Hipoplasia

La hipoplasia... (del griego ὑπο, por debajo de y plasis, formación o moldeo) es el nombre que recibe el desarrollo incompleto o detenido de un órgano o tejido. Aunque el término no es usado siempre con precisión, se refiere exactamente a un número de células inadecuado o por debajo de lo normal. La hipoplasia puede presentarse en cualquier tejido u órgano. Es descriptiva de muchas condiciones médicas, incluyendo el desarrollo incompleto de órganos tales como:
- Las mamas durante la pubertad
- Los testículos en el síndrome de Klinefelter
- Los ovarios en la anemia de Fanconi, disgenesias gonadales y la trisomía X
- El timo en el síndrome de DiGeorge
- Los labios mayores en el síndrome de pterigium poplíteo
- El cuerpo calloso, que conecta ambos hemisferios cerebrales, en la agenesia del cuerpo calloso
- El cerebelo, como consecuencia de una mutación en el gen de la reelina
- Los dientes, como consecuencia de patología dentaria, como la hipoplasia de Turner
- Las cámaras cardíacas en el síndrome del corazón izquierdo hipoplásico y el síndrome del corazón derecho hipoplásico
- El nervio óptico en la hipoplasia del nervio óptico
- El sacro en la agenesis sacra
- La musculatura facial en la asimetría facial con el llanto
- El pulgar, de nacimiento
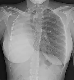
- Los pulmones, frecuentemente como consecuencia de oligohidramnios durante la gestación o por la existencia de hernia diafragmática congénita
- Intestino pequeño en la enfermedad celíaca
- Dedos y orejas en la ictiosis arlequín
- La mandíbula en el hipotiroidismo congénito
Véase también
Enlaces externos
Wikimedia Commons alberga una categoría multimedia sobre Hipoplasia.