Insulinoma
| Insulinoma | ||
|---|---|---|
|
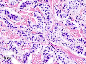
Histopatología de tumor del páncreas endocrino (insulinoma). | ||
| Especialidad | oncología | |
El insulinoma es un tumor del páncreas endocrino. Se origina en las células beta, y es más frecuente en cuerpo y cola del páncreas. [1]
Cuadro clínico
Los insulinomas cursan con la tríada de Whipple:[2]
- Hipoglucemia, sin tensión baja.
- Síntomas hipoglucémicos al esfuerzo.
- Se corrige al tomar azúcar.
Diagnóstico
- Mediante los síntomas (diagnóstico clínico).[3]
- Pruebas de laboratorio: pruebas de detección de insulina, test del hambre, y determinación de insulina plasmática.
- Radiología: ecografía, resonancia magnética nuclear, TAC, arteriografía, etc.
Tratamiento
Consiste en cirugía, que puede ser mínima o llegar a un trasplante de páncreas.
Referencias
- ↑ Melmed, Shlomo, ed. (2020). Pediatric Endocrinology. Williams textbook of endocrinology. doi:10.33029/9704-4951-6-pend-1-848. Consultado el 18 de junio de 2025.
- ↑ Allen-Mersh, T G (1 de julio de 1997). «Cancer: Principles and practice of oncology. 5th ed. V. T. Devita Jr, S. Hellman and S. A. Rosenberg (eds). 286 × 220 mm. Pp. 3312. Illustrated. 1996. Philadelphia, Pennsylvania: Lippincott-Raven. £160». Journal of British Surgery 84 (7): 1036-1036. ISSN 0007-1323. doi:10.1002/bjs.1800840754. Consultado el 18 de junio de 2025.
- ↑ Feldman, Mark; Friedman, Lawrence S.; Brandt, Lawrence J. (2010). Preface. Elsevier. pp. xix-xx. ISBN 978-1-4160-6189-2. Consultado el 18 de junio de 2025.