Joe Hin Tjio
| Joe Hin Tjio | ||
|---|---|---|
![]() | ||
| Información personal | ||
| Nacimiento |
2 de noviembre de 1919 Java (Indonesia) | |
| Fallecimiento |
27 de noviembre de 2001 (82 años) Gaithersburg (Estados Unidos) | |
| Nacionalidad | Indonesia | |
| Información profesional | ||
| Ocupación | Genetista | |
| Distinciones |
| |
.jpg)
Joe Hin Tjio (pronunciado Chío) (2 de noviembre de 1919-27 de noviembre de 2001) fue un citogenetista de origen indonesio. Descubrió que el número normal de cromosomas humanos es 46 (y no 48 como se pensaba hasta entonces). Este hito de la genética tuvo lugar el 22 de diciembre de 1955 en el Instituto de Genética de la Universidad de Lund en Suecia, donde Tjio era un científico visitante.
Orígenes
Tjio era hijo de padres indonesios de origen chino. Nació en Pekalongan (Java) entonces parte de las Indias Orientales Neerlandesas (a partir de 1949 formaría parte de Indonesia, cuando el país obtuvo su independencia de Holanda). Su padre trabajaba haciendo retratos fotográficos, y de él aprendió las técnicas para registrar imágenes que posteriormente le serían tan útiles en sus trabajos de microscopía citológica.[1]
Se educó en escuelas coloniales holandesas, donde adquirió conocimientos de distintas lenguas (holandés, alemán, inglés y francés),[2] lo que facilitó el posterior desarrollo de su carrera internacional en varios países de Europa y finalmente en los Estados Unidos. Obtuvo en su país natal el título universitario en la Escuela de Agronomía de la ciudad de Bogor,[3] dedicándose inicialmente a la investigación sobre el cultivo de la patata.
En el transcurso de la Segunda Guerra Mundial fue encarcelado por el régimen ocupante japonés durante tres años en un campo de concentración (donde llegó a tejer ropa de punto para sus compañeros de cautiverio[2]), siendo torturado a lo largo de su reclusión.[4]
En 1948 contrajo matrimonio con la islandesa Inga Biorj Arna Bildsfell[5] (1919-2005), con quien tuvo un hijo, Yu-Hin Tjio, nacido en 1955.
Carrera
Tras el fin de la guerra, Tjio fue a los Países Bajos, cuyo gobierno le proporcionó una beca para estudiar en Europa. Trabajó en temas agronómicos en Dinamarca, España y Suecia. De 1948 a 1959, contratado por el CSIC, dirigió el laboratorio de investigación fitogenética en la Estación Experimental Aula Dei (Zaragoza), con estancias de verano en Suecia, donde trabajaba con el profesor Albert Levan en la Universidad de Lund.[6]
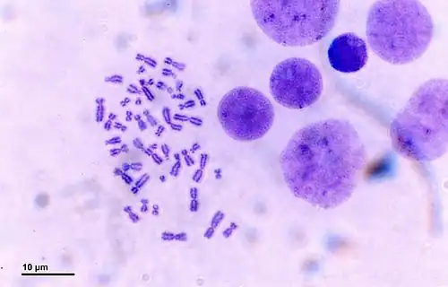
Sus investigaciones estaban centradas principalmente en células de vegetales y de insectos, y fue Levan quien le sugirió que trabajase con células de mamíferos. El 22 de diciembre de 1955, durante una de sus estancias en Lund, Tjio hizo su descubrimiento del número correcto de cromosomas humanos, mientras realizaba pruebas con una técnica de observación cromosómica que había refinado.[7] Gracias a la nitidez de las fotografías que había obtenido del tejido embrionario preparado con su técnica de tincción perfeccionada,[7] pudo confirmar de forma inequívoca su descubrimiento: "el número de cromosomas humanos es 46", y no 48 como se afirmaba hasta entonces.
Curiosamente, durante más de tres décadas se había considerado que los humanos normalmente tenían 48 cromosomas, de acuerdo con los estudios pioneros realizados en 1921 por el zoólogo y genetista estadounidense Theophilus Painter (1889-1969), circunstancia propiciada por la insuficiente calidad de las fotografías y por la dificultad de distinguir con claridad los cromosomas en el momento exacto de su separación.
