Hidrocefalia
| Hidrocefalia | ||
|---|---|---|
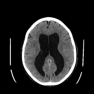
![]() Tomografía computada mostrando acumulación del líquido cefalorraquídeo: zona hipodensa (oscura). | ||
| Especialidad |
genética médica neurología | |
La 'hidrocefalia"(término que deriva de las palabras griegas «hidro» que significa agua y «céfalo» que significa cabeza) es un trastorno cuya principal característica es la acumulación excesiva de líquido cerebroespinal, antes cefalorraquídeo, dentro del cráneo.
Esta se conocía antiguamente como "agua en el cerebro", aunque este líquido no es agua sino que es líquido cefalorraquídeo (LCR), un líquido transparente que rodea el cerebro y la médula espinal.
La acumulación excesiva de líquido cefalorraquídeo tiene como consecuencia una dilatación anormal de los espacios en el cerebro llamados ventrículos. Esta dilatación ocasiona una presión potencialmente perjudicial en los tejidos del cerebro, generalmente el aumento del líquido en los ventrículos cerebrales es producido por la obstrucción de los conductos situados por debajo del cerebelo.
Fisiología
El sistema ventricular está constituido por cuatro ventrículos conectados por vías estrechas. Normalmente, el líquido cefalorraquídeo fluye a través de los ventrículos, sale a cisternas (espacios cerrados que sirven de reservorios) en la base del cerebro, baña la superficie del cerebro y la médula espinal y, luego, es absorbido en la corriente sanguínea.
El líquido cefalorraquídeo tiene tres funciones vitales importantes:
- Mantener flotante el tejido cerebral, actuando como colchón o amortiguador.
- Servir de vehículo para transportar los nutrientes al cerebro y eliminar los desechos.
- Fluir entre el cráneo y la espina dorsal para compensar los cambios del volumen de sangre intracraneal (la cantidad de sangre que hay dentro del cerebro). El equilibrio entre la producción y la absorción de líquido cefalorraquídeo es de vital importancia. En condiciones ideales, el líquido es casi totalmente absorbido en la corriente sanguínea a medida que circula. Sin embargo, hay circunstancias que, cuando se hallan presentes, impedirán o perturbarán la producción de líquido cefalorraquídeo o que inhibirán su flujo normal. Cuando se perturba este equilibrio, se produce la hidrocefalia.
Síntomas y causas de la hidrocefalia
_(14759820166).jpg)
- Vómitos
- Mareos
- Parálisis
- Pérdida de la coordinación
- Perdida de la conciencia
- Hipersomnolencia
- Visión borrosa
- Irritabilidad
- Incontinencia anal y urinaria
Esta enfermedad puede ser heredada o adquirida en una fase adulta, donde se dan más casos a partir de los 60 años. Las causas más frecuentes de la hidrocefalia son:
- Una patología tumoral
- Abscesos cerebrales
- Traumatismos craneales
- Infecciones en las meninges
Análisis y tratamiento
Estudiando el caso y los síntomas que producen en el paciente y gracias a una resonancia magnética cerebral se puede diagnosticar la enfermedad.
El tratamiento consiste en liberar la causa que produce la obstrucción del líquido cefalorraquídeo. También puede usarse una sonda para desviar a su flujo normal el LCR hacia el abdomen en donde puede reabsorberse, esta sonda se implantaría quirúrgicamente.[1]
Tipos de hidrocefalia


La hidrocefalia puede ser congénita o adquirida. La hidrocefalia congénita se halla presente al nacer y puede ser ocasionada por influencias ambientales durante el desarrollo del feto o por predisposición genética. La hidrocefalia adquirida se desarrolla en algún momento después del nacimiento. Este tipo de hidrocefalia puede afectar a personas de todas las edades y puede ser ocasionado por una lesión o una enfermedad que causa agrandamiento de los ventrículos a consecuencia de un aumento del volumen del líquido cefalorraquídeo, que, por lo general, causa a su vez una obstrucción. La hidrocefalia también puede ser comunicante o no comunicante.
