Fractura del pie
| Fractura de pie | ||
|---|---|---|
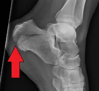
![]() Fractura de calcáneo | ||
En medicina, se entiende por fractura del pie a cualquier fractura ósea que produzca una solución de continuidad en alguno de los huesos que forman la estructura del pie. Generalmente se deben a un traumatismo, pero en ocasiones se producen por sobrecarga y no existen antecedentes de golpe ni caída, son las llamadas fracturas por fatiga que se presentan sobre todo en los huesos metatarsianos y son frecuentes en deportistas, militares o personas que por circunstancias laborales deben caminar largas distancias.[1]
Importancia y etiología
Las fracturas del pie son de gran complejidad debido a que cada pie está formado por 26 huesos que forman 30 articulaciones sustentadas por más de 100 ligamentos óseos. El pie es un elemento fundamental en la locomoción y durante la marcha soporta una carga biomecánica que equivale a 7 veces el peso corporal.
Las principales causas de fractura son aplastamiento, golpes directos, caídas, accidentes de tráfico o laborales, sobrecargas sin trauma y esguinces o torceduras que provocan arrancamiento de fragmentos óseos.
Clasificación
Dependiendo del hueso afectado las fracturas del pie se clasifican en los siguientes tipos:

- Fractura de calcáneo.
- Fractura de astrágalo
- Fractura del escafoides del pie.
- Fractura de cuboides.
- Fractura luxación de Chopart. La articulación de Chopart está formada por la articulación calcaneocuboidea y la astragaloescafoidea. La luxación suele asociarse a rotura y distensión de ligamentos y fractura del escafoides del pie o del cuboides.[2]
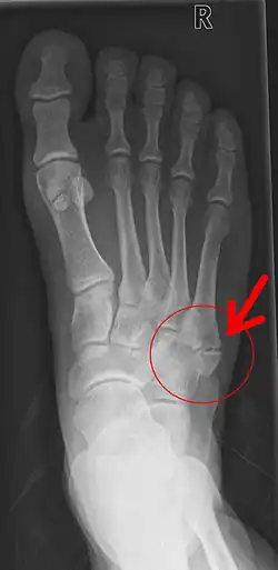
- Fractura de metatarsiano.
- Fractura de las falanges del pie.
Galería de imágenes
-
Hueso calcáneo representado en color rojo. -
Hueso astrágalo representado en rojo. -
Primer metatarsiano representado en color verde. -
Cuarto metatarsiano -
Quinto metatarsiano
Referencias
- ↑ https://www.ucm.es/data/cont/docs/420-2014-03-28-24%20Lesiones%20traumaticas%20de%20tobillo%20y%20pie.pdf Lesiones traumáticas del tobillo y pie.
- ↑ http://www.portalsato.es/documentos/revista/Revista16-2/07.pdf Luxación de la articulación de Chopart. A propósito de un caso.