El revolucionario hallazgo fue publicado (con Tjio como autor principal y Levan como coautor) en la revista escandinava Hereditas el 26 de enero de 1956, apenas un mes y cuatro días después del descubrimiento.[8]
Tjio tuvo un conflicto con Levan respecto a la autoría del descubrimiento, pues según el protocolo de la época, la autoría debería haber correspondido a Levan, por ser el jefe del laboratorio donde se produjo el hallazgo. Sin embargo, Levan estaba de vacaciones en esos días, y Tjio consiguió defender su condición de autor principal, apareciendo Levan como coautor. Como Tjio recordaría años más tarde:
"Le dije «No». No podía permitir que apareciera como autor principal. E insistí: «Si quieres figurar como autor, haz tú el trabajo»".[2]
Tras su descubrimiento, Tjio recibió numerosas ofertas como profesor y como conferenciante. Durante el primer Congreso Internacional de Genética Humana celebrado en Copenhague en 1956, el genetista y premio nobel estadounidense Hermann Joseph Muller (1890-1967), profesor en la Universidad de Indiana, le sugirió que se trasladara a los Estados Unidos. Tjio declinó la invitación en primera instancia, receloso de la etapa macarthista que se vivía por entonces al otro lado del Atlántico. Pero Muller no desistió, enviando a Tjio recortes del New York Times críticos con el senador, e insistiéndole en que "no todos somos McCarties". Finalmente, en 1957, Tjio aceptó una plaza de investigador en la Universidad de Colorado.[7]
En 1958 se instaló definitivamente en los Estados Unidos y en 1959 se unió a la plantilla de los Institutos Nacionales de Salud (NIH) en Bethesda (Maryland). Se doctoró en biofísica y citogenética por la Universidad de Colorado y pasó el resto de su larga carrera en el NIH trabajando en investigación genética en humanos, estudiando la artrosis, la leucemia y las causas de la deficiencia mental. Fue nombrado científico emérito de la institución en 1992, pero mantuvo un laboratorio durante cinco años más. En 1997, se jubiló en Gaithersburg, Maryland,[4] donde fallecería cuatro años más tarde.
Técnica de preparación cromosómica
Desde finales del siglo XIX, ya se conocían los cromosomas como estructuras diferenciadas en el núcleo de muchos tipos de células, cuyo nombre (cromo significa color en griego) procede precisamente de su capacidad de ser teñidos específicamente por colorantes como la anilina. Sin embargo, su estructura individual no podía ser fácilmente observada, porque normalmente están empaquetados compactamente en el interior del núcleo, e incluso cuando se duplican durante el proceso de división celular, permanecen muy próximos unos a otros.
Tjio utilizó en 1955 lo que por entonces era una nueva técnica para estudiar los cromosomas de las células en un portamuestras de vidrio. La preparación empleaba la colchicina (un fármaco de origen vegetal, utilizado tradicionalmente contra la gota) y una solución salina. La colchicina tiene la propiedad de detener la división celular en un punto en el que los cromosomas se han separado en cuerpos claramente diferenciados. Por su parte, la solución salina hipotónica consigue diseminar los cromosomas una vez "paralizados", de forma que pueden observarse separados unos de otros. Completado este proceso, Tjio obtuvo una imagen microfotográfica de gran nitidez, mostrando de forma inequívoca el despliegue de los cromosomas de una célula de pulmón embrionario humano. Para su sorpresa, descubrió que la célula tenía 46 cromosomas. "El número era solo un hallazgo incidental, una serendipia", recordaría tiempo después.[9]
Esta técnica fue la base de numerosos descubrimientos posteriores. Por ejemplo, sirvió para que en julio de 1958 el joven investigador francés Jérôme Lejeune (1926-1994) descubriese que el síndrome de Down es provocado por la trisomía del cromosoma 21.[10]
Publicaciones
- Tjio JH, Levan A. The chromosome number of man. Hereditas vol. 42: páginas 1–6, 1956.
