Glándulas gástricas
| Glándulas gástricas | ||
|---|---|---|
![]() | ||
| Nombre y clasificación | ||
| Sinónimos |
Glándulas fúndicas Glándulas antrales | |
| Latín | [TA]: glandulae gastricae | |
| Gray | pág.1166 | |
| Información anatómica | ||
| Región | estómago | |
| Sistema | Digestivo | |
| Arteria | Arteriolas de la mucosa | |
| Vena | Vénulas | |
| Información fisiológica | ||
| Función | Secreción | |
|
| ||
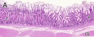
En anatomía microscópica, las glándulas gástricas son las estructuras secretoras multicelulares ubicadas en la capa mucosa del estómago. Estas glándulas muestran diferencias anatómicas y funcionales según el sector de la mucosa que se considere: fúndicas (oxínticas) y antrales. Las glándulas gástricas están formadas por diferentes tipos y proporciones de células, que son las encargadas de secretar las sustancias necesarias para la digestión y su finalización.
La alteración de estas glándulas situadas en la capa mucosa, se produce durante el desarrollo de la gastritis, la úlcera gástrica, la infección por Helicobacter pylori y el cáncer gástrico.
Características

Las glándulas gástricas son la encargadas de la secreción de: mucus, de ácido gástrico (clorhídrico), de enzimas digestivas (pepsinógeno), y de hormonas. Estas sustancias son producidas por los diferentes tipos de células que conforman la glándula.
Existen aproximadamente 90-100 orificios de glándulas gástricas por milímetro cuadrado (mm2) de superficie de la mucosa del estómago. El orificio en el extremo excretor (o foveola) es común para 3 a 5 unidades secretoras (glándulas simples).[1][2]
Estructura
La glándula gástrica es una glándula tubular ramificada simple.


Es un tubo alargado de trayectoria no recta y que termina en el espesor de la pared de la capa mucosa, en un fondo de saco. Un orificio o foveola es el extremo excretor común de 3 a 5 «unidades secretoras» (glándulas simples).
La composición celular y el porcentaje de células en las glándulas, varía en los diferentes sectores anatómicos. En las glándulas de fondo y cuerpo con células secretoras de ácido (oxínticas). En las glándulas de antro y píloro con células secretoras de mucus y gastrina.
Se acostumbra dividir la glándula en sectores, para su estudio y descripción, de acuerdo a la profundidad y las células que las constituyen en:
- Foveola (fosita) (pit)
- Istmo
- Cuello (neck)
- Fondo (base)
La foveola y el istmo son similares en composición celular, en todas las unidades glandulares a lo largo del estómago. La composición celular del cuello y de la base varía entre las diferentes regiones.[3]
Microaquitectura
Mediante el microscopio óptico es posible observar algunas características de este micro-órgano multicelular denominado glándula gástrica.

Estas glándulas presentan diferente morfología en los distintos sectores de la capa mucosa del estómago.
En la zona del cardias se muestran más salientes y superficiales, en el fondo (fundus gastrico) zona fúndica u oxíntica, mientras en la zona del píloro son más profundas y largas.
En los murinos, la unidad tubular, ubicada en el corpus, contiene aproximadamente 200 células, mientras que las unidades del antro, mucho más cortas, tienen alrededor de 45 células.
Los tejidos tomados mediante biopsia de la zona fúndica (u oxíntica) de la capa mucosa corresponden en un 33 % al tejido conjuntivo (lámina propia) y 15 % al epitelio de las paredes de las glándulas.
El recuento de los diferentes tipos de células epiteliales glandulares oxínticas tomadas mediante biopsia, muestran promedios de 12 % de células de ácido clorhídrico, 43 % de células mucosas, 40 % de células de zimógeno y 4 % de células endocrinas.[4][5][6]
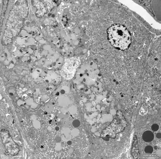
Ultraestructura
Con el microscopio electrónico se han podido describir, ubicar y sistematizar las células que integran las glándulas gástricas.[7][2]

- Células mucosas tapizan la superficie luminal, el sector de la foveola (fosita o gastric pit) y el istmo de la glándula. Segregan el mucus necesario para la protección frente al ácido clorhídrico secretado por sus vecinas. Cuando los gránulos secretores se alinean a lo largo de la membrana apical, la célula anterior a la de la fosa, se convierte en célula fosa. Ambas las células de la foveola, como las células previas a la misma, migran hacia la superficie gástrica donde finalmente se pierden.[8]
- Células parietales u oxínticas son un tipo de célula ubicadas en la parte superior de las glándulas del estómago. Se encuentran mayoritariamente en el cuerpo gástrico y más escasamente en el antro. Son las encargadas de la producción de ácido gástrico y de factor intrínseco.

