Hemosiderosis
| Hemosiderosis | ||
|---|---|---|
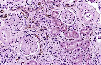
![]() Imagen en el microscopio de un riñón. Las áreas marrones contienen hemosiderina. | ||
| Especialidad | endocrinología | |
Se llama hemosiderosis (del griego αἷμα "sangre y σίδηρος "hierro") a la enfermedad caracterizada por el exceso de hemosiderina en los tejidos, que no produce daño orgánico. Es diferente a la hemocromatosis.
Se produce cuando hay una sobrecarga sistémica de hierro, como por ejemplo:
- Aumento en la absorción de hierro en la dieta.
- Anemias hemolíticas.
- Transfusiones sanguíneas (porque los eritrocitos constituyen una fuente de hierro exógeno).
- Utilización inadecuada del hierro.
El exceso de hierro se deposita en forma de hemosiderina (color amarillo oro, dorado o pardo amarillento) en diferentes tejidos como el hígado, bazo, médula ósea, ganglios linfáticos, piel, páncreas.
En la hemosiderosis el depósito de hierro en forma de hemosiderina no lesiona la célula, ni altera la función del órgano.
Hemosiderosis local deylerdiana
En riñones
Hemoglobinuria nocturna paroxística
Trauma eritrocítico por válvula aórtica protésicas.
No hay lesión en parénquima pero sí hemosideruria intensa.
En pulmones
A veces se llega a producir anemia ferropénica.
congestión pasiva crónica de los pulmones.
Hemosiderosis generalizada
Por hemólisis crónica
Cualquiera de ellas puede producirla DISMINUIDORES DE LA ABSORCION DE HIERRO, CATALIZADORES DE HIERRO, CORTICOIDES
Por mala eritropoyesis
Intoxicación por plomo, talasemia (hallazgo frecuente en paleopatología de la antigua Roma).
Carencia de piridoxina con anemia sideroblástica.
Diagnóstico
analítica: ferritina sérica aumentada ( > 1000 ng/ml).
biopsia hepática: concentración de hierro en tejido hepático.
resonancia magnética: sobrecarga férrica en hígado.