Reconocimientos
- En 1962 recibió de manos del presidente de los Estados Unidos John F. Kennedy el "Premio Internacional de la Fundación Joseph P. Kennedy, Jr."[11]
- Premio de la Sociedad Japonesa para la Promoción de la Ciencia (de la que era miembro) en 1984.
- En 1989 fue nombrado doctor honoris causa por la Universidad Claude Bernard de Lyon en Francia y por la Universidad de Zaragoza en España.
- En 1990, China le nombró profesor honorario del Colegio Médico del Tercer Ejército en Chungking.[2]
- La calle "Doctor Joe Hin Tjio", localizada en el barrio Oliver de la ciudad de Zaragoza, lleva este nombre en su memoria.[12]
Véase también
Referencias
- ↑ a b Mª Inmaculada Yruela Guerrero (2 de enero de 2016). «Tjio, el indonesio que descubrió el número de nuestros cromosomas investigando en Zaragoza». Diario 20minutos. Consultado el 12 de octubre de 2016.
- ↑ a b c d Bart Barnes (4 de diciembre de 2001). «Joe Hin Tjio». The Washington Post (en inglés). Consultado el 13 de octubre de 2016.
- ↑ Wolfgang Saxon (7 de diciembre de 2001). «Joe Hin Tjio, 82; Research Biologist Counted Chromosomes». The New York Times. Consultado el 13 de octubre de 2016.
- ↑ a b Saxon, Wolfgang (7 de diciembre de 2001), «Joe Hin Tjio, 82; Research Biologist Counted Chromosomes», The New York Times, consultado el 3 de agosto de 2011.
- ↑ «Inga Tjio, 85, geneticist’s wife». Washington Times (en inglés). 30 de julio de 2005. Consultado el 12 de octubre de 2016. «Inga Bjorg Arna Bildsfell Tjio (Islandia, 5 de noviembre de 1919 - Washington, 31 de mayo de 2005). Geóloga, doctorada por la Universidad de Lund (Suecia).»
- ↑ McManus, Rich (11 de febrero de 1997), «Photographer, Prisoner, Polyglot: NIDDK's Tjio Ends Distinguished Scientific Career», The NIH Record 46 (3), archivado desde el original el 21 de julio de 2011, consultado el 3 de agosto de 2011.
- ↑ a b c Pearce Wright (11 de diciembre de 2001). «Joe Hin Tjio. The man who cracked the chromosome count». The Guardian (en inglés). Consultado el 13 de octubre de 2016.
- ↑ María José Más (2013). «Neuronas en Crecimiento». Consultado el 19 de agosto de 2016.
- ↑ «Definition of Human chromosome count». Medicine Net.com (en inglés). 6 de septiembre de 2016. Consultado el 13 de octubre de 2016.
- ↑ «Joe Hin Tjio. AMERICAN GENETICIST». Encyclopaedia Britannica (en inglés). Consultado el 13 de octubre de 2016.
- ↑ «President John F. Kennedy presents Joe Hin Tjio with the International Prize Award of the Joseph P. Kennedy, Jr. Foundation for his research on intellectual disabilities on December 6, 1962.». National Institutes of Health (en inglés). 6 de diciembre de 1962. Consultado el 13 de octubre de 2016.
- ↑ http://callejero.wikidatos.org/calle-del-doctor-joe-hin-tjio-zaragoza Archivado el 23 de enero de 2019 en Wayback Machine. Callejero de Zaragoza
Enlaces externos
- Joe Hin Tjio: Citogenetista Ilustre en Zaragoza (María Jesús Santesmanes, CSIC)
- Historia de la Estación Experimental de Aula Dei (EEAD-CSIC) (Val J., Martínez-Giménez J. C.; Estación Experimental de Aula Dei (EEAD-CSIC). Avda. Montañana 1005, 50059-Zaragoza)
- Human chromosome count Archivado el 6 de noviembre de 2013 en Wayback Machine. en MedTerms Medical Dictionary
- Diario 20minutos (Tjio, el indonesio que descubrió el número de nuestros cromosomas investigando en Zaragoza) (Mª Inmaculada Yruela Guerrero)

_Human_karyotype.jpg)