiones realizadas de historias clínicas y radiológicas de 756 fracturas de rótula entre los años 2005 y 2014. La edad media de fracturas es de 21 a 54 años. La distribución de incidencia muestra un aumento con la edad. Sin embargo, los hombres tienen la mayor incidencia de fractura en el grupo de edad de 10 a 19 años, aproximadamente 15,4 / 100.000 / año y las mujeres en el grupo de edad de 60 a 80 años tienen la mayor incidencia, aproximadamente el 36 / 100.000 / año.[5]
Etiología
Debido a la escasez de partes blandas alrededor de la rótula prácticamente la totalidad de la energía de los traumatismo directos es absorbida por la misma. La mayor parte de mecanismos directos se acompaña de quebradura importante, por lo general el desplazamiento de los fragmentos es escaso. Igualmente son frecuentes las fracturas abiertas o con contusión importante de partes blandas en un 7 a 21% de los casos.[6] Las fracturas de la rótula son cada vez más frecuentes, debido al incremento de accidentes de tránsito a alta velocidad y práctica deportiva. Pueden producirse por dos mecanismos:
- Directo: Es el más común, producido por un golpe fuerte directo en la cara anterior de la patela o caída sobre las rodillas. Se produce con frecuencia en deportes como esquí, fútbol o rugby. Además se asocia a lesiones como fractura de meseta tibial, luxación posterior de cadera, fractura de la extremidad distal o diáfisis femoral.[7]
- Indirecto: Se relaciona al movimiento violento del cuádripceps sobre la parte superior de la rótula. Aunque son menos frecuentes, son las que más daño causan en la función extensora, en comparación con las directas.
Clasificación
Las fracturas de rótula se dividen:
Según el trazo
Se dividen en:[6]
- Transversales: Cual el trazo discurre en dirección medio - lateral. Se produce típicamente por mecanismo indirecto y suelen afectar al tercio medio o distal de la rótula.
- Verticales o longitudinales: Cuando el trazo discurre en dirección supero-inferior. Son poco frecuentes y suelen responder a un mecanismo directo.
- Marginales: Situadas en los bordes de la rótula sin extenderse dentro de la misma, no interrumpen la continuidad del aparato extensor.
- Polares: Sean de la base o el vértice. De trazo transverso, suelen responder a mecanismo de producción indirecto.
- Osteocondrales: Se localizan típicamente en la faceta medial de la rótula. A consecuencia de traumatismo directo, generalmente por accidentes deportivo o luxaciones laterales.
- Conminutas: El tipo más común es en estrellas. Causada por mecanismo directo pueden ser propiamente conminutas o acompañar a un trazo principal, generalmente transverso.
Según el desplazamiento
- Desplazadas
- No desplazadas
Cuadro clínico
La fractura de rótula se manifiesta con:
- Dolor severo y súbito en la parte frontal de la rodilla
- Tumefacción
- Hematoma
- Incapacidad de extensión contra gravedad o resistencia, por lo tanto existe la dificultad de caminar o apoyarse sobre la rodilla afectada.
Diagnóstico
Para averiguar y localizar este tipo de lesión se utilizan:
- Examen físico
- Radiografía antero-posterior, lateral y axial
- Tomografía computarizada
- Resonancia magnética
- Escáner óseo
Tratamiento
El tratamiento varía dependiendo del tipo de fractura:
Tratamiento no quirúrgico
Es el más indicado en casos de fracturas no desplazadas. Lo más usual es la colocación de un yeso por 4 a 6 semanas en extensión, para evitar la movilización y posteriormente seguir con la rehabilitación.
Los medicamentos (analgésicos como; Paracetamol, Ibuprofeno o Naproxeno) son utilizados para disminuir el dolor. Se debe de tener en cuentas las contraindicaciones de cada uno de los medicamentos. Si la fractura es abierta, se recomienda el uso de antibióticos o inyección antitetánica.
El uso de compresas de hielo sobre la fractura para disminuir la hinchazón, las veces que se considere necesario durante 2 o 3 días hasta que el dolor desaparezca.