- Células principales (Chief cells) (también llamadas zimogénicas o peptídicas) son las encargada de la secreción de pepsinógeno, lipasa gástrica y quimosina.
- Células G son un tipo de células entero-endócrinas situadas en el glándula encargadas de producir gastrina.
- Células ECL similares a las enterocromafines, son un tipo de células neuroendocrina encontrada en estrecha cercanía de las células parietales. Estas células se encuentran en las regiones del fundus y cuerpo, sintetizan, almacenan y segregan histamina.
- Células X/A secretoras de grelina es la única hormona que se produce en las células gástricas y que actúa centralmente (cerebro) para estimular la ingesta de alimentos. la obestatina, un péptido que se supone reduce el peso corporal y antagoniza la acción orexigénica de la grelina.
- Células P/D1 La obestatina un péptido que se supone reduce el peso corporal y antagoniza la acción orexigénica de la grelina, también se expresa en células P/D1 endocrinas gástricas humanas y células gástricas tipo X/A de rata.[9]
- Células penacho (también conocidas como microvellositarias, en cepillo, multivesiculares, caveoladas, fibrilovesiculares) se encuentran cerca del fondo de las glándulas. Este grupo apical de microvellosidades rígidas, las definieron por sus características morfológicas hace más de 50 años. Se encuentran en la mucosa del corpus y el antrum del estómago en roedores y humanos como células solitarias (aisladas). Representan aproximadamente el 0,5% de las células epiteliales intestinales.[10][11][12]
Fisiología
La fisiología de las glándulas gástricas implica una interacción compleja y dinámica entre: su estructura, sus secreciones, el ambiente que las rodea y los factores exógenos ingresados por el individuo.
Las glándulas gástricas son ricas en células productoras de péptidos de señalización paracrina como la gastrina y señalización endócrina hormonal como la somatostatina y la grelina:
- histamina, en las células similares a las enterocromafines (ELC). Regula funciones normales en el estómago y actúa como neurotransmisor.
- somatostatina, en las células D. Inhibe la producción de hormona del crecimiento.
- grelina, en las células P/D1 (en humanos), X/A (en ratas). Estimula la secreción de hormona del crecimiento (GH) y es orexigénica.
- serotonina, en las células enterocromafines (EC). Es un neurotransmisor.
- gastrina, en las células G. Estimula la secreción de ácido clorhídrico y pepsinógeno.[7]
Recambio celular de la glándula gástrica
El epitelio del estómago debe funcionar dentro de un entorno agresivo (químico y biológico), que reduce la vida de las células, lo que determina la necesidad de una renovación epitelial continua. Para regular el recambio fisiológico y la reparación de las lesiones de la capa mucosa se necesitan las células madre del estómago. Estas células madre son las que reponen el epitelio del estómago durante toda la vida.
Las células madre gástricas (Gastric Stem Cells) y células Progenitoras (amplificadoras de tránsito), se encuentran situadas en dos sectores aislados de la glándula, denominados «nichos», que están cerca del fondo (o base) y en el istmo, ambas células experimentan una renovación dinámica continua.[13]
Las células de mucus que tapizan la superficie (luz) del estómago, migran hacia arriba desde el cuello de la glándula, viven de 5 a 7 días.
Las células parietales y principales, que migran desde el cuello hacia la base de la glándula, viven entre 90 y 120 días.[12][13][3]
En la homeostasis los tiempos de recambio del linaje celular van desde 3 días para las células de la foveola (pit), casi 2 meses para las células parietales y más de 9 meses para las células principales en los ratones.[14]
Patología de las glándulas gástricas
Las glándulas están conformadas por epitelio cilíndrico simple. Esto significa una pared de epitelio de una sola célula de espesor, que está permanentemente expuesta a agresiones de tipo químico y biológico. El mucus tapiza la superficie del estómago, es secretado por las células que son generadas en el cuello (neck) de la glándula y migran hacia la luz, donde mueren luego de 5 a 7 días.
Infección por Helicobacter
