Hemorragia cerebral
| Hemorragia cerebral | ||
|---|---|---|
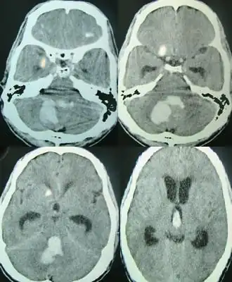
![]() Escaneado por la TC de una hemorragia cerebral espontánea encontrada en los ventrículos laterales. | ||
| Especialidad | Neurocirugía | |
| Síntomas | Dolor de cabeza, entumecimiento unilateral, problemas de habla, mareos, aturdimiento o vértigo, convulsión epiléptica, inconsciencia, rigidez del cuello, pérdida de memoria, coordinación y atención, fiebre, disnea (a través de sangrar del tronco cerebral)[1][2] | |
| Complicaciones | Estado en coma, estado vegetativo, paro cardiorrespiratorio (cuando la hemorragia está grave), muerte | |
| Causas | TCE, aneurisma cerebral, malformación arteriovenosa, tumor cerebral, transformación hemorrágica[1] | |
| Factores de riesgo | Hipertensión arterial, diabetes, hipercolesterolemia, amiloidosis, alcoholismo, anticoagulante, uso de cocaína[2] | |
| Diagnóstico | Escaneo de Tomografía computarizada (TC)[1] | |
| Diagnóstico diferencial | Infarto cerebral[1] | |
| Tratamiento | Control de la presión sanguínea, ventriculostomía[1] | |
| Pronóstico | 20% de buenos resultados[2] | |
| Frecuencia | 2.5 por 10,000 personas anualmente[2] | |
| Tasa de letalidad | 44% de la muerte mensual[2] | |
| Sinónimos | ||
| hemorragia intracerebral (ICH) | ||
Una hemorragia cerebral (también, hemorragia intracerebral, ICH) es un subtipo de hemorragia intracraneal producida en el cerebro. Puede deberse a un trauma cerebral o a un accidente. Se trata de una hemorragia intra-axial, es decir, una que se produce dentro del tejido cerebral[3] y no fuera de él. La otra categoría de hemorragia intracraneal es la de las hemorragias extra-axiales: por ejemplo, el hematoma epidural, el hematoma subdural y la hemorragia subaracnoidea, que ocurren dentro de la cabeza pero fuera del tejido cerebral.[cita requerida]
Las áreas del cerebro afectadas por la hemorragia quedan dañadas y, si se acumula un suficiente volumen de sangre en el espacio extravascular, se puede provocar una hipertensión intracraneal; la cuantía de la hemorragia determina la gravedad de este accidente vasculocerebral agudo. La tasa de mortalidad de estas hemorragias intraparenquimales es de más del 40%.[4]
Genéricamente, los accidentes vasculares agudos que ocurren en el cerebro son conocidos genéricamente con la palabra latina ictus, que significa "golpe súbito" o "ataque súbito", y en inglés el término equivalente es stroke (una hemorragia cerebral se denomina, en inglés, "hemorrhagic stroke").[cita requerida]
La palabra apoplejía, de origen griego, designa en español y en otros idiomas a la abolición del funcionalismo cerebral (movimiento, sensibilidad y conciencia), producida especialmente por la hemorragia cerebral y por la embolia cerebral, que es el accidente que ocurre cuando un vaso cerebral queda bloqueado por un émbolo, en cuyo caso el territorio irrigado por la arteria bloqueada queda desprovisto de sangre, convirtiéndose de súbito en un área isquémica.[cita requerida]
En consecuencia, en los accidentes vasculocerebrales agudos conviene distinguir el ictus hemorrágico o hemorragia cerebral (hemorrhagic stroke) del ictus isquémico (isquemic stroke) o embolia cerebral. Como quiera que la porción de un tejido del organismo privada de sangre por el bloqueo súbito de una arteria se conoce genéricamente como infarto, la lesión que es consecuencia de una embolia cerebral se conoce también como infarto cerebral.[3]

Factores de riesgo
Los factores de riesgo de la hemorragia cerebral son:[5]
- hipertensión
- diabetes
- menopausia
- tabaquismo
- traumatismo craneoencefálico
- consumo de bebidas alcohólicas (≥2/día)
- consumo de bebidas con cafeína
Referencias
- ↑ a b c d e «Guidelines for the Management of Spontaneous Intracerebral Hemorrhage: A Guideline for Healthcare Professionals From the American Heart Association/American Stroke Association». Stroke (en inglés) (Council on Clinical Cardiology; American Heart Association Stroke Council; Council on Cardiovascular and Stroke Nursing) 46 (7): 2032-2060. Julio de 2015. PMID 26022637. doi:10.1161/str.0000000000000069.
- ↑ a b c d e «Intracranial hemorrhage». Emergency Medicine Clinics of North America 30 (3): 771-794. Agosto de 2012. PMC 3443867. PMID 22974648. doi:10.1016/j.emc.2012.06.003.
- ↑ a b c Yadav YR, Mukerji G, Shenoy R, Basoor A, Jain G, Nelson A (2007). «Endoscopic management of hypertensive intraventricular haemorrhage with obstructive hydrocephalus». BMC Neurol 7: 1. PMC 1780056. PMID 17204141. doi:10.1186/1471-2377-7-1.
- ↑ Sanders MJ and McKenna K. 2001. Mosby’s Paramedic Textbook, 2ª ed. revisada. Cáp. 22, "Head and Facial Trauma." Mosby.
- ↑ Major Risk Factors for Intracerebral Hemorrhage in the Young Are Modifiable Edward Feldmann, MD; Joseph P. Broderick, MD; Walter N. Kernan, MD; Catherine M. Viscoli, PhD; Lawrence M. Brass, MD; Thomas Brott, MD; Lewis B. Morgenstern, MD; Janet Lee Wilterdink, MD Ralph I. Horwitz, MD. Published in Stroke. 2005;36:1881.
Enlaces externos
- Información de HC en bebes prematuros: Hospital for Sick Children
- HC en Intraventricular Archivado el 15 de mayo de 2013 en Wayback Machine.
- Información de hemorragia cerebral en Headway
Wikimedia Commons alberga una categoría multimedia sobre Neurotrauma.
.jpg)