Hidrocefalia comunicante
La hidrocefalia comunicante ocurre cuando el flujo del líquido cefalorraquídeo se ve bloqueado después de salir de los ventrículos al espacio subaracnoideo. Esta forma se denomina comunicante porque el líquido cefalorraquídeo aún puede fluir entre los ventrículos, que permanecen abiertos. La reabsorción de este líquido está alterada en las vellosidades aracnoideas por infecciones o hemorragias. Se caracteriza por una dilatación de las cavidades ventriculares del cerebro por delante del sitio de la obstrucción. Dependiendo de la velocidad de insaturación y la edad del paciente, puede ser una hidrocefalia aguda (caracterizada por herniación cerebral y muerte súbita) e hidrocefalia crónica, con signos y síntomas de aparición lenta e hipertensión endocraneana. Cursa con retraso mental en los niños y demencia en los adultos.
Hidrocefalia no comunicante
La hidrocefalia no comunicante, llamada también hidrocefalia obstructiva, ocurre cuando el flujo del líquido cefalorraquídeo se ve bloqueado a lo largo de una o más de las vías estrechas que conectan los ventrículos. Una de las causas más comunes de hidrocefalia es la estenosis acuaductal. La causa más frecuente es la hidrocefalia congénita, que afecta a 11 000 nacimientos, con obstrucción del acueducto de Silvio, un pequeño conducto entre el tercero y cuarto ventrículo en la mitad del cerebro. Otra causa es la malformación de Arnold-Chiari, asociada o heredada como rasgo ligado al cromosoma X. Puede también estar causada por tumores localizados en el tronco del encéfalo, cerebelo y región pineal o por hemorragias cerebrales y subaracnoideas o cicatrices derivadas de una meningitis.
Hidrocefalia Ex vacuo
La hidrocefalia ex vacuo también conocida como, agrandamiento compensatorio de espacios de líquido cefalorraquídeo, no es realmente una hidrocefalia pura sino una condición compensatoria a la pérdida de masa encefálica. Es una condición usualmente asintomática en personas de la tercera edad, que se da como resultado de la pérdida relativa de volumen cerebral. Puede verse en condiciones patológicas como:
1. Degeneración generalizada de la masa encefálica (Enfermedad de Alzheimer, Leucodistrofias, demencia vascular).
2. Encefalomalacia debido a daño focal (Por accidente cerebrovascular y lesiones traumáticas).[2]
Hidrocefalia de presión normal
La hidrocefalia de presión normal, o hidrocefalia normotensiva, ocurre comúnmente en las personas ancianas y está caracterizada por muchos de los mismos síntomas asociados con otras condiciones que ocurren más a menudo en los ancianos, tales como pérdida de memoria, demencia, trastorno patológico al andar, incontinencia urinaria y una reducción general de la actividad normal del diario vivir. Esta enfermedad como la anterior (ex vacuo) afecta precisamente a los adultos.[3]
Referencias
- ↑ «Alteraciones del líquido cefalorraquídeo. Causante de la Hidrocefalia» (Blog Vidasana Clínica Universidad de Navarra). Archivado desde el original el 4 de junio de 2020. Consultado el 11 de enero de 2018.
- ↑ Nelson, James S.; Mena, Hernando; Parisi, Joseph E.; Schochet, Sydney S. (20 de marzo de 2003). Principles and Practice of Neuropathology (en inglés). Oxford University Press, USA. ISBN 978-0-19-512589-4. Consultado el 18 de abril de 2020.
- ↑ http://www.nlm.nih.gov/medlineplus/spanish/ency/article/000752.htm
Enlaces externos
- National Institute of Neurological Disorders and Stroke: publicado bajo dominio público
Wikimedia Commons alberga una categoría multimedia sobre Hidrocefalia.- Hay un artículo sobre Hidrocefalia normotensiva en MedlinePlus en español.
- En MedlinePlus hay más información sobre Hidrocefalia
- http://www.ninds.nih.gov National Institute of Neurological Disorders and Stroke (Instituto Nacional de Accidentes Cerebrovasculares)