La Helicobacter pylori es una bacteria, que puede colonizar el epitelio cilíndrico simple del estómago humano, con la capacidad de producir trastornos, como gastritis crónica, úlceras gástricas, cáncer gástrico y linfomas tipo MALT.
En 2005, Warren y Marshall recibieron el Premio Nobel por su "...extraordinario e inesperado descubrimiento de que la inflamación del estómago (gastritis), así como la úlcera de estómago y duodeno (enfermedad ulcerosa péptica), son el resultado de una infección del estómago causada por la bacteria Helicobacter pylori".[15][16]
Gastritis
La característica fundamental de la infección por H. pylori es el desarrollo de un proceso inflamatorio crónico de la capa mucosa y el rol de esta inflamación como factor favorecedor del crecimiento neoplásico.[16]
Úlcera gástrica
Marshall y Warren descubrieron la asociación entre la colonización gástrica por H. pylori y la úlcera gástrica.[12]
Cáncer gástrico
El cáncer gástrico es una de las neoplasias más comunes en el mundo y la infección por H. pylori es el principal factor de riesgo para su desarrollo.[16]
Véase también
Referencias
- ↑ «Gastric mucosa». Britannica.
- ↑ a b M. Gaith Semrin; Michael A. Russo (2022). «48: Anatomía, histología y anomalías del desarrollo del estómago y duodeno». En Feldman M.; Friedman L.S.; Brandt L.J., eds. Sleisenger y Fordtran, Enfermedades digestivas y hepáticas: Fisiopatología, diagnóstico y tratamiento (11.ª edición). Elsevier Health Sciences. pp. 798-800.
- ↑ a b Bartfeld S.; Koo B-K (2017). «Adult gastric stem cells and their niches» (PDF). WIREs Developmental Biology 6 (2): e261. Consultado el 17 de julio de 2023.
- ↑ Piñero R.; Piñero R.; Sierra M. (2014). «Patrones de mucosa en el antro gástrico identificados con magnificación endoscópica y ácido acético». Gen (REVISIÓN) (Caracas: SciELO) 68 (2). Consultado el 19 de julio de 2023.
- ↑ Helander H.F.; Leth R.; Olbe L. (1986). «Stereological investigations on human gastric mucosa: I. Normal oxyntic mucosa». The Anatomical Record 216 (3): 373-380. Consultado el 14 de julio de 2023. (requiere suscripción).
- ↑ Campbell, Flora. «GI – Stomach». Pathologia. The University of Edinburgh.
- ↑ a b
- ↑ Karam SM.; Leblond CP. (1993). «Dynamics of epithelial cells in the corpus of the mouse stomach. II. Outward migration of pit cells». Anat Rec. 236 (2): 280-296. PMID 8338233. doi:10.1002/ar.1092360203. Consultado el 14 de julio de 2023. (requiere suscripción).
- ↑ Stengel A.; Taché Y. (2012). «Yin and Yang - the Gastric X/A-like Cell as Possible Dual Regulator of Food Intake». J Neurogastroenterol Motil. 18 (2): 138-149. PMC 3325299. doi:10.5056/jnm.2012.18.2.138. Consultado el 21 de julio de 2023.
- ↑ «Tuft cells». VIVO. Patophysiology. 2018.
- ↑ O’Leary C.E.; Schneider C.; Locksley R.M. (2019). «Tuft cells – systemically dispersed sensory epithelia integrating immune and neural circuitry». Annu Rev Immunol. 37: 47-72. doi:10.1146/annurev-immunol-042718-041505. Consultado el 16 de julio de 2023.
- ↑ a b c Engevik A.C.; Kaji I.; Goldenring J.A. (2020). «The Physiology of the Gastric Parietal Cell». Physiological Reviews (REVISIÓN) 100 (2): 573-602. doi:10.1152/physrev.00016.2019. Consultado el 15 de julio de 2023.
- ↑ a b Xiao, Shiyu; Zhou, Liya (2020). «Gastric Stem Cells: Physiological and Pathological Perspectives». Frontiers in Cell and Developmental Biology (Front Cell Dev Biol.) (REVISIÓN) (Frontiers (editorial)) 8 (571536). doi:10.3389/fcell.2020.571536. Consultado el 11 de julio de 2023.
- ↑ Adkins-Threats M.; Mills J.C. (2022). «Cell plasticity in regeneration in the stomach and beyond». Curr Opin Genet Dev. 75 (101948). PMC 10378711. PMID 35809361. doi:10.1016/j.gde.2022.101948. Consultado el 18 de agosto de 2023.
- ↑ Pajares J.M.; Gisbert J.P. (2006). «Helicobacter pylori: su descubrimiento e importancia en la medicina». Rev. esp. enferm. dig. (REVISIÓN) (Madrid: SciELO) 98 (10). Consultado el 19 de julio de 2023.
- ↑ a b c De Pardo Ghetti, E.M. (2013). «Helicobacter Pylori: un problema actual». Gac Med Bol (REVISIÓN) (Cochabamba: SciELO) 36 (2). Consultado el 19 de julio de 2023.
Enlaces externos
- Micrografías.Universidad de Edinburgo (en inglés)
- Slide at pathology.iupui.edu (en inglés)
- Slide at ucsd.edu Archivado el 16 de junio de 2019 en Wayback Machine. (en inglés)
- Slide at nhmccd.edu (en inglés)



