Hepatoesplenomegalia
| Hepatoesplenomegalia (nombre de signo) | ||
|---|---|---|
| Especialidad | gastroenterología | |
.jpg)
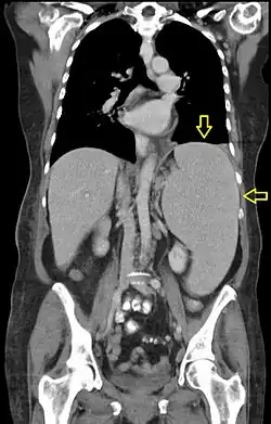
Se denomina hepatoesplenomegalia al aumento simultáneo objetivable del tamaño del hígado y del bazo. Este crecimiento del hígado y bazo puede ocurrir por un problema heredado en el cual el hígado no puede procesar el glucocerebrósido. La acumulación de dicha sustancia en los tejidos del cuerpo puede causar un daño grave al sistema nervioso central de los niños pequeños. Esta afección se da en la conocida enfermedad de glucogenosis de tipo IV, dándose, por efecto de la enzima ramificadora. También se produce hepatoesplenomegalia en la enfermedad conocida como mucopolisacaridosis (MPS).
La hepatoesplenomegalia es un signo clínico que contribuye al diagnóstico de varias enfermedades. Aunque suele ser lo habitual, no siempre tienen la misma causa, pudiendo ocurrir que la hepatomegalia y la esplenomegalia tengan un origen patológico diferente.