Franz Nissl
| Franz Alexander Nissl | ||
|---|---|---|
![]() | ||
| Información personal | ||
| Nombre en alemán | Franz Nissl | |
| Nacimiento |
9 de septiembre de 1860 Frankenthal (Alemania) | |
| Fallecimiento |
11 de agosto de 1919 (58 años) Múnich (República de Weimar) | |
| Sepultura | Waldfriedhof (Munich) | |
| Nacionalidad | Alemana | |
| Educación | ||
| Educado en | Universidad de Múnich | |
| Alumno de | Alois Alzheimer | |
| Información profesional | ||
| Área | Neurología | |
| Conocido por | Cuerpos de Nissl | |
| Alumnos | Karl Jaspers | |
| Miembro de | Academia de Ciencias y Humanidades de Heidelberg (1909-1919) | |
| Firma | ||
![]() | ||
Franz Alexander Nissl (Frankenthal, 9 de septiembre de 1860-Múnich, 11 de agosto de 1919) fue un psiquiatra, neurólogo e investigador médico alemán. Es el científico que da el nombre a los cuerpos de Nissl, gránulos que aparecen en las células nerviosas.
Biografía
Franz Nissl nació en la pequeña ciudad de Frankenthal, en el suroeste de Alemania. Su padre enseñaba latín en una escuela católica y tenía la intención de hacer de Nissl un sacerdote. Sin embargo, el joven se opuso a esta idea y acabó desarrollando su carrera profesional en la medicina. Su madre sufría de trastornos mentales, por lo que el primer contacto de Nissl con una institución psiquiátrica fue a través de su propia familia.[1]
Realizó sus estudios de medicina en la universidad Universidad Ludwig Maximilian de Múnich. Más tarde, estudiaría psiquiatría como asistente del neuroanatomista alemán Johann Bernhard Aloys von Gudden.[2]
En el año 1889, Nissl entró a formar parte del equipo de psiquiatría del Städtische Irrenanstalt, el hospital psiquiátrico de ciudad de Frankfurt, unos meses después de conocer a Alois Alzheimer.[3] Fue junto a él y en esa institución donde comenzó a centrar su trabajo en el estudio de la enfermedad mental y del sistema nervioso, al encontrar una relación entre este tipo de patologías y ciertos cambios observables en las células de la glía, el tejido del cerebro y elementos en la sangre. A lo largo de los siguientes siete años, Nissl y Alzheimer trabajaron juntos para desarrollar una investigación exhaustiva sobre las diferentes enfermedades que afectan al sistema nervioso. En 1894, Alzheimer comenzó a presentar su trabajo sobre la histología de la neurosífilis, en el que había participado Nissl.[4][2]
En el año 1895, Emil Kraepelin, el entonces director del hospital psiquiátrico universitario de Heidelberg, invitó a Nissl a formar parte del equipo de esa institución como médico asistente. Cuando Kraepelin dejó el puesto para trasladarse a Múnich en 1903, Nissl se convirtió en el nuevo director. Un año más tarde, Nissl y Alzheimer darían comienzo al desarrollo de una serie de estudios sobre la histopatología de la corteza cerebral, que trataban los cambios patológicos que se dan durante la demencia paralítica.[2]
En 1918, Nissl aceptó una oferta de investigador en el Instituto Max Planck de Psiquiatría de Múnich, como director del departamento de histopatología, donde desarrolló su trabajo junto a Walther Spielmeyer y Korbinian Brodmann. Falleció un año más tarde, en 1919, debido a una enfermedad renal. Nunca se llegó a casar ni tuvo hijos.[1][2]
Legado

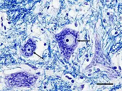
En 1884, cuando era estudiante de medicina, Nissl desarrolló una técnica de tinción celular a través del «fijado del tejido en alcohol y su coloración con rojo magenta, seguida de la introducción de azul de metileno y, a continuación, azul de toluidina».[5] Este método permitía una mayor diferenciación del núcleo, lo cual facilitaba el estudio en mayor detalle del interior de la célula.[6] Además, dio acceso a nuevas estructuras de las neuronas que hasta entonces no se conocían: los fragmentos que adquirían un color azul oscuro fueron nombrados sustancia de Nissl en un principio; más tarde, tras indagar aún más en su estructura y funcionamiento, acabaría popularizándose el término retículo endoplasmático. En general, su técnica de coloración hizo más sencilla la tarea de estudiar la disposición y la citoarquitectura de las diferentes neuronas en las distintas partes del cerebro.[7] Más tarde, sin embargo, Nissl se opondría a la teoría de las neuronas desarrollada a partir de los métodos de tinción elaborados por los neurocientíficos Camillo Golgi y Santiago Ramón y Cajal, basados —en gran medida— en su propio método.[2]
Nissl dio también nombre a las estructuras granulares que se encuentran en el cuerpo celular y las dendritas de las neuronas: los cuerpos de Nissl.[8]
Obras
- 1903: Die Neuronenlehre und ihre Anhänger
- 1904: Zur Histopathologie der paralytischen Rindenerkrankung
- 1908: (junto a Alois Alzheimer) Histologische und histopathologische Arbeiten über die Grosshirnrinde
- 1921: (junto a Alois Alzheimer) Histologie und Histopathologie
Véase también
Referencias
- ↑ a b Chase, Ronald (1 de septiembre de 2018). The Making of Modern Psychiatry. Logos Verlag Berlin. ISBN 978-3-8325-4718-9. doi:10.30819/4718. Consultado el 3 de julio de 2022.
- ↑ a b c d e Gomes, Marleide da Mota (2019-09). «Franz Nissl (1860-1919), noted neuropsychiatrist and neuropathologist, staining the neuron, but not limiting it». Dementia & Neuropsychologia 13 (3): 352-355. ISSN 1980-5764. PMC 6753910. PMID 31555410. doi:10.1590/1980-57642018dn13-030014. Consultado el 3 de julio de 2022.
- ↑ Bhattacharyya, Kalyan B. (2011). Eminent neuroscientists : their lives and work. Academic Publishers. ISBN 978-93-80599-28-1. OCLC 926283737. Consultado el 3 de julio de 2022.
- ↑ Shorter, Edward (2005). A historical dictionary of psychiatry. Oxford University Press. ISBN 978-0-19-803923-5. OCLC 65200006. Consultado el 3 de julio de 2022.
- ↑ Nissl, Franz (1903). Die Neuronenlehre und ihre Anhänger: ein Beitrag zur Lösung des Problems der Beziehungen zwischen Nervenzelle, Faser und Grau (en alemán). Fischer. Consultado el 3 de julio de 2022.
- ↑ Chast, François (2005). «Les colorants, outils indispensables de la Révolution biologique et thérapeutique du XIXe siècle». Revue d'histoire de la pharmacie (en francés) 93 (348): 487-504. ISSN 0035-2349. doi:10.3406/pharm.2005.5894. Consultado el 3 de julio de 2022.
- ↑ Paul, Carol Ann; Beltz, Barbara; Berger-Sweeney, Joanne (2008-09). «The Nissl Stain: A Stain for Cell Bodies in Brain Sections». Cold Spring Harbor Protocols (en inglés) 2008 (9): pdb.prot4805. ISSN 1940-3402. doi:10.1101/pdb.prot4805. Consultado el 3 de julio de 2022.
- ↑ Mojsilović, J.; Zečević, N. (1 de noviembre de 1991). «Early development of the human thalamus: Golgi and Nissl study». Early Human Development (en inglés) 27 (1): 119-144. ISSN 0378-3782. doi:10.1016/0378-3782(91)90033-Y. Consultado el 3 de julio de 2022.