Tratamiento quirúrgico
La primera operación en un paciente con fractura de rótula fue realizada por Héctor Cameron en el año 1877, en Escocia, utilizando una sutura de plata. De forma similar Lister y Tredelemburg realizaron este proceder en Alemania. A pesar de la popularidad de la reducción abierta, no es instituida con seriedad hasta el año 1936 cuando Blodgett reporta una serie de pacientes operados con este método. En el año 1950 Pauwels reporta el tratamiento de la fractura de rótula utilizando el cerclaje anterior, el cual aún es usado en la actualidad.[8]
La mayoría son de tratamiento quirúrgico, con el fin de reparar la descongruencia articular y así asegurar la osteosíntesis y funcionalidad eficaz, para una movilización precoz.
Las técnicas quirúrgicas disponibles son muy variadas, entre ellas:
- Cerclaje de tensión anterior: técnica clásica preferida por la gran mayoría de los médicos. Tiene muchas variaciones donde se utilizan alambres de Kirschner, tornillos canulados y no canulados, estos últimos incorporados o no al cerclaje.[8]
- Fijación externa circular bajo control artroscópico: permite la movilización de forma activa y muy rápida evitando complicaciones causadas por los métodos convencionales de cerclaje.[8]
- Fijación percutánea bajo control artroscópico y radiológico mediante arco en C. Se colocan alambres de Kirschner en los fragmentos óseos previamente reducidos y luego se colocan tornillos canulados. No es útil en fracturas conminutas o fracturas transversas con disrupción del mecanismo extensor, únicamente para fracturas de rótula transversas.[8]
- Patelectomía parcial y total. Indicada cuando los métodos de fijación son imposibles de realizar, se debe conservar la mayor longitud de la rótula como sea posible. En pacientes con fracturas severamente conminutas imposibles de reparar y que afectan gran parte de la rótula está indicada la patelectomía total.[8]
Según estudios de 2011 y 2014, indican que el cerclaje de tensión anterior es el más usado a pesar de su alta tasa de complicaciones. Pero se indica que la placa de rótula de ángulo fijo es una opción de tratamiento eficaz y seguro para el tratamiento de estas fracturas.[9]
Referencias
- ↑ «Patella Fracture - Trauma - Orthobullets». www.orthobullets.com. Consultado el 2 de agosto de 2020.
- ↑ Melvin, Stuart J.; Mehta, Samir (2011-04). «Patellar Fractures in Adults». JAAOS - Journal of the American Academy of Orthopaedic Surgeons (en inglés estadounidense) 19 (4): 198-207. ISSN 1067-151X. doi:10.5435/00124635-201104000-00004. Consultado el 2 de agosto de 2020.
- ↑ Kakazu, Rafael; Archdeacon, Michael T. (2016-01). «Surgical Management of Patellar Fractures». The Orthopedic Clinics of North America 47 (1): 77-83. ISSN 1558-1373. PMID 26614923. doi:10.1016/j.ocl.2015.08.010. Consultado el 2 de agosto de 2020.
- ↑ Donaldson, LJ; Cook, A; Thomson, RG (1990). «Incidence of fractures in a geographically defined population». J Epidemiol Community Health 44 (3): 241-245. doi:10.1136/jech.44.3.241.
- ↑ Larsen, P; Court-Brown, CM; Vedel, JO; Elsoe, R (18 de agosto de 2016). Incidence and Eplidemiology of Patellar Factures (10.3928/01477447-20160811-0). pp. http://www.ncbi.nlm.nih.gov/pubmed/27536953.
- ↑ a b Alcalá-Santaella, Olmedo, Ausina. «cap.23 Fracturas de la rótula». En de Pedro Moro; Pérez Caballer , ed. Cirugía Ortopédica y Traumatología, (1999 edición). Editorial Medica Panamericana. pp. 579-587. Consultado el 7 de marzo de 2019.
- ↑ Pérez Castro, Yessica. «Factura de Rótula». Fisioterapia Online.
- ↑ a b c d e Álvarez López, Alejandro; García Lorenzo, Yenima; Casanova Morote, Carlos; Muñoz Infante, Arnoldo (2010, enero-febrero). Fractura de Rótula (ISSN 1025-0255).
- ↑ Wild, M; Fisher, K; Hilsenbeck, F; Bestch, M (2016, june 11.). Treating patella fractures with a fixed-angle patella plate-A prospective observational study. pp. http://www.ncbi.nlm.nih.gov/pubmed/27354301. PMID 27354301.