Hidradenoma papilar
| Hidroadenoma papilar | ||
|---|---|---|
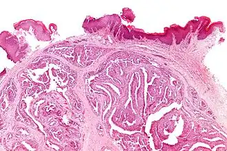
![]() Micrografía de un hidroadenoma papilar en que se aprecian las estructuras características. | ||
| Especialidad |
ginecología dermatología | |
El hidroadenoma papilar es una neoplasia benigna. Nódulo bien delimitado localizado sobre todo en los labios mayores de la vulva y pliegues interlabiales.[1] Puede confundirse con un carcinoma, por su tendencia a ulcerarse. Surge a partir de las glándulas sudoríparas apocrinas de la vulva, que son modificadas. Microscopicamente tiene un aspecto idéntico a los papilomas intraductales de la mama. Está formado por proyecciones papilares compuestas de dos capas de células, una capa de células secretoras superiores y otra inferior de células mioepiteliales.
Referencias
- ↑ Robbins & Cotran (2006) La basi patologiche delle malattie: 77. Milano: Elsevier. ISBN 88-85675-53-0